Из каждодневной "контрастной" практики)))

Пол пациента: 
Тип патологии: 
Область исследования: 
Методы исследования: 

Ничего, вобщем то, сложно и примечательного, просто- посмотреть)))

Случай 1.

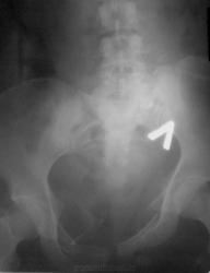
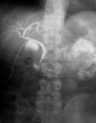
Послеоперационная чрездренажная холангиография. У хирурга был влпрос по снимку, какой, по вашему?)))

 

Случай 2.

Мужчина. ДТП, этим все сказано....ну и - всего много...

 

 

 

  • https://radiomed.ru/sites/default/files/styles/case_slider_image/public/user/2667/foto001_0.jpg?itok=uFpMX2uY
  • https://radiomed.ru/sites/default/files/styles/case_slider_image/public/user/2667/foto013.jpg?itok=M2fPkiX_
  • https://radiomed.ru/sites/default/files/styles/case_slider_image/public/user/2667/foto007.jpg?itok=4qBgUBXQ
  • https://radiomed.ru/sites/default/files/styles/case_slider_image/public/user/2667/foto008.jpg?itok=IyPpik4L
  • https://radiomed.ru/sites/default/files/styles/case_slider_image/public/user/2667/foto009.jpg?itok=wPF3WcI2
ID:24774
Любовь С. аватар
Не на сайте
Был на сайте: 9 лет 5 месяцев назад
Зарегистрирован: 23.12.2010 - 01:58
Публикации: 2324

1. Надежда в вопросе хирурга: а может это, совершенно случайно, не несостоятельность анастомоза, а в 12-перстной? Контуры верхние ровные, странно... Может, чего-то недопоняла.

2. Оскольчатая бабочка + разрыв симфиза. С левой подвздошной в крыле - не совсем уверена. Удивительно, что мочевой цел... или ошибаюсь?

"Предоставляя весь смысл и совершенство в распоряжение одного только Бога, вы избавляете себя от бездны хлопот." Джон Уитборн.

stovbav аватар
Не на сайте
Был на сайте: 2 года 2 месяцев назад
Зарегистрирован: 20.12.2009 - 17:28
Публикации: 7066

1. Хирург наоборот, луковицу 12 п кишки принял за затек...потом успокоился и заулыбался)))

2. И крыло подвздошной, и левая половина крестца, и поперечный пятого поясничного - все так и есть... Да, на удивление, мочевой "удержал")))

Любовь С. аватар
Не на сайте
Был на сайте: 9 лет 5 месяцев назад
Зарегистрирован: 23.12.2010 - 01:58
Публикации: 2324

 Вот и говорю, странный какой затёк, но луковка какова - красава! laugh

А по крестцу - каша, не понять... Поперечный 4-го отлетел слева, а в поперечном 5-м видится асимметричная сакрализация. Крыло погнуто наверняка, но деталей не могу рассмотреть, наощупь всё). Мочевой - молодец, железный мочевой)).

"Предоставляя весь смысл и совершенство в распоряжение одного только Бога, вы избавляете себя от бездны хлопот." Джон Уитборн.

maker4ik аватар
Не на сайте
Был на сайте: 8 лет 7 месяцев назад
Зарегистрирован: 19.10.2011 - 17:49
Публикации: 2682

На первом снимке контрастировано ложе желчного и, вероятно вследствие антиперистальтики, конраст по 12перстной вверх к желудку пошел.

А во втором случае - таз всмятку!

Сан Саныч1 аватар
Не на сайте
Был на сайте: 11 месяцев 2 недели назад
Зарегистрирован: 07.06.2010 - 21:17
Публикации: 2114

По первому случаю: Я тоже принял лдпк(???) за затек. Что за операция такая, где ЛДПК подводят к шейке бывшего пузыря? Снимки сделаны с разницей  в 1-2 секунды? Потому как если это ЛДПК, то были бы видны Керкринговы складки в последующем.

Хочешь сделать что-то нормально - сделай это сам!

stovbav аватар
Не на сайте
Был на сайте: 2 года 2 месяцев назад
Зарегистрирован: 20.12.2009 - 17:28
Публикации: 7066

maker4ik wrote:

На первом снимке контрастировано ложе желчного и, вероятно вследствие антиперистальтики, конраст по 12перстной вверх к желудку пошел.

А во втором случае - таз всмятку!

Нет, коллега, это не ложе желчного, это ЛУКОВИЦА 12 п кишки, а в желудке контраста нет.

Вот по ссылке у меня на сайте есть несколько схожих, и не только, наблюдений на эту тему, посмотрите.

http://xray.com.ua/xforum/viewtopic.php?f=36&t=1265

stovbav аватар
Не на сайте
Был на сайте: 2 года 2 месяцев назад
Зарегистрирован: 20.12.2009 - 17:28
Публикации: 7066

Сан Саныч1 wrote:

По первому случаю: Я тоже принял лдпк(???) за затек. Что за операция такая, где ЛДПК подводят к шейке бывшего пузыря? Снимки сделаны с разницей  в 1-2 секунды? Потому как если это ЛДПК, то были бы видны Керкринговы складки в последующем.

Суммация теней и всех делов...ЛДПК никуда не подводят. Снимок один - в положении лежа на спие (сейчас у меня, увы, нет цифровой скопии....), гляньте по ссылке там есть еще несколько схожих случаев. А нисходящее колено просто сократилось в этот момент...

И.Бондаренко аватар
Не на сайте
Был на сайте: 3 дня 11 часов назад
Зарегистрирован: 13.09.2011 - 22:55
Публикации: 9206

Случай №1. Тень луковицы принял бы за затёк. Только смущало слева наличие контраста. Вероятно и дуоденальногастральный рефлюкс имеется?

Случай №2. Перелом крестцовоподвздошного сочленения слева со смещением подвздошной кости. Двусторонний перелом лонных и седалищных костей, разрыв лонного сочленения.

Сан Саныч1 аватар
Не на сайте
Был на сайте: 11 месяцев 2 недели назад
Зарегистрирован: 07.06.2010 - 21:17
Публикации: 2114

ОК, понял.

Хочешь сделать что-то нормально - сделай это сам!

Наталия Васильевна аватар
Не на сайте
Был на сайте: 5 лет 8 месяцев назад
Зарегистрирован: 25.09.2011 - 09:02
Публикации: 754

stovbav wrote:

1. Хирург наоборот, луковицу 12 п кишки принял за затек...потом успокоился и заулыбался)))

2. И крыло подвздошной, и левая половина крестца, и поперечный пятого поясничного - все так и есть... Да, на удивление, мочевой "удержал")))

1. И не один раз.

2. Повезло при такой -то травме. Во "скоко" оценили кровопотерю?

stovbav аватар
Не на сайте
Был на сайте: 2 года 2 месяцев назад
Зарегистрирован: 20.12.2009 - 17:28
Публикации: 7066

Наталия Васильевна wrote:

2. Повезло при такой -то травме. Во "скоко" оценили кровопотерю?

Сожалею, сей момент прошел мимо моего внимания((((