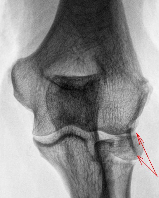
Хотелось-бы услышать мнение коллег и коллеги Вега, по поводу, помеченного красными стрелками, и откуда "это" оторвалось и что это за штука. Мне до конца субстрат данного тенеобразования не понятен.
Да, прекрасно виден субкапитальный перелом лучевой кости, с распространением линии перелома на суставную поверхность головки. Но что с локтевым отростком локтевой кости. Что с контуром локтевого отростка, помеченного зелеными стрелками, он довольно плохо дифференцируется, на мой взгляд там и "ступенька" намечается? Или "игра теней"?
А что это за дополнительная тень на фоне локтевого отростка? На мой вгляд, чтобы с ней разобраться, надо произвести рентгенографию локтевого сустава в "косых проекциях".
На мой взгляд, боковая проекция, еще более "интересная", чем "прямая". Понятно, что "изменения" - желтые стрелки имеют отношение к лучевой кости, а вот к "чему" имеют отношение "изменения" в теневой картине, помеченные "красными" стрелками?
НУ ОЧЕНЬ ИНТЕРЕСНЫЙ ПЕРЕЛОМ. И дополнительные снимки , произведенные в косых проекциях, могли-бы пролить определенный свет, на возникающие вопросы.
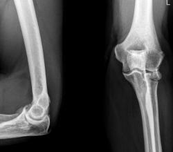
Уважаемые коллеги! Перелом, без сомнения, довольно редкий. На мой взгляд имеется внутрисуставной перелом головки лучевой кости с ротацией отломка суставной поверхностью кнаружи на 90 градусов. В таких случаях меня всегда, в первую очередь, интересует механизм травмы, приложение повреждающей силы. С локтевым отростком думаю все в порядке.
А главное ничего не оспариваю. Просто, высказал свои не то-что сомнения, а просто задал вопросы.
И если-бы "с сусликом" было все так просто, то по всей видимости, не были востребованы, и именно в травматологии, "косые", "аксиальные" и другие "не стандартные" проекции.
А по поводу "Господина суслика", который, кстати, большую часть времени, проводит в "норке" и не видим многим, позволю себе порекомендовать Вам ссылку-
Всякое бывает, бывает и дополнительные проекции нужны. В Вашем профессионализме я не сомневаюсь, что и было отмечено мной в том указанном случае.
Что касается фрагмента суставной поверхности головки луча, отмеченного красными стрелками - как откроем сустав, так и будет видно: если встанет на место и нормально удержится - оставим, если нет - удалим. И зафиксируем основной отломок шурупом.
Уважаемый Валентин Львович, данный сайт для меня как учебное пособие, а значит любой случай для меня это личное заключение, тот случай который Вы демонстрировали, я учёл для себя, могу сказать только одно, травматические изменения есть на 100%( в моём случае), те которые предположили, я считаю как проявления дегенеративных изменений в локтевом суставе. Если же допустим я ошибаюсь, я обязательно это доложу, ибо свои ошибки я стараюсь выкладывать. Контроль после открытой репозиции, если будет выложу.
"Знаешь, у некоторых врачей есть комплекс мессии — им необходимо спасать мир. А у тебя комплекс Рубика — тебе необходимо решать головоломки."
Для меня данный сайт - это "своеобразный свой дом", где мы, являясь коллегами-единомышленниками, можем свободно общаться. И это "дом наш", так как мы можем ЗДЕСЬ выражать свои мысли и мнения, и чем будет больше мнений, пусть разных, полярных, тем лучше для нас всех. Речь совершенно не должна идти "об ошибках", такого понятия вообще нет на данном сайте, каждый старается, прежде всего, для коллег выставить, что-то, что является интересным из своей практики, поделиться, тем, что имеет, то что наблюдает, задать волпрос.
И это здорово!
Мы все, пользователи данного сайта, здесь - у СЕБЯ ДОМА.
А почему удивились?
Хотелось-бы услышать мнение коллег и коллеги Вега, по поводу, помеченного красными стрелками, и откуда "это" оторвалось и что это за штука. Мне до конца субстрат данного тенеобразования не понятен.
Да, прекрасно виден субкапитальный перелом лучевой кости, с распространением линии перелома на суставную поверхность головки. Но что с локтевым отростком локтевой кости. Что с контуром локтевого отростка, помеченного зелеными стрелками, он довольно плохо дифференцируется, на мой взгляд там и "ступенька" намечается? Или "игра теней"?
А что это за дополнительная тень на фоне локтевого отростка? На мой вгляд, чтобы с ней разобраться, надо произвести рентгенографию локтевого сустава в "косых проекциях".
