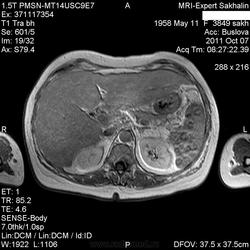
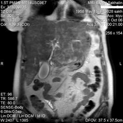
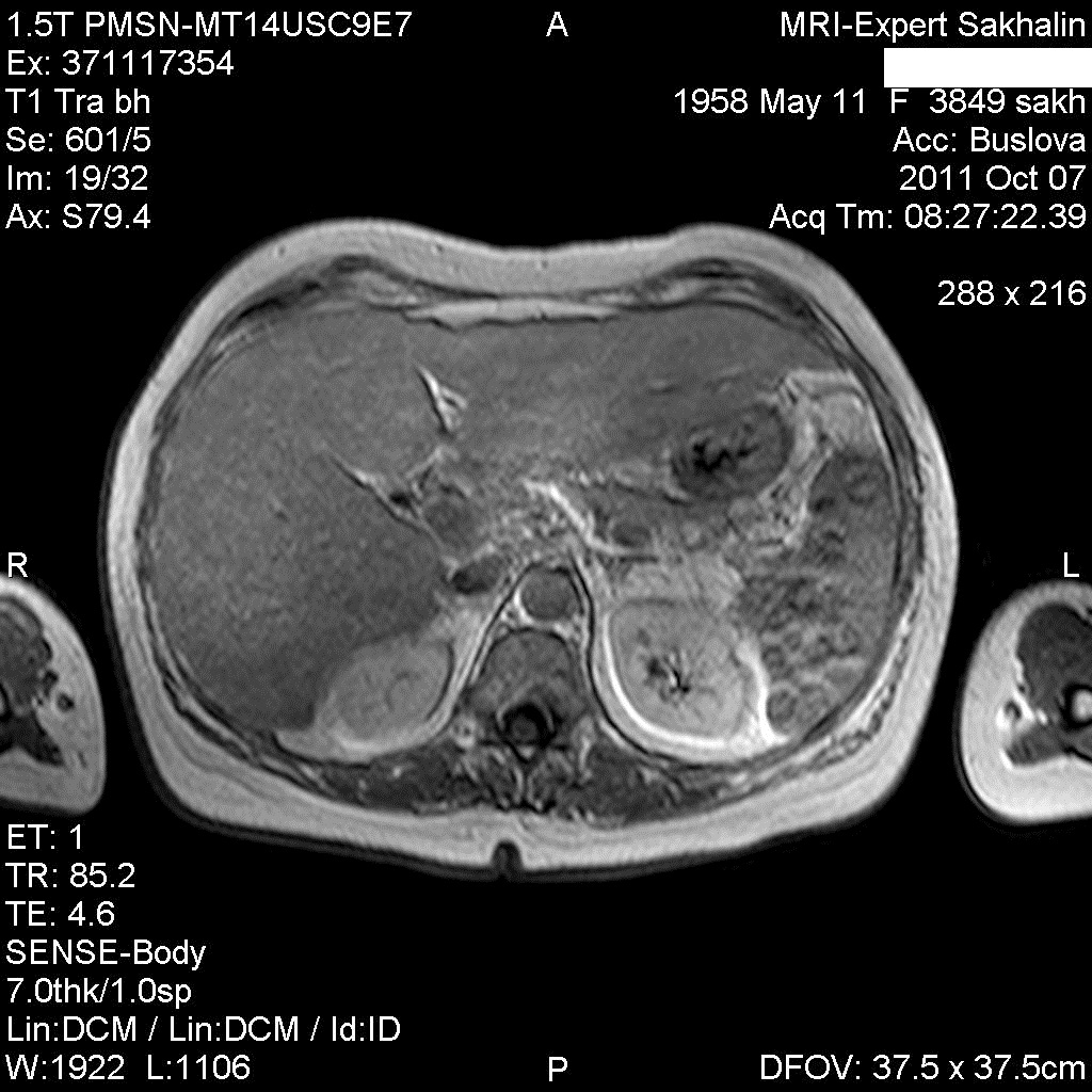
Изменения печени и селезенки.

Сегодня приходила женщина на исследование с жалобами на боли в подреберье, явления диспепсии.

