Интерстициальный отек?

Пол пациента: 
Тип патологии: 
Методы исследования: 

Мужчина, 41 год. Обследуется амбулаторно, вызван по результатам ФЛГ. На данный момент жалоб не предъявляет.

An.morbi: в 1990 году впервые на ФЛГ  выявлены изменения в нижней доле левого легкого, обследован в торак.отд. РБ, выполнялась бронхоскопия, диагносцирован постпневмонический пневмофиброз. В 1994 г перенес двустороннюю пневмонию.   В январе 2012 г перенес пневмонию слева в S4,5 с положительной динамикой (в том числе и рентгенологической) на фоне проводимой неспециф.  противовоспалительной терапии. На контрольной ФЛГ через 1,5 месяца были заподозрены "свежие очаги, усиление и сгущение легочного рисунка в н/отделах слева", в связи с чем и направлен на МСКТ грудной полости.   Клинич.и биохим. анализы крови в норме.

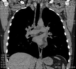
Слева легочный рисунок усилен за счет сосудистого компонента, равномерное утолщение стенок бронхов верхней и нижней долей с уменьшением их внутреннего диаметра, утолщение междольковых перегородок - интерстиц. отек? Увеличение объема клетчатки корня левого легкого и средостения - структура ее однородна, плотность от -5 до 5 HU. Жидкости в плевральной полости не выявлено. Имеется небольшой перикардиальный выпот.

  • https://radiomed.ru/sites/default/files/styles/case_slider_image/public/user/16259/p10002_1.jpg?itok=LbdazbFw
  • https://radiomed.ru/sites/default/files/styles/case_slider_image/public/user/16259/p10003_1.jpg?itok=R_xHp4-y
  • https://radiomed.ru/sites/default/files/styles/case_slider_image/public/user/16259/p10004_2.jpg?itok=MdJO-qU7
  • https://radiomed.ru/sites/default/files/styles/case_slider_image/public/user/16259/p10005_3.jpg?itok=6oZtP-7j
  • https://radiomed.ru/sites/default/files/styles/case_slider_image/public/user/16259/p10006_1.jpg?itok=ij3_-Gi4
  • https://radiomed.ru/sites/default/files/styles/case_slider_image/public/user/16259/p10007_0.jpg?itok=PBQtfgpj
  • https://radiomed.ru/sites/default/files/styles/case_slider_image/public/user/16259/p10008_0.jpg?itok=kkLc3j0-
  • https://radiomed.ru/sites/default/files/styles/case_slider_image/public/user/16259/p10009_0.jpg?itok=X9qDyPJ9
  • https://radiomed.ru/sites/default/files/styles/case_slider_image/public/user/16259/p10010_0.jpg?itok=a7PhLqw4
  • https://radiomed.ru/sites/default/files/styles/case_slider_image/public/user/16259/p10011_0.jpg?itok=GtZpuDm5
  • https://radiomed.ru/sites/default/files/styles/case_slider_image/public/user/16259/p10012_0.jpg?itok=rwoUU_ke
  • https://radiomed.ru/sites/default/files/styles/case_slider_image/public/user/16259/p10013_0.jpg?itok=RBFZ7mJx
  • https://radiomed.ru/sites/default/files/styles/case_slider_image/public/user/16259/p10014_0.jpg?itok=JZYAk1Tu
  • https://radiomed.ru/sites/default/files/styles/case_slider_image/public/user/16259/p10015_0.jpg?itok=aZs9iore
  • https://radiomed.ru/sites/default/files/styles/case_slider_image/public/user/16259/p10016_0.jpg?itok=PxOHyoGX
  • https://radiomed.ru/sites/default/files/styles/case_slider_image/public/user/16259/p10017_0.jpg?itok=kopjUSHM
  • https://radiomed.ru/sites/default/files/styles/case_slider_image/public/user/16259/p10018_0.jpg?itok=-mVo7pRc
  • https://radiomed.ru/sites/default/files/styles/case_slider_image/public/user/16259/p10019_0.jpg?itok=X80IDv97
  • https://radiomed.ru/sites/default/files/styles/case_slider_image/public/user/16259/p30010_0.jpg?itok=RMS7jVyG
  • https://radiomed.ru/sites/default/files/styles/case_slider_image/public/user/16259/p30011_0.jpg?itok=5c6n6Qxp
  • https://radiomed.ru/sites/default/files/styles/case_slider_image/public/user/16259/p30012_0.jpg?itok=UZ7rZaai
  • https://radiomed.ru/sites/default/files/styles/case_slider_image/public/user/16259/p30013_0.jpg?itok=3tHmwLDb
  • https://radiomed.ru/sites/default/files/styles/case_slider_image/public/user/16259/p30014_0.jpg?itok=lDcagnjg
  • https://radiomed.ru/sites/default/files/styles/case_slider_image/public/user/16259/p30015_0.jpg?itok=wQDHjG2G
ID:20784
И.Бондаренко аватар
Не на сайте
Был на сайте: 1 день 15 часов назад
Зарегистрирован: 13.09.2011 - 22:55
Публикации: 9206

Не специалист. Согласен с тем, что вами описано. Возможно у него какие-нибудь сердечно-сосудистые проблемы. Ещё буллёзные изменения в верхушках.

федя аватар
Не на сайте
Был на сайте: 11 лет 7 месяцев назад
Зарегистрирован: 25.06.2011 - 20:28
Публикации: 260

тут нет интерстициального отека!!местами на ограниченном участке определяются участки утолщения междолькового интерстиция ,но основная масса-это центрилобулярные узелки и изолированные очаги в обоих легких.скорее всего это поствоспалительные изменения ,также необходимо исключить бронхиолит

Ivanaskina аватар
Не на сайте
Был на сайте: 8 лет 2 недели назад
Зарегистрирован: 02.04.2011 - 12:41
Публикации: 304

интерстициальный отек ? мне кажестя наоборот постпневмонический  интерстициальный фиброз (утолщение междольковых септ , плеворпульмональные спайки)  Так же не согласна с уменьшением внутреннего диаметра бронхов. Наоборот субсегментарные бронхи нижней доли  слева расширены, что так же говорит о  фиброзных изменениях на фоне перенесенного воспаления. Стенки утолщены -да. Утолщена междолевая плевра слева.

Петрович аватар
Не на сайте
Был на сайте: 7 лет 2 месяцев назад
Зарегистрирован: 22.03.2009 - 01:13
Публикации: 3908

Хотелось бы увидеть и флюорограмму, с которой всё началось.

Разве бывает интерстициальный отёк, локализованный в некоторых местах одной доли?

Каким образом здесь можно исключить бронхиолит прижизненно (по-видимому  КТ не дала такой возможности)? Или это задание уже патологоанатому?

Неоднозначно всё