Исследование ОГК 2

Пол пациента: 
Тип патологии: 
Методы исследования: 

На проф. осмотр пришли двое дедушек. Обоим около 75 лет. Жалоб никаких не предъявляют. С их слов, никогда ничем не болели. Решили съездить в санаторий.

Случай №1

Случай № 2

  • https://radiomed.ru/sites/default/files/styles/case_slider_image/public/user/712/sl274596.jpg?itok=uXtG8CUN
  • https://radiomed.ru/sites/default/files/styles/case_slider_image/public/user/712/sl274610.jpg?itok=p4Kmu1bv
  • https://radiomed.ru/sites/default/files/styles/case_slider_image/public/user/712/sl274611.jpg?itok=Q4Mk8Teb
ID:20900
Mila85 аватар
Не на сайте
Был на сайте: 3 года 6 месяцев назад
Зарегистрирован: 15.03.2012 - 16:59
Публикации: 1790

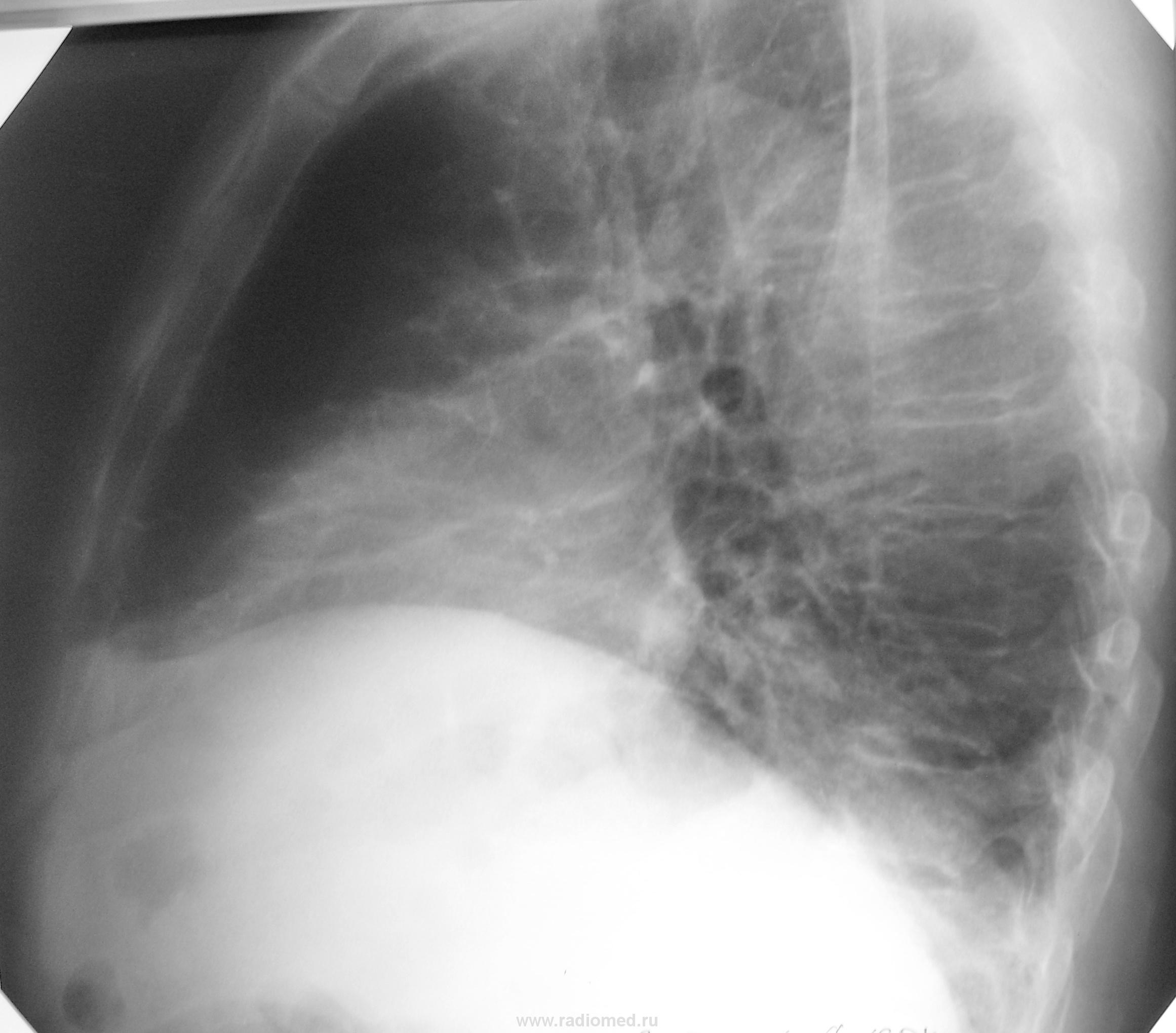
У первого левый купол диафрагмы просто поднят, а у второго похоже на начинающийся центральный рак справа. 