 

Случай моего коллеги.

 

Завтра придет на контрастирование.

Это может быть проявлением системного заболевания?

Постконтраст.

  • https://radiomed.ru/sites/default/files/styles/case_slider_image/public/user/5662/2_5.jpg?itok=Ke1Ec74t
  • https://radiomed.ru/sites/default/files/styles/case_slider_image/public/user/5662/3_6.jpg?itok=wyX-PmMw
  • https://radiomed.ru/sites/default/files/styles/case_slider_image/public/user/5662/4_6.jpg?itok=0E2vByI_
  • https://radiomed.ru/sites/default/files/styles/case_slider_image/public/user/5662/5_3.jpg?itok=iZ_sC8kd
  • https://radiomed.ru/sites/default/files/styles/case_slider_image/public/user/5662/6_2.jpg?itok=MQqm7BBr
  • https://radiomed.ru/sites/default/files/styles/case_slider_image/public/user/5662/7_2.jpg?itok=UZPlsaY6
  • https://radiomed.ru/sites/default/files/styles/case_slider_image/public/user/5662/8_0.jpg?itok=txFqddGa
  • https://radiomed.ru/sites/default/files/styles/case_slider_image/public/user/5662/k1.jpg?itok=xpyCIMLO
  • https://radiomed.ru/sites/default/files/styles/case_slider_image/public/user/5662/k2.jpg?itok=08mpqHwK
  • https://radiomed.ru/sites/default/files/styles/case_slider_image/public/user/5662/k3.jpg?itok=Ab295CWu
  • https://radiomed.ru/sites/default/files/styles/case_slider_image/public/user/5662/k4.jpg?itok=Voq6E1OK
  • https://radiomed.ru/sites/default/files/styles/case_slider_image/public/user/5662/p1.jpg?itok=Y3yBTw86
ID:52462
Евгений Второй аватар
Не на сайте
Был на сайте: 1 месяц 5 часов назад
Зарегистрирован: 13.09.2011 - 22:00
Публикации: 1772

похоже на метастазы, особенно в селезёнке, с центральным распадом. Хотелось бы и Т1 ВИ увидеть.Чётче на них видны были бы видны очаги в печени и вообще метастазы меланомы например могут иметь усиленный сигнал по Т1. а то в печени как будто множественные гипоинтенсивные очаги с отёком, но не совсем уверен, выглядит как просто пёстрая картинка. 

Танюша аватар
Не на сайте
Был на сайте: 14 лет 1 месяц назад
Зарегистрирован: 08.09.2011 - 15:55
Публикации: 175

Подожду контраста, тем более что Евгениий уже дал предположение о МТС с которыми я пока могу согласиться. И если можно побольше анамнеза : были ли операции? Онкологические заболевание? Куда ездила последние 6 мес. И т. п. Или это случайная находка ? Просто заболела и пришла сделала МРТ ?

Helios аватар
Не на сайте
Был на сайте: 7 месяцев 2 недели назад
Зарегистрирован: 06.08.2010 - 15:16
Публикации: 4417

Танюша, завтра после контрастирования уточню еще раз.Доктор сообщил, что пришла сама.Другие заболевания отрицает.Хорошо, если она придет в мою смену завтра или я успею ее застать.

Танюша аватар
Не на сайте
Был на сайте: 14 лет 1 месяц назад
Зарегистрирован: 08.09.2011 - 15:55
Публикации: 175

Меня смущает, что если это метастазы и при таком поражение и селезенки и печени, то почему нет асцита и где лимфоузлы. Или я этого просто на этих изображениях не вижу. хотя всякое может быть.

Helios аватар
Не на сайте
Был на сайте: 7 месяцев 2 недели назад
Зарегистрирован: 06.08.2010 - 15:16
Публикации: 4417

На системное заболевание не похоже?Может быть, у кого-то подобное встречалось?

irena аватар
Не на сайте
Был на сайте: 9 лет 7 месяцев назад
Зарегистрирован: 28.09.2009 - 13:00
Публикации: 289

а не лимфома это ? печень мне видится в  виде узлового поражения  и очаговое поражение селезенки. 

