Исследование ОГК.

Пол пациента: 
Тип патологии: 

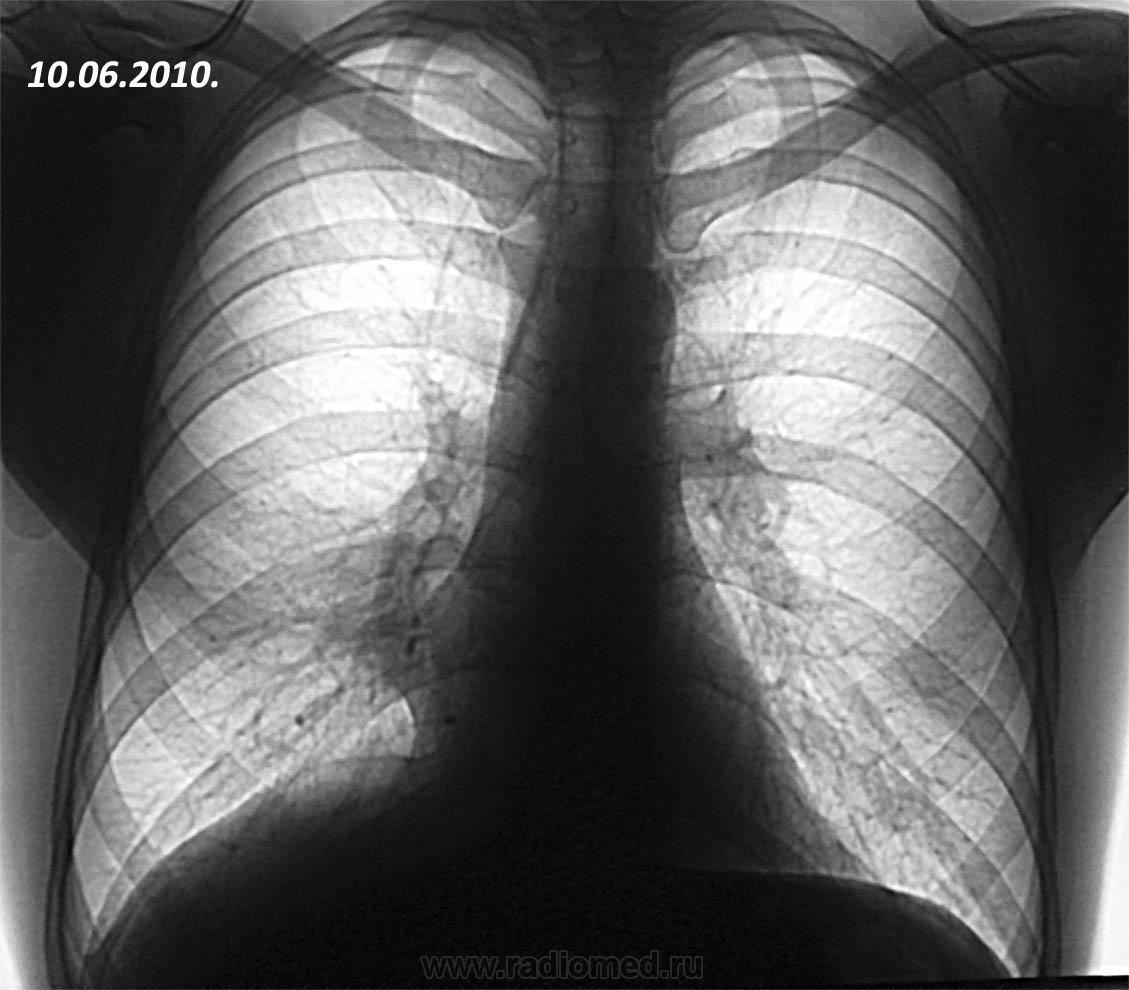
Пациент 1981 г.р., курильщик, жалобы на кашель с периодическими ухудшениями. Беспокоит около полугода. Поступил в пульмонологическое отделение госпиталя в июне 2010 года. Диагноз: плевропневмония. Позже госпитализировался неоднократно. Пневмония сопровождалась ретростарнальным плевритом с элементами организации. Полноценного регресса не было, исход в локальный пневмофиброз. Последнее поступление в ноябре 2011 года. Картина вот такая. В анализах слабый лейкоцитоз. Кашель сухой, мокроты нет.

  • https://radiomed.ru/sites/default/files/styles/case_slider_image/public/user/3690/ogk_2.jpg?itok=XdzmuafN
  • https://radiomed.ru/sites/default/files/styles/case_slider_image/public/user/3690/ogk_3.jpg?itok=WZX7Vpz4
  • https://radiomed.ru/sites/default/files/styles/case_slider_image/public/user/3690/ogk_4.jpg?itok=qwtnhC9d
  • https://radiomed.ru/sites/default/files/styles/case_slider_image/public/user/3690/ogk_5.jpg?itok=M4OL3xea
  • https://radiomed.ru/sites/default/files/styles/case_slider_image/public/user/3690/ogk_6.jpg?itok=ZpaKGxUU
  • https://radiomed.ru/sites/default/files/styles/case_slider_image/public/user/3690/ogk_7.jpg?itok=mcilhQSc
  • https://radiomed.ru/sites/default/files/styles/case_slider_image/public/user/3690/ogk_8.jpg?itok=20bVyiKA
  • https://radiomed.ru/sites/default/files/styles/case_slider_image/public/user/3690/ogk_9.jpg?itok=ZnbMhuzV
  • https://radiomed.ru/sites/default/files/styles/case_slider_image/public/user/3690/ogk_10.jpg?itok=lJ775xRi
  • https://radiomed.ru/sites/default/files/styles/case_slider_image/public/user/3690/ogk_11.jpg?itok=R35odd2a
  • https://radiomed.ru/sites/default/files/styles/case_slider_image/public/user/3690/ogk_12.jpg?itok=I_e9hgJI
  • https://radiomed.ru/sites/default/files/styles/case_slider_image/public/user/3690/ogk_13.jpg?itok=Z5b_LVh4
  • https://radiomed.ru/sites/default/files/styles/case_slider_image/public/user/3690/ogk_14.jpg?itok=RCotKgC7
  • https://radiomed.ru/sites/default/files/styles/case_slider_image/public/user/3690/ogk_15.jpg?itok=JvNrLUTc
  • https://radiomed.ru/sites/default/files/styles/case_slider_image/public/user/3690/ogk_16.jpg?itok=WFvOADQU
  • https://radiomed.ru/sites/default/files/styles/case_slider_image/public/user/3690/ogk_17.jpg?itok=0jhO80xW
ID:16853
Helios аватар
Не на сайте
Был на сайте: 10 месяцев 2 недели назад
Зарегистрирован: 06.08.2010 - 15:16
Публикации: 4417

