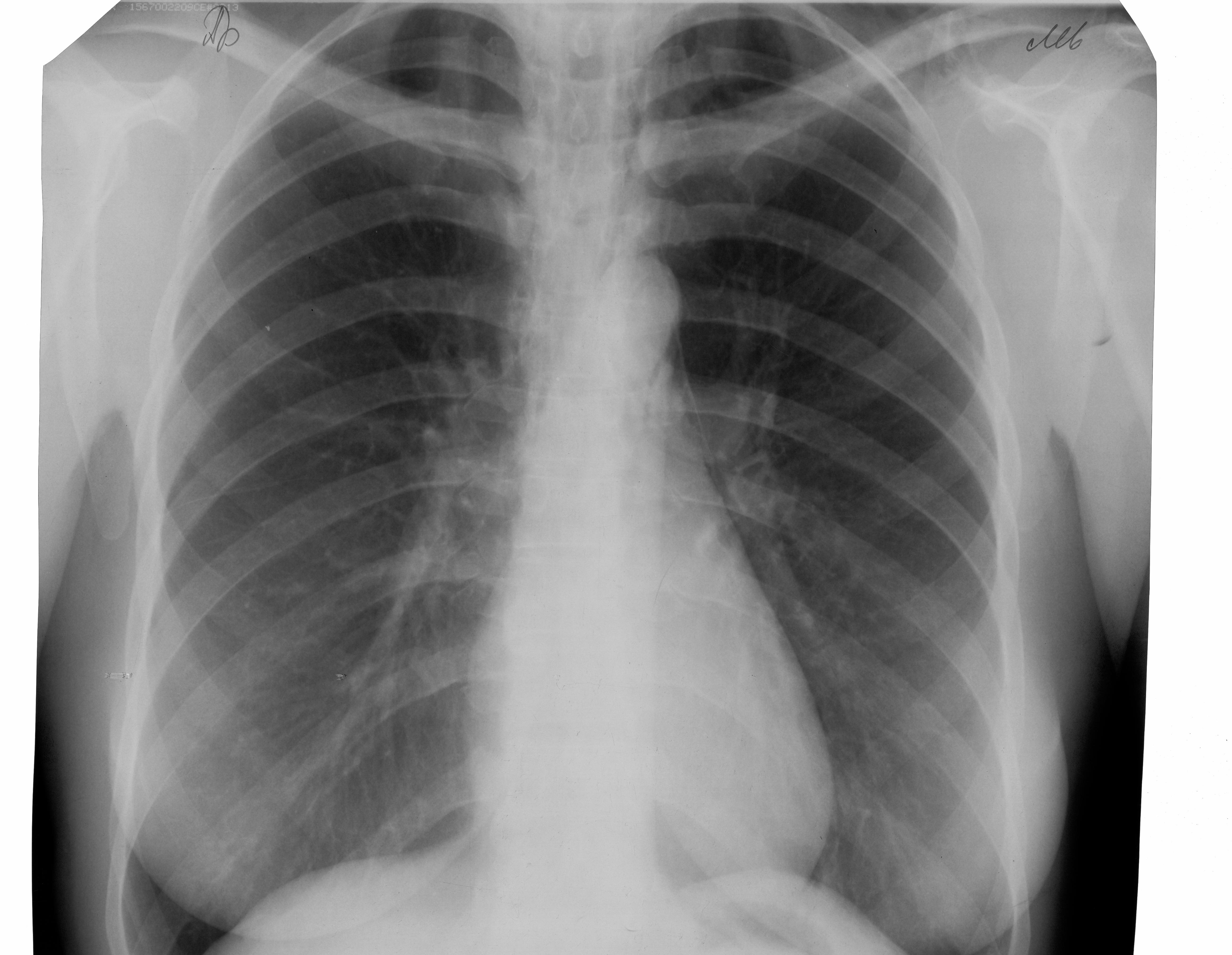
Женщина, вернулась из леса с пикника.Жалобы на боли за грудиной, шее, связанные с движением, осиплость голоса,одышка. Боковой снимок не делали. https://radiomed.ru/sites/default/files/styles/case_slider_image/public/user/18473/pnevmomediast00002.jpg?itok=bnYDKqfS ID:48350 Чт, 29/08/2013 - 14:38 #1 Helios Не на сайте Был на сайте: 7 месяцев 2 недели назад Зарегистрирован: 06.08.2010 - 15:16 Публикации: 4417 Исправила. Забыли на кнопочку нажать. Чт, 29/08/2013 - 14:42 #2 Helios Не на сайте Был на сайте: 7 месяцев 2 недели назад Зарегистрирован: 06.08.2010 - 15:16 Публикации: 4417 Это воздух в превертебральном пространстве ? Чт, 29/08/2013 - 14:53 #3 Сергей Рожков Не на сайте Был на сайте: 11 лет 11 месяцев назад Зарегистрирован: 23.12.2010 - 06:22 Публикации: 9 выраженная эмфизема предпозвоночных мягких тканей, пневмомедиастенеум. Не исключается перфорация пищевода. Что-то острое кушала? Чт, 29/08/2013 - 15:03 #4 Helios Не на сайте Был на сайте: 7 месяцев 2 недели назад Зарегистрирован: 06.08.2010 - 15:16 Публикации: 4417 У меня подобный случай был 2 года назад, после травмы. Чт, 29/08/2013 - 15:49 #5 медсанчасть рег... Не на сайте Был на сайте: 11 лет 1 месяц назад Зарегистрирован: 11.06.2013 - 10:46 Публикации: 136 решили выложить как новый случай Чт, 29/08/2013 - 15:34 #6 Helios Не на сайте Был на сайте: 7 месяцев 2 недели назад Зарегистрирован: 06.08.2010 - 15:16 Публикации: 4417 Снимочки интересные, даже фамилия мелькаетНадо исправить. Чт, 29/08/2013 - 15:43 #7 медсанчасть рег... Не на сайте Был на сайте: 11 лет 1 месяц назад Зарегистрирован: 11.06.2013 - 10:46 Публикации: 136 а как удалить и заменить снимки Чт, 29/08/2013 - 17:04 #8 Helios Не на сайте Был на сайте: 7 месяцев 2 недели назад Зарегистрирован: 06.08.2010 - 15:16 Публикации: 4417 Лучше в отдельной теме, предварительно убрав данные пациента. Чт, 29/08/2013 - 18:30 #9 Nikolas Не на сайте Был на сайте: 1 месяц 3 недели назад Зарегистрирован: 21.12.2010 - 20:37 Публикации: 4559 вяленой рыбки Надо вытаскивать. Чт, 29/08/2013 - 20:43 #10 медсанчасть рег... Не на сайте Был на сайте: 11 лет 1 месяц назад Зарегистрирован: 11.06.2013 - 10:46 Публикации: 136 Дообследована в тор.хирургии,проведена ФГС,ФБС,причина не установлена. Чт, 29/08/2013 - 21:48 #11 Nikolas Не на сайте Был на сайте: 1 месяц 3 недели назад Зарегистрирован: 21.12.2010 - 20:37 Публикации: 4559 пациентки? Чт, 29/08/2013 - 23:12 #12 Almo Не на сайте Был на сайте: 1 день 4 часа назад Зарегистрирован: 28.09.2008 - 18:50 Публикации: 8248 Дообследована в тор.хирургии,проведена ФГС,ФБС,причина не установлена. ----------------------------------------------------------------------------------------------------------------------------------------- А, пнемомедиастинум разрешился? И какая может быть дальнешая тактика обследования пациентки? Пт, 30/08/2013 - 11:34 #13 медсанчасть рег... Не на сайте Был на сайте: 11 лет 1 месяц назад Зарегистрирован: 11.06.2013 - 10:46 Публикации: 136 Возраст 48 лет.Со слов хирурга пневмомедиастинум клинически и рентгенологически разрешился.Дальнейшая тактика-динамическое наблюдение. Пт, 30/08/2013 - 13:09 #14 Almo Не на сайте Был на сайте: 1 день 4 часа назад Зарегистрирован: 28.09.2008 - 18:50 Публикации: 8248 Спасибо!
Исправила.
Забыли на кнопочку нажать.
Это воздух в превертебральном пространстве ?
выраженная эмфизема предпозвоночных мягких тканей, пневмомедиастенеум. Не исключается перфорация пищевода. Что-то острое кушала?
У меня подобный случай был 2 года назад, после травмы.
решили выложить как новый случай
Снимочки интересные, даже фамилия мелькает
Надо исправить.
а как удалить и заменить снимки
Лучше в отдельной теме, предварительно убрав данные пациента.
вяленой рыбки Надо вытаскивать.
Дообследована в тор.хирургии,проведена ФГС,ФБС,причина не установлена.
пациентки?
Дообследована в тор.хирургии,проведена ФГС,ФБС,причина не установлена.
-----------------------------------------------------------------------------------------------------------------------------------------
А, пнемомедиастинум разрешился? И какая может быть дальнешая тактика обследования пациентки?
Возраст 48 лет.Со слов хирурга пневмомедиастинум клинически и рентгенологически разрешился.Дальнейшая тактика-динамическое наблюдение.
Спасибо!