К нам обратился наш пользователь с просьбой высказать мнение по поводу своего родственника.

Пол пациента: 
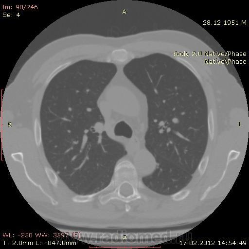
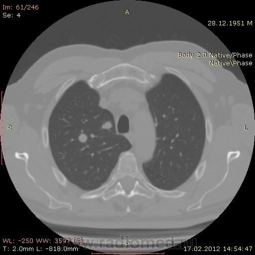
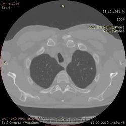
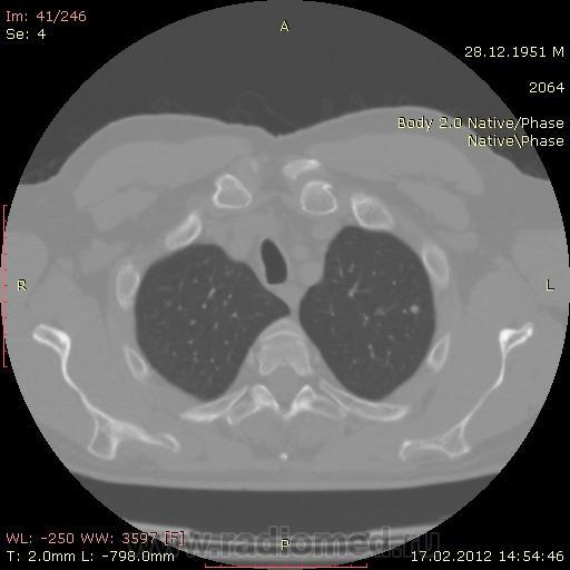
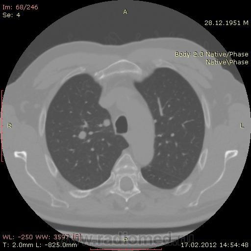
Методы исследования: 

К нам обратился наш пользователь с просьбой высказать мнение по поводу своего родственника.

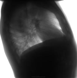
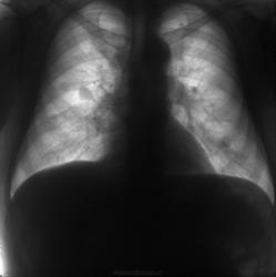
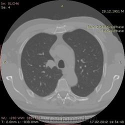
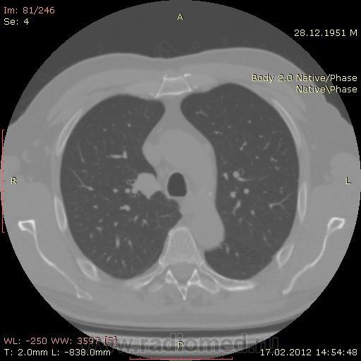
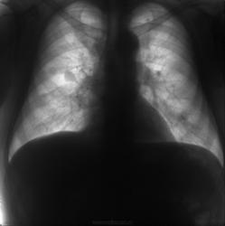
Флюорограммы в динамике. Последние две - прямая и боковая в 2012 г.

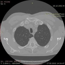
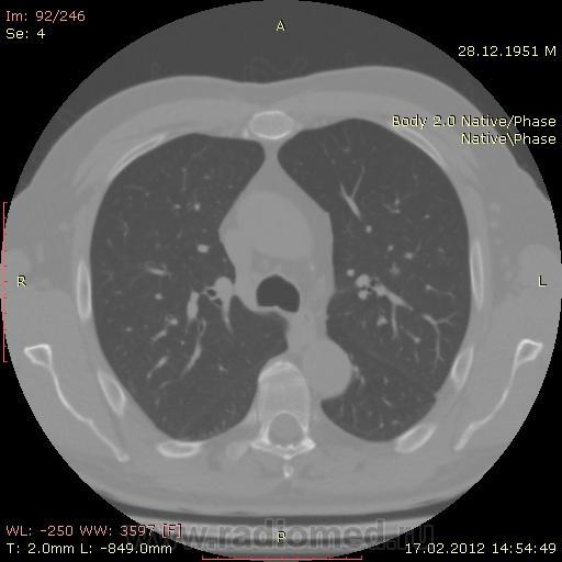
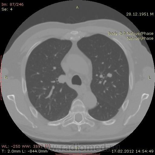
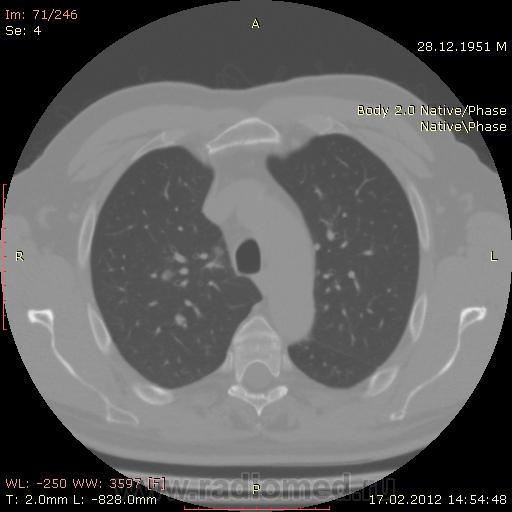
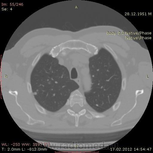
КТ.

