Интересно...

 

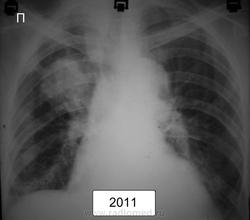
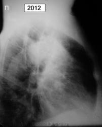
Ж.1938г.р. жалоб нет, более ранние рентг.описания - туберкулома

    

  • https://radiomed.ru/sites/default/files/styles/case_slider_image/public/user/15746/2010.1.jpg?itok=fpTcVLDR
  • https://radiomed.ru/sites/default/files/styles/case_slider_image/public/user/15746/2011.1.jpg?itok=S95kn-J3
  • https://radiomed.ru/sites/default/files/styles/case_slider_image/public/user/15746/2012.1.jpg?itok=U5YmtoY2
  • https://radiomed.ru/sites/default/files/styles/case_slider_image/public/user/15746/2012.3.jpg?itok=4ob2kb3k
ID:49939
Mila85 аватар
Не на сайте
Был на сайте: 3 года 3 месяцев назад
Зарегистрирован: 15.03.2012 - 16:59
Публикации: 1790

По-моему это типичный периферический рак

И.Бондаренко аватар
Не на сайте
Был на сайте: 5 дней 12 часов назад
Зарегистрирован: 13.09.2011 - 22:55
Публикации: 9208

+1.Согласен.

Наталия Васильевна аватар
Не на сайте
Был на сайте: 5 лет 11 месяцев назад
Зарегистрирован: 25.09.2011 - 09:02
Публикации: 754

С уже "централизацией". Вопрос-больной наблюдается не мало-других мыслей кроме туберкуломы не было и он нигде больше не обследовался? Или это неизвестно?

Sumerk_UP аватар
Не на сайте
Был на сайте: 2 года 9 месяцев назад
Зарегистрирован: 08.06.2011 - 09:23
Публикации: 84

был периферический кадато, стал централизоваться , пророс по бронхам как по рельсам :-)
а с 2008 года, кроме флюрок её фтизиатрам или онкологам показывали?

kozhuharchik аватар
Не на сайте
Был на сайте: 4 года 4 месяцев назад
Зарегистрирован: 10.02.2012 - 19:19
Публикации: 58

месные фтизиатры были за туберкулому

обласные за туберкулому

КТ не проводилось

Nikolas аватар
Не на сайте
Был на сайте: 1 месяц 6 дней назад
Зарегистрирован: 21.12.2010 - 20:37
Публикации: 4560

сожалению такое имеет место. Причина? Недостаточный уровень компетенции.

kozhuharchik аватар
Не на сайте
Был на сайте: 4 года 4 месяцев назад
Зарегистрирован: 10.02.2012 - 19:19
Публикации: 58

мне кажется не заинтирисованость, что тоже имеет место к большому сожалению

Катенёв Валентин Львович аватар
Не на сайте
Был на сайте: 7 лет 2 месяцев назад
Зарегистрирован: 22.03.2008 - 22:15
Публикации: 54876

Nikolas wrote:

сожалению такое имеет место. Причина? Недостаточный уровень компетенции.

Не всегда! Порой "эта" практика организационно обговорена, конечно порочная практика.

У нас областной ООД, никогда ничего "сложно-диагностического" не берет, даже на консультацию, пока ОПТД "своего" не исключит.

Гриша Хата аватар
Не на сайте
Был на сайте: 10 лет 2 месяцев назад
Зарегистрирован: 09.02.2011 - 20:40
Публикации: 665

Если местные фтизиатры были за туберкулому, то должна быть флюшка и за 2009 год, причем не одна.

Mila85 аватар
Не на сайте
Был на сайте: 3 года 3 месяцев назад
Зарегистрирован: 15.03.2012 - 16:59
Публикации: 1790

C другой стороны, как при наличии только например обзорных рентгенограмм и допустим томограмм фтизиатры могли исключить рак? Пациентку явно не дообследовали(

Nikolas аватар
Не на сайте
Был на сайте: 1 месяц 6 дней назад
Зарегистрирован: 21.12.2010 - 20:37
Публикации: 4560

наши отцы - рентгенологи ставили рак без КТ? Диагностировали надежно. Надо об этом подумать.

Mila85 аватар
Не на сайте
Был на сайте: 3 года 3 месяцев назад
Зарегистрирован: 15.03.2012 - 16:59
Публикации: 1790

В таком случае, как этот, поставить рак без КТ возможно, но исключить и остаться на диагнозе туберкулемы.... даже не знаю

Дмитрий86 аватар
Не на сайте
Был на сайте: 1 год 2 месяцев назад
Зарегистрирован: 17.01.2012 - 08:49
Публикации: 285

даже если туберкулему предпологали почему не лечили то? домой чтоли отпустили мол вы старая скоро все равно помирать

Igor_ аватар
Не на сайте
Был на сайте: 13 лет 4 месяцев назад
Зарегистрирован: 10.08.2012 - 21:43
Публикации: 40

должны были наблюдать в динамике , но характер тени уж совсем не за туберкулому!