Данные ФБС уже имеются?

Marta аватар
Не на сайте
Был на сайте: 12 лет 9 месяцев назад
Зарегистрирован: 29.10.2009 - 15:51
Публикации: 32

Синдром средней доли - cr, пока не доказано обратное. И правда хотелось бы узнать данные ФБС..

brainmodel аватар
Не на сайте
Был на сайте: 5 месяцев 1 неделя назад
Зарегистрирован: 18.03.2010 - 22:04
Публикации: 2881

На ФБС примерно такая вот картинка: 1- плюс-ткань круглой формы, серого цвета, дольчатой структуры, туго-эластичной консистенции при инструментальной пальпации, умеренно кровоточивая при биопсии, неподвижная относительно стенки бронха, 2 - симптом "немого устья" среднедолевого бронха, обтурированного данной опухолью, проходимость за нее только для щипцов, 3 - локальная гиперемия устья с/д бронха справа, 4 - инфильтрация шпоры с/д бронха справа. Цитология - метаплазия эпителия. Гистология еще не готова. Пациент морально простимулирован, в течение 2 дней уехал в Москву в головной госпиталь.

Приложения: 
fbs.jpg

Verum plus uno esse non potest.

Marta аватар
Не на сайте
Был на сайте: 12 лет 9 месяцев назад
Зарегистрирован: 29.10.2009 - 15:51
Публикации: 32

интересно, спасибо за подробную информацию!

А аспирации инородного тела не могло быть? На грануляции эндо- картина не похожа?

И.Бондаренко аватар
Не на сайте
Был на сайте: 1 день 59 минут назад
Зарегистрирован: 13.09.2011 - 22:55
Публикации: 9209

Картина больше похожа на ателектаз средней доли, возможно только 5 сегмента

brainmodel аватар
Не на сайте
Был на сайте: 5 месяцев 1 неделя назад
Зарегистрирован: 18.03.2010 - 22:04
Публикации: 2881

Нет. Эта ткань не гранулема. Больше на аденому похожа. Ателектаз всей средней доли.

Verum plus uno esse non potest.

Bob аватар
Bob
Не на сайте
Был на сайте: 12 лет 1 месяц назад
Зарегистрирован: 20.08.2011 - 20:06
Публикации: 218

indecision

Приложения: 
bezymyannyy_1.jpg
Евгений1313 аватар
Не на сайте
Был на сайте: 13 лет 3 месяцев назад
Зарегистрирован: 15.10.2010 - 19:13
Публикации: 808

Откуда ателектаз? Изначально ничего похожего.

brainmodel аватар
Не на сайте
Был на сайте: 5 месяцев 1 неделя назад
Зарегистрирован: 18.03.2010 - 22:04
Публикации: 2881

Евгений1313 wrote:

Откуда ателектаз? Изначально ничего похожего.

Изначально - не похоже, а на последней ФОГК? как Вы опишете изменения? В протоколе отмечена инфильтрация с втянутой плеврой. Да, классики-ателектаза нет. НО это снимки после 7 дней АБ терапии, в крови лейкоцитоза нет. К тому же на ФБС за опухоль можно пройти только форцептам (диаметр 2.5 мм), видимого просвета СДБ вообще не определялось.

Verum plus uno esse non potest.

brainmodel аватар
Не на сайте
Был на сайте: 5 месяцев 1 неделя назад
Зарегистрирован: 18.03.2010 - 22:04
Публикации: 2881

Влез в старые сообщения. У данного пациента после операции - карциноид.3 года ходит довольный, ни разу не болел (тьфу-тьфу).

Verum plus uno esse non potest.

Сольвейг аватар
Не на сайте
Был на сайте: 3 года 8 месяцев назад
Зарегистрирован: 05.02.2013 - 20:25
Публикации: 2239

Жаль, что я так поздно пришла. Первая мысль-о карциноиде. Он почему-то очень любит среднюю долю. На снимках мы его не видим, но описание и его вид на бронхоскопии-характерны. Надеюсь, больного оперировали и удалили эту дрянь?

brainmodel аватар
Не на сайте
Был на сайте: 5 месяцев 1 неделя назад
Зарегистрирован: 18.03.2010 - 22:04
Публикации: 2881

Сольвейг wrote:
Жаль, что я так поздно пришла. Первая мысль-о карциноиде. Он почему-то очень любит среднюю долю. На снимках мы его не видим, но описание и его вид на бронхоскопии-характерны. Надеюсь, больного оперировали и удалили эту дрянь?
В предыдущем посте: операция была 3 года назад, сегментарная резекция бронха.

Verum plus uno esse non potest.