  • https://radiomed.ru/sites/default/files/styles/case_slider_image/public/user/12/2_72.jpg?itok=zyq-qCoD
  • https://radiomed.ru/sites/default/files/styles/case_slider_image/public/user/12/3_53.jpg?itok=3F_77XLA
  • https://radiomed.ru/sites/default/files/styles/case_slider_image/public/user/12/4_53.jpg?itok=NdxYioiq
  • https://radiomed.ru/sites/default/files/styles/case_slider_image/public/user/12/5_43.jpg?itok=-oI1sFKG
  • https://radiomed.ru/sites/default/files/styles/case_slider_image/public/user/12/6.flyurografiya_2012_0.jpg?itok=Hpb-8kKU
  • https://radiomed.ru/sites/default/files/styles/case_slider_image/public/user/12/7.flyurografiya_bokovaya_2012_0.jpg?itok=EBtk92LV
  • https://radiomed.ru/sites/default/files/styles/case_slider_image/public/user/12/1.img-0001-00001_9.jpg?itok=yYHWW8Fn
  • https://radiomed.ru/sites/default/files/styles/case_slider_image/public/user/12/2.img-0004-00001_5.jpg?itok=Wll4CCyc
  • https://radiomed.ru/sites/default/files/styles/case_slider_image/public/user/12/3.img-0005-00001_4.jpg?itok=wqSlXrlO
  • https://radiomed.ru/sites/default/files/styles/case_slider_image/public/user/12/4.img-0006-00001_2.jpg?itok=OzrIYOOH
  • https://radiomed.ru/sites/default/files/styles/case_slider_image/public/user/12/5.img-0007-00001_2.jpg?itok=_EE2sZ-m
  • https://radiomed.ru/sites/default/files/styles/case_slider_image/public/user/12/6.img-0008-00001_2.jpg?itok=Xd5Jz1rW
  • https://radiomed.ru/sites/default/files/styles/case_slider_image/public/user/12/7.img-0009-00001_0.jpg?itok=RKKyUoLU
  • https://radiomed.ru/sites/default/files/styles/case_slider_image/public/user/12/8.img-0010-00001_0.jpg?itok=_I67NNeF
  • https://radiomed.ru/sites/default/files/styles/case_slider_image/public/user/12/11.img-0003-00001_6.jpg?itok=pkUpCTgE
  • https://radiomed.ru/sites/default/files/styles/case_slider_image/public/user/12/12.img-0012-00001_1.jpg?itok=P5sPQBw_
  • https://radiomed.ru/sites/default/files/styles/case_slider_image/public/user/12/13.img-0013-00001_1.jpg?itok=qu_NQKZN
  • https://radiomed.ru/sites/default/files/styles/case_slider_image/public/user/12/14.img-0014-00001_1.jpg?itok=cVvmwA6h
  • https://radiomed.ru/sites/default/files/styles/case_slider_image/public/user/12/15.img-0015-00001_1.jpg?itok=Yh1xkZ9M
  • https://radiomed.ru/sites/default/files/styles/case_slider_image/public/user/12/16.img-0016-00001_0.jpg?itok=IH30PeI0
  • https://radiomed.ru/sites/default/files/styles/case_slider_image/public/user/12/17.img-0017-00001_0.jpg?itok=Fikx2ftc
  • https://radiomed.ru/sites/default/files/styles/case_slider_image/public/user/12/18.img-0011-00001_0.jpg?itok=KnQBI95W
ID:19719
Андрей Юрьевич аватар
Не на сайте
Был на сайте: 2 недели 10 часов назад
Зарегистрирован: 16.11.2008 - 22:16
Публикации: 18098

На первый взгляд - метастазы. А так, если родственник, искать выходы на МСКТ.