Танюша аватар
Не на сайте
Был на сайте: 14 лет 1 месяц назад
Зарегистрирован: 08.09.2011 - 15:55
Публикации: 175

Helios wrote:

Танюша, завтра после контрастирования уточню еще раз.Доктор сообщил, что пришла сама.Другие заболевания отрицает.Хорошо, если она придет в мою смену завтра или я успею ее застать.

Да и т1 еще по возможности выложите до контраста чтобы сравнить можно было и оценить образования А вообще я такое первый раз вижу

Helios аватар
Не на сайте
Был на сайте: 7 месяцев 2 недели назад
Зарегистрирован: 06.08.2010 - 15:16
Публикации: 4417

А я тем более))))

Ирина, спасибо за мысль о  лимфоме  .

Лимфоузлы  и асцит могут не иметь место при лимфоме?Какой следует ожидать тип какопления?

Евгений Второй аватар
Не на сайте
Был на сайте: 1 месяц 5 часов назад
Зарегистрирован: 13.09.2011 - 22:00
Публикации: 1772

о лимфоме я подумал в первую очередь, но у семелки вроде узлы всегда хоть немного, но с усиленным сигналом по Т2. и опять же нет лимфоузлов.. вроде.

Дугаров Ж.Б-Д. аватар
Не на сайте
Был на сайте: 11 лет 1 месяц назад
Зарегистрирован: 02.12.2010 - 17:37
Публикации: 38

Интересный случай, конечно мне не попадалось еще такого, но в голове первая мысль появилась о MTS. Многое может сказать анамнез, если есть где нибудь первичное поражение, то я больше склоняюсь к MTS. Ну и конечно, хотелось бы посмотреть контрастное исследование.

v1tal аватар
Не на сайте
Был на сайте: 4 года 9 месяцев назад
Зарегистрирован: 07.06.2008 - 19:41
Публикации: 1779

Метастатическое поражение печени и селезенки, характерно для мелко-клеточного рака легкого. 

"Знаешь, у некоторых врачей есть комплекс мессии — им необходимо спасать мир. А у тебя комплекс Рубика — тебе необходимо решать головоломки."

Сергей Нагорный аватар
Не на сайте
Был на сайте: 9 лет 8 месяцев назад
Зарегистрирован: 13.07.2010 - 22:49
Публикации: 1370

лимфому бы я отмёл...

С уважением, С.Н. Нагорный

И.Бондаренко аватар
Не на сайте
Был на сайте: 4 дня 13 часов назад
Зарегистрирован: 13.09.2011 - 22:55
Публикации: 9206

Начинающий. При таком количестве метастазов, больная ещё и сама на исследование пришла.

Helios аватар
Не на сайте
Был на сайте: 7 месяцев 2 недели назад
Зарегистрирован: 06.08.2010 - 15:16
Публикации: 4417

Добавила постконтраст.

Student_Andrew аватар
Не на сайте
Был на сайте: 13 лет 8 месяцев назад
Зарегистрирован: 21.08.2011 - 23:18
Публикации: 106

Так все же, что здесь? Метастазы?

Предложу еще варианты:
Туберкулез
Лейкоз
Саркоидоз
 

Medicus curat, natura sanat

Helios аватар
Не на сайте
Был на сайте: 7 месяцев 2 недели назад
Зарегистрирован: 06.08.2010 - 15:16
Публикации: 4417

Направили на консультацию  к гематологу и онкологу.

Катенёв Валентин Львович аватар
Не на сайте
Был на сайте: 7 лет 2 недели назад
Зарегистрирован: 22.03.2008 - 22:15
Публикации: 54876

v1tal wrote:

Метастатическое поражение печени и селезенки, характерно для мелко-клеточного рака легкого. 

А. снимка лёгких случайно нет?

Helios аватар
Не на сайте
Был на сайте: 7 месяцев 2 недели назад
Зарегистрирован: 06.08.2010 - 15:16
Публикации: 4417

Нет, Валентин Львович, не было.

Сергей Нагорный аватар
Не на сайте
Был на сайте: 9 лет 8 месяцев назад
Зарегистрирован: 13.07.2010 - 22:49
Публикации: 1370

Склоняюсь к мета, при саркоидозе сходной картины не видел, очаги совсем другие.

С уважением, С.Н. Нагорный