Побединский Михаил Александрович аватар
Не на сайте
Был на сайте: 8 лет 2 месяцев назад
Зарегистрирован: 25.12.2010 - 23:44
Публикации: 696

По моему в 1м случае левосторонний базальный плеврит, во 2м левый купол деформирован, уплощен.

наденька76 аватар
Не на сайте
Был на сайте: 7 лет 4 месяцев назад
Зарегистрирован: 08.12.2011 - 22:22
Публикации: 36

мне тоже в 1м случае левый синус не нравится, есть возможность узи плевральных полостей сделать?архив?

Nikolas аватар
Не на сайте
Был на сайте: 2 месяцев 18 часов назад
Зарегистрирован: 21.12.2010 - 20:37
Публикации: 4560

Облитерация реберно-диафрагмального синуса слева. Левое легкое полностью не расправлено.Справа компенсаторная эмфизема.

nelly аватар
Не на сайте
Был на сайте: 11 лет 6 месяцев назад
Зарегистрирован: 11.07.2011 - 19:19
Публикации: 328

А  что за небольшой кругляш на уровне переднего отрезка 3 ребра слева в 1-м случае?

Глазков Игорь Артурович аватар
Не на сайте
Был на сайте: 1 год 2 месяцев назад
Зарегистрирован: 19.12.2008 - 20:41
Публикации: 1597

nelly wrote:

А  что за небольшой кругляш на уровне переднего отрезка 3 ребра слева в 1-м случае?

Вот и меня он заинтересовал.

Прийди к Себе

Побединский Михаил Александрович аватар
Не на сайте
Был на сайте: 8 лет 2 месяцев назад
Зарегистрирован: 25.12.2010 - 23:44
Публикации: 696

Кругляшом обычно называют округлый фокус, а тут кольцевидная тень. По моему сосудистый компонент, суммация теней.

Dr_Olya аватар
Не на сайте
Был на сайте: 13 лет 5 месяцев назад
Зарегистрирован: 27.04.2012 - 19:33
Публикации: 18

1).Эта округлая тень видна и на боковушке.... сосудистое происхождение-не факт,хотя могет ортогональное сечение,тем более близ корня.Выпота по боковому не видно-запаян синус-старые дела...мало ли что больной говорит.Загляните к нему в паспорт-он и сам забыл что у него было (Отвлекусь: смотрела мужик,-лечили его несколько месяцев неврологи от межреберной, пока не додумались снимок сделать.Отправили в стационар с пневмонией.По снимку мне(!) не понятно.Беру скопически- 4 сломанных ребра кряду и плевра утолщена локально,а мужик пяткой в грудь,что не ломал...Вот и слушай больных)

2).Про начинающийся центральный-круто!По-моему сосуд широковат.А вот верхушка слева:деформация рисунка и тени-апикально плотная(кльцинат?)и еще тенюшки...к сожалению,разобрать не могу.Деформация  левого купола диафрагмы,плевра паракостальная утолщена,периплевральные наложения и спайки-тож старые песни.Я бы сравнила с предыдущими снимками(если есть такая возможность) на предмет теней в S1 слева