Андрей Юрьевич

stovbav аватар
Не на сайте
Был на сайте: 2 года 2 месяцев назад
Зарегистрирован: 20.12.2009 - 17:28
Публикации: 7066

Согласен с Андреем Юрьевичем - наиболее вероятно - это метастазы...исключите первичное новообразование почки.

Катенёв Валентин Львович аватар
Не на сайте
Был на сайте: 7 лет 3 недели назад
Зарегистрирован: 22.03.2008 - 22:15
Публикации: 54876

Продолжение.

Приложения: 
img-0018-00001_7.jpgimg-0019-00001_4.jpgimg-0020-00001_4.jpgimg-0021-00001_4.jpgimg-0022-00001_3.jpgimg-0023-00001_2.jpgimg-0024-00001_2.jpgimg-0025-00001_1.jpgimg-0026-00001_0.jpgimg-0027-00001_0.jpgimg-0028-00001_0.jpgimg-0029-00001.jpgimg-0030-00001.jpgimg-0032-00001.jpgimg-0034-00001.jpgimg-0035-00001.jpgimg-0036-00001.jpgimg-0037-00001.jpgimg-0039-00001_0.jpgimg-0040-00001.jpgimg-0041-00001.jpgimg-0042-00001.jpg
Tatyana101 аватар
Не на сайте
Был на сайте: 13 лет 8 месяцев назад
Зарегистрирован: 12.03.2012 - 23:29
Публикации: 18

У моего мужа с 2006 года отмечалось повышения АД. На УЗИ была выявлена киста левой почки. В августе 2007 года была произведена нефректамия по поводу заболевания левой почки. В июле 2008 была произведена холецистекхомия по повду калькулёзного холецестита, камней не было обнаружено, хотя на УЗИ жёлчного пузыря были видны камни.

Периодически его беспокоили и до нефректамии и после боли в левом бедре, боли коленных суставах. Неоднократно лечился у ортопеда.

В феврале 2012 года при очередном флюрографическом обследовании были обнаружены изменения в лёгких. По собственной инициативе было сделано КТ лёгких.

При бронхоскопии изменений в бронхах не выявлено.

Были также произведены лабораторные исследования крови на в двух лабораториях:

-Лаборатория г.Киев Синэво (Synevo),

тип исследования - на онкомаркеры

-Лаборатория клинико-диагностического центра Флорис-С г.Сумы,

тип исследования - на онкомаркеры, туберкулёз.

 

Тесты в двух лабораториях на онко маркеры отрицательные.

 

Так же повышен уровень мочевой кислоты в крови.

 

Была произведена рентгенография левого тазобедренного сустава, где отмечается признаки коксоартроза. Остеопароз в области большого вертела бедренной кости с участком склероза.

Tatyana101 аватар
Не на сайте
Был на сайте: 13 лет 8 месяцев назад
Зарегистрирован: 12.03.2012 - 23:29
Публикации: 18

Добрый день с какой целью проводить МСКТ(мультиспиральная компьютерная томография)?

Моему мужу 60 лет.

У моего мужа с 2006 года отмечалось повышения АД. На УЗИ была выявлена киста левой почки. В августе 2007 года была произведена нефректамия по поводу заболевания левой почки. В июле 2008 была произведена холецистекхомия по повду калькулёзного холецестита, камней не было обнаружено, хотя на УЗИ жёлчного пузыря были видны камни.

Периодически его беспокоили и до нефректамии и после боли в левом бедре, боли коленных суставах. Неоднократно лечился у ортопеда.

В феврале 2012 года при очередном флюрографическом обследовании были обнаружены изменения в лёгких. По собственной инициативе было сделано КТ лёгких.

Катенёв Валентин Львович аватар
Не на сайте
Был на сайте: 7 лет 3 недели назад
Зарегистрирован: 22.03.2008 - 22:15
Публикации: 54876

Tatyana101!

Андрей Юрьевич не знал, что КТ уже сделано. КТ, когда он писал комент, еще выставлено не было.

