Интересные снимки

Пол пациента: 
Тип патологии: 
Область исследования: 
Методы исследования: 

Интересные снимки.

  • https://radiomed.ru/sites/default/files/styles/case_slider_image/public/user/12/2.zhuk_.risunok3.jpg?itok=-QmDTxug
  • https://radiomed.ru/sites/default/files/styles/case_slider_image/public/user/12/3.zhuk_.risunok2.jpg?itok=1LAhVvUz
ID:10671
Верификация: 
Катенёв Валентин Львович аватар
Не на сайте
Был на сайте: 7 лет 5 месяцев назад
Зарегистрирован: 22.03.2008 - 22:15
Публикации: 54876

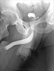
А, здесь похоже на кишечные дивертикулы?

Приложения: 
1d..risunok117.jpg2.d..risunok118.jpg
intervent_r аватар
Не на сайте
Был на сайте: 12 лет 11 месяцев назад
Зарегистрирован: 04.08.2009 - 16:23
Публикации: 74

Катенёв Валентин Львович wrote:

Интересные снимки.

очень похоже на свищ между уретрой и венозной системой полового члена(кавернозными телами) - на последнем снимке есть верху вены.

Катенёв Валентин Львович аватар
Не на сайте
Был на сайте: 7 лет 5 месяцев назад
Зарегистрирован: 22.03.2008 - 22:15
Публикации: 54876

intervent_r wrote:

Катенёв Валентин Львович wrote:

Интересные снимки.

очень похоже на свищ между уретрой и венозной системой полового члена(кавернозными телами) - на последнем снимке есть верху вены.

А, если предположить, что "это" грыжа7

Катенёв Валентин Львович аватар
Не на сайте
Был на сайте: 7 лет 5 месяцев назад
Зарегистрирован: 22.03.2008 - 22:15
Публикации: 54876

Случай, хоть и довольно "старый", как и сам пациент преклонного возраста, но довольно интересный. Это наблюдение одного из наших коллег, работающего в качестве преподавателя одной из медицинских Академий. Случай имеет название - "Пузырно - мошоночная грыжа".