Изменения в плечевых суставах.

Пол пациента: 
Тип патологии: 
Область исследования: 
Методы исследования: 

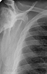
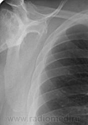
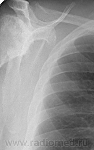
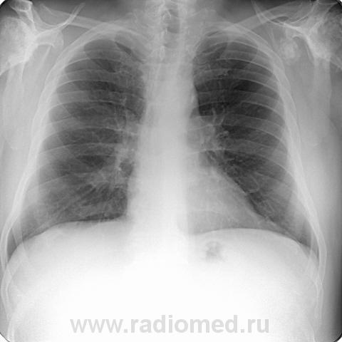
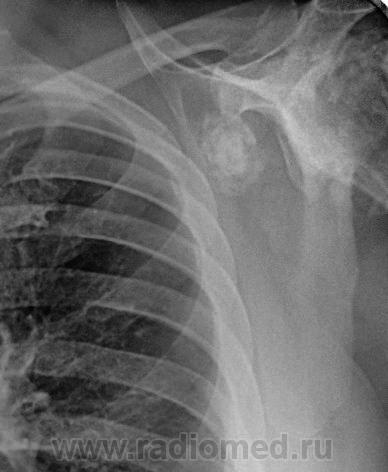
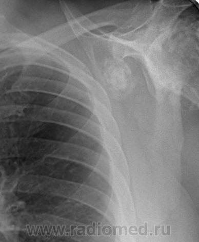
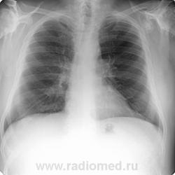
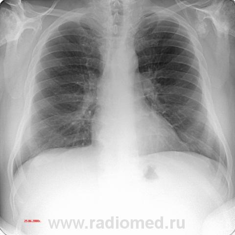
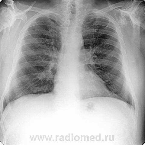
Пациент 60 лет, при прохождении проверочной флюорографии  обнаружены изменения со сторны плечевых суставов.Водитель троллейбуса.Страдает избыточной массой тела, люмбальгией, артороз коленных суставов.Непосредственно жалобы на плечевые суставы в медицинских документах не отражены. Какое будет мнение у коллег? 

 

  • https://radiomed.ru/sites/default/files/styles/case_slider_image/public/user/12/2.mo_.jpg?itok=Eez5rmH0
  • https://radiomed.ru/sites/default/files/styles/case_slider_image/public/user/12/3.mo_.jpg?itok=ALTvVRtO
  • https://radiomed.ru/sites/default/files/styles/case_slider_image/public/user/12/4.mo_.jpg?itok=3_7UkLvq
  • https://radiomed.ru/sites/default/files/styles/case_slider_image/public/user/12/5.mo_.jpg?itok=5eMwkN8c
  • https://radiomed.ru/sites/default/files/styles/case_slider_image/public/user/12/6.mo_.jpg?itok=bZD10z32
  • https://radiomed.ru/sites/default/files/styles/case_slider_image/public/user/12/7.mo_.jpg?itok=73ZXqI8g
  • https://radiomed.ru/sites/default/files/styles/case_slider_image/public/user/12/8.mo_.jpg?itok=MQEa3YX-
  • https://radiomed.ru/sites/default/files/styles/case_slider_image/public/user/12/9.mo_..jpg?itok=YVWr-EWe
  • https://radiomed.ru/sites/default/files/styles/case_slider_image/public/user/12/10.mo_.jpg?itok=zD4lVPGp
  • https://radiomed.ru/sites/default/files/styles/case_slider_image/public/user/12/11.mo_.jpg?itok=onWqPlS5
  • https://radiomed.ru/sites/default/files/styles/case_slider_image/public/user/12/12.mo_.jpg?itok=GGKeRB7P
ID:1854
tatyana аватар
Не на сайте
Был на сайте: 4 года 1 месяц назад
Зарегистрирован: 24.06.2009 - 08:33
Публикации: 2090

а где картинки?