Tatyana101 аватар
Не на сайте
Был на сайте: 13 лет 8 месяцев назад
Зарегистрирован: 12.03.2012 - 23:29
Публикации: 18

Вопрос?

Может ли в лёгких быть отложение мочевой кислоты так как уровень её повышен 463,3(норма М 200-420мкмоль/л)?

Кальций 1,98(норма 2,02-2,6ммоль/л).

Катенёв Валентин Львович аватар
Не на сайте
Был на сайте: 7 лет 3 недели назад
Зарегистрирован: 22.03.2008 - 22:15
Публикации: 54876

Костное окно.

 

Приложения: 
1.mg-0001-00001_4.jpg2.g-0002-00001_3.jpg3.g-0003-00001_3.jpg4.mg-0004-00001_3.jpg6.g-0006-00001_1.jpg7.g-0007-00001_1.jpg8.mg-0008-00001_1.jpg9.mg-0011-00001.jpg10.mg-0013-00001.jpg11.img-0016-00001.jpg12.mg-0019-00001_0.jpg13.mg-0021-00001_0.jpg14.mg-0022-00001_0.jpg15.mg-0025-00001_0.jpg
Андрей Юрьевич аватар
Не на сайте
Был на сайте: 2 недели 10 часов назад
Зарегистрирован: 16.11.2008 - 22:16
Публикации: 18098

///Флюорограммы в динамике. Последние две - прямая и боковая в 2012 г.///

А первые две пары?

Андрей Юрьевич

tatyana аватар
Не на сайте
Был на сайте: 4 года 1 месяц назад
Зарегистрирован: 24.06.2009 - 08:33
Публикации: 2090

Татьяна, выложите снимки т/бедренного сустава

"самоуверенность дилетантов - предмет зависти профессионалов"

Tatyana101 аватар
Не на сайте
Был на сайте: 13 лет 8 месяцев назад
Зарегистрирован: 12.03.2012 - 23:29
Публикации: 18

Добрый вечер Татьяна. К сожалению в электронном виде рентгена сустава нет. Есть только заключение ортопеда.

Tatyana101 аватар
Не на сайте
Был на сайте: 13 лет 8 месяцев назад
Зарегистрирован: 12.03.2012 - 23:29
Публикации: 18

Заключение рентгенолога по поводу снимка бедра от 24.02.2012:

На Рентгенограмме левого т/бедренного с-ва отмечаютьсяпризнаки коксоартроза. Остеопароз в области большого вертела бедренной кости с участком склероза.

И.Бондаренко аватар
Не на сайте
Был на сайте: 2 дня 4 часа назад
Зарегистрирован: 13.09.2011 - 22:55
Публикации: 9206

Первая мысль была о туберкулёме. Хотелось бы знать когда были первые флюорограммы, кроме последних. А так соглашусь с мнением о мтс, да и расположение характерное.

Vikkur аватар
Не на сайте
Был на сайте: 4 года 8 месяцев назад
Зарегистрирован: 24.09.2009 - 14:34
Публикации: 1749

Согласен с коллегами, внешне вылитые метастазы. Но почему нет контраста? Не соли мочевой кислоты точно. Учитывая анамнез можно думать о неопроцессе почек. 

Рекомендовано МСКТ брюшной полости с контрастом.

Виктор.

Андрей Юрьевич аватар
Не на сайте
Был на сайте: 2 недели 10 часов назад
Зарегистрирован: 16.11.2008 - 22:16
Публикации: 18098

И как всегда:

Vikkur wrote:
... Но почему нет контраста?

Т.е. в Вашем Нью-Гемпшире, уважаемый коллега Vikkur, уж если делают КТ ОГК, то обязательно с контрастом?

А вот это-то:

Vikkur wrote:
... Рекомендовано МСКТ брюшной полости с контрастом.

зачем? Из любви к исследованиям? Пожалейте хотя бы родственников. Они и это-то (абсолютно необходимое) КТ сделали ///По собственной инициативе///, и, сильно подозреваю, за собственные деньги.

Андрей Юрьевич

Чижевский Вадим Алексеевич аватар
Не на сайте
Был на сайте: 3 года 1 месяц назад
Зарегистрирован: 12.11.2008 - 21:21
Публикации: 43

Назовите дату первых двух рентгенограмм. Сделайте рентгенограмму костей таза и УЗИ предстательной железы.

Tatyana101 аватар
Не на сайте
Был на сайте: 13 лет 8