Да и "контур" ямки локтевого отростка "локально" рождает сомнения? Как Вы считаете Виталий Валерьевич?
На мой взгляд, боковая проекция, еще более "интересная", чем "прямая". Понятно, что "изменения" - желтые стрелки имеют отношение к лучевой кости, а вот к "чему" имеют отношение "изменения" в теневой картине, помеченные "красными" стрелками?
НУ ОЧЕНЬ ИНТЕРЕСНЫЙ ПЕРЕЛОМ. И дополнительные снимки , произведенные в косых проекциях, могли-бы пролить определенный свет, на возникающие вопросы.
Конечно, вопросы есть еще.
Уважаемые коллеги! Перелом, без сомнения, довольно редкий. На мой взгляд имеется внутрисуставной перелом головки лучевой кости с ротацией отломка суставной поверхностью кнаружи на 90 градусов. В таких случаях меня всегда, в первую очередь, интересует механизм травмы, приложение повреждающей силы. С локтевым отростком думаю все в порядке.
dok
Просто ни когда не встречал перелом 1/2 головки, при этом как видно отломок "вывернуло", а грамотнее наверное подвывих ?
Данный отломок скорее всего зафексируют мини-пластиной.
"Знаешь, у некоторых врачей есть комплекс мессии — им необходимо спасать мир. А у тебя комплекс Рубика — тебе необходимо решать головоломки."
Валентин Львович в остальном всё без особенности, травматические изменения только в головке лучевой кости.
"Знаешь, у некоторых врачей есть комплекс мессии — им необходимо спасать мир. А у тебя комплекс Рубика — тебе необходимо решать головоломки."
Ну-ну. Дай-то бог.
"Ты суслика видишь? - Нет. - И я нет. А он есть!" © :)
При большом на то желании можно увидеть многое. Не зря же квадрат Малевича в галерее висит :)
Мне видится только перелом головки луча. Механизм - обычное падение на разогнутую руку. Надо прооперировать - шурупом прикрутить.
Про суслика оценил по достоинству. Браво Вега!
А главное ничего не оспариваю. Просто, высказал свои не то-что сомнения, а просто задал вопросы.
И если-бы "с сусликом" было все так просто, то по всей видимости, не были востребованы, и именно в травматологии, "косые", "аксиальные" и другие "не стандартные" проекции.
Вега: " Надо прооперировать - шурупом прикрутить."
А отмеченное красными стрелками тоже шурупом "прикрутите" или "приклеете", или "приварите"?
А по поводу "Господина суслика", который, кстати, большую часть времени, проводит в "норке" и не видим многим, позволю себе порекомендовать Вам ссылку-
http://www.radiomed.ru/cases/travma-pacient-napravlen-dlya-rentgenografii-loktevogo-sustava
Весьма интересный случай.
Валентин Львович! Ну что ж Вы сразу обижаетесь?
Всякое бывает, бывает и дополнительные проекции нужны. В Вашем профессионализме я не сомневаюсь, что и было отмечено мной в том указанном случае.
Что касается фрагмента суставной поверхности головки луча, отмеченного красными стрелками - как откроем сустав, так и будет видно: если встанет на место и нормально удержится - оставим, если нет - удалим. И зафиксируем основной отломок шурупом.
Вега!
Я вообще никогда не обижаюсь. Обижаться - это совершенно бесполезное и не нужное дело. Я просто высказал свою точку зрения. Вот и все.
Уважаемый Валентин Львович, данный сайт для меня как учебное пособие, а значит любой случай для меня это личное заключение, тот случай который Вы демонстрировали, я учёл для себя, могу сказать только одно, травматические изменения есть на 100%( в моём случае), те которые предположили, я считаю как проявления дегенеративных изменений в локтевом суставе. Если же допустим я ошибаюсь, я обязательно это доложу, ибо свои ошибки я стараюсь выкладывать. Контроль после открытой репозиции, если будет выложу.
"Знаешь, у некоторых врачей есть комплекс мессии — им необходимо спасать мир. А у тебя комплекс Рубика — тебе необходимо решать головоломки."
Уважаемый Виталий Валерьевич!
Для меня данный сайт - это "своеобразный свой дом", где мы, являясь коллегами-единомышленниками, можем свободно общаться. И это "дом наш", так как мы можем ЗДЕСЬ выражать свои мысли и мнения, и чем будет больше мнений, пусть разных, полярных, тем лучше для нас всех. Речь совершенно не должна идти "об ошибках", такого понятия вообще нет на данном сайте, каждый старается, прежде всего, для коллег выставить, что-то, что является интересным из своей практики, поделиться, тем, что имеет, то что наблюдает, задать волпрос.
И это здорово!
Мы все, пользователи данного сайта, здесь - у СЕБЯ ДОМА.