"самоуверенность дилетантов - предмет зависти профессионалов"

Almo аватар
Не на сайте
Был на сайте: 16 часов 5 минут назад
Зарегистрирован: 28.09.2008 - 18:50
Публикации: 8268

Да что-то не закачались(?Ой-ой-ой)

Катенёв Валентин Львович аватар
Не на сайте
Был на сайте: 7 лет 4 недели назад
Зарегистрирован: 22.03.2008 - 22:15
Публикации: 54876

А, Вы попробовали еще раз закачать?

Almo аватар
Не на сайте
Был на сайте: 16 часов 5 минут назад
Зарегистрирован: 28.09.2008 - 18:50
Публикации: 8268

Пациент жалоб со сторны плечевых суставов не предъяляет и не помнит что бы когда- то что то беспокоило.Данных за сирингомиелию нет.

tatyana аватар
Не на сайте
Был на сайте: 4 года 1 месяц назад
Зарегистрирован: 24.06.2009 - 08:33
Публикации: 2090

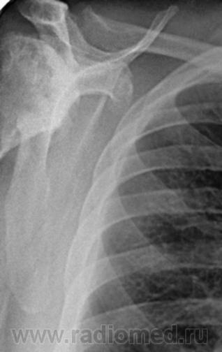
Александр, конечно надо доснять плечевые суставы... Из того, что есть: видимые отделы плечевых костей выглядят довольно симметрично, хотя слева и похуже, думаю - артроз. Весьма настораживает левая лопатка на предмет хондросаркомы

"самоуверенность дилетантов - предмет зависти профессионалов"

Almo аватар
Не на сайте
Был на сайте: 16 часов 5 минут назад
Зарегистрирован: 28.09.2008 - 18:50
Публикации: 8268

Спасибо, Татьяна я так и сделаю.

Almo аватар
Не на сайте
Был на сайте: 16 часов 5 минут назад
Зарегистрирован: 28.09.2008 - 18:50
Публикации: 8268

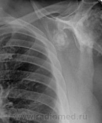
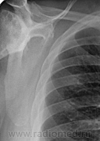
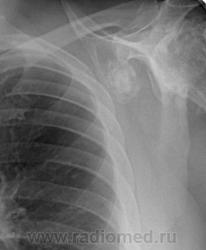
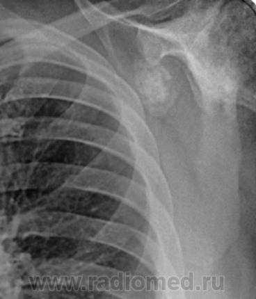
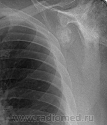
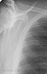
Снимки плечевых суставов.

Приложения: 
Foto010.jpgFoto011.jpgFoto012.jpgFoto013.jpg
tatyana аватар
Не на сайте
Был на сайте: 4 года 1 месяц назад
Зарегистрирован: 24.06.2009 - 08:33
Публикации: 2090

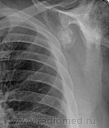
Уважаемый Александр, приходиться признать, что на цифровой рентгенограмме легких изменения плечевых суставов видны лучше, чем на "обрезаных" и недоэкспонированых снимках суставов. По имеющимся данным могу только сказать, что деф. артроз с кистовидной перестройкой структуры есть. Под хрящевой опухолью (возможно - хондросаркома) левой лопатки я имела в виду тень, отмеченую красными стрелками, которая в поле снимка не вошла. Моя вина - в силу специфики работы такие узкоформатные снимки давно были вредными, т.к. очень часто патология остается за пределами снимка. Остается рекомендовать рентгенография левой лопатки в прямой передне-задней и косой проекциях, а лучше - КТ...

 

Приложения: 
4_mo_.jpg

"самоуверенность дилетантов - предмет зависти профессионалов"

Almo аватар
Не на сайте
Был на сайте: 16 часов 5 минут назад
Зарегистрирован: 28.09.2008 - 18:50
Публикации: 8268

Спасибо за комментарии, принимаю к сведению.