Интересный случай

Пол пациента: 
Область исследования: 
Методы исследования: 

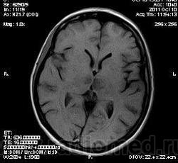
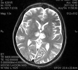
женщина 1963 года рождения. давность заболевания 10 дней. 

  • https://radiomed.ru/sites/default/files/styles/case_slider_image/public/user/301/ishemich.0002_0.jpg?itok=Ey6byZmc
  • https://radiomed.ru/sites/default/files/styles/case_slider_image/public/user/301/ishemich.0003_0.jpg?itok=VhFZuWCj
  • https://radiomed.ru/sites/default/files/styles/case_slider_image/public/user/301/ishemich.0004_0.jpg?itok=ko3srLsz
  • https://radiomed.ru/sites/default/files/styles/case_slider_image/public/user/301/ishemich.0005_0.jpg?itok=u9v1cakm
  • https://radiomed.ru/sites/default/files/styles/case_slider_image/public/user/301/ishemich.0006.jpg?itok=iWB4B1MG
ID:16061
Ольга Сергеевна аватар
Не на сайте
Был на сайте: 11 лет 2 месяцев назад
Зарегистрирован: 20.08.2011 - 19:38
Публикации: 105

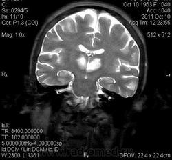
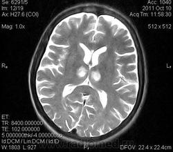
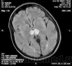
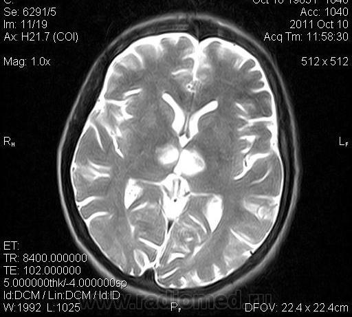
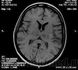
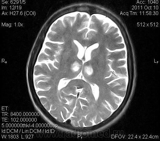
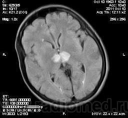
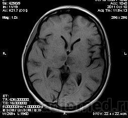
ОНМК в бассейне правой и левой СМА (центральные ветви), подострый период.. Билатеральность нарушений может быть обусловлена вариантом строения Виллизиева круга. 

Nela аватар
Не на сайте
Был на сайте: 6 лет 3 недели назад
Зарегистрирован: 12.05.2009 - 20:43
Публикации: 1847
Сергей Нагорный аватар
Не на сайте
Был на сайте: 9 лет 8 месяцев назад
Зарегистрирован: 13.07.2010 - 22:49
Публикации: 1370

Билатеральный таламический инфаркт. Либо венозный, либо вследствие закупорки одной из ветвей задней мозговой артерии - ЗМА (вариан развития ЗМА). Но не средней мозговой артерии (СМА). Мне представляеться, что здесь второе... За венозный инфаркт данных не вижу.

С уважением, С.Н. Нагорный

Nela аватар
Не на сайте
Был на сайте: 6 лет 3 недели назад
Зарегистрирован: 12.05.2009 - 20:43
Публикации: 1847

Согласна. Посмотреть бы сосуды.

Oleg Vasilyevich аватар
Не на сайте
Был на сайте: 5 лет 1 месяц назад
Зарегистрирован: 04.01.2011 - 14:42
Публикации: 60

Глава 5 Диагностической нейрорадиологии Корниетнко. стр 277 рис 5.62.

nnemo аватар
Не на сайте
Был на сайте: 11 лет 1 месяц назад
Зарегистрирован: 13.09.2011 - 18:32
Публикации: 561

Может не как следствие закупорки сосуда, а гемодинамический инфаркт в ВББ (таламо-субталомических ветвей ЗМА)?

Сергей Нагорный аватар
Не на сайте
Был на сайте: 9 лет 8 месяцев назад
Зарегистрирован: 13.07.2010 - 22:49
Публикации: 1370

nnemo wrote:

Может не как следствие закупорки сосуда, а гемодинамический инфаркт в ВББ (таламо-субталомических ветвей ЗМА)?

Может быть что угодно, но:

1. гемодинамические инфаркты встречаются нечасто.

2. должно предшествовать снижение МОС/АД

3. как правило, это инфаркты пограничных зон (смежного кровоснабжения), а не базальных ядер.

и еще несколько пунктов, они логичны и закономерны...

С уважением, С.Н. Нагорный

nnemo аватар
Не на сайте
Был на сайте: 11 лет 1 месяц назад
Зарегистрирован: 13.09.2011 - 18:32
Публикации: 561

".... должно предшествовать снижение МОС/АД..." - у нас нет данных, что этого не было:) Я высказал это как дополнительную гипотезу к DDx: приведенную Вами: "...либо венозный, либо вследствие закупорки одной из ветвей задней мозговой артерии..."

Ольга Сергеевна аватар
Не на сайте
Был на сайте: 11 лет 2 месяцев назад
Зарегистрирован: 20.08.2011 - 19:38
Публикации: 105

Ой, ну да. Конечно же ЗМА. 

Ольга Сергеевна аватар
Не на сайте
Был на сайте: 11 лет 2 месяцев назад
Зарегистрирован: 20.08.2011 - 19:38
Публикации: 105

Поторопилась...

Евгений Второй аватар
Не на сайте
Был на сайте: 4 недели 1 день назад
Зарегистрирован: 13.09.2011 - 22:00
Публикации: 1772

MELAS? Чем черт не шутит?

Широков.Евгений. аватар
Не на сайте
Был на сайте: 11 лет 3 месяцев назад
Зарегистрирован: 31.08.2008 - 14:29
Публикации: 77

MELAS- по лаколизации очень похоже, но пока нет достоверных данных на него указывающих

Ольга Сергеевна аватар
Не на сайте
Был на сайте: 11 лет 2 месяцев назад
Зарегистрирован: 20.08.2011 - 19:38
Публикации: 105

Тогда КТ надо еще сделать, для исключения кальцинатов в базальных ганглиях.

Ольга Сергеевна аватар
Не на сайте
Был на сайте: 11 лет 2 месяцев назад
Зарегистрирован: 20.08.2011 - 19:38
Публикации: 105

А в Корниенко инфаркты-то разной степени давности...

nnemo аватар
Не на сайте
Был на сайте: 11 лет 1 месяц назад
Зарегистрирован: 13.09.2011 - 18:32
Публикации: 561

Ольга Сергеевна wrote:

Тогда КТ надо еще сделать, для исключения кальцинатов в базальных ганглиях.

с целью исключения MELAS? 

Ольга Сергеевна аватар
Не на сайте
Был на сайте: 11 лет 2 месяцев назад
Зарегистрирован: 20.08.2011 - 19:38
Публикации: 105

Ну да, для исключения MELAS...  

Сергей Нагорный аватар
Не на сайте
Был на сайте: 9 лет 8 месяцев назад
Зарегистрирован: 13.07.2010 - 22:49
Публикации: 1370

Я неприклонен... Инфаркт ЗМА (вероятно, варианта развития левой ЗМА - эмболии, мойа-мойа..).

На самом деле, вопрос решается очень просто - динамическим контролем...

За MELAS, с учетом его патогенеза, не вижу серьезных аргументов.

С уважением, С.Н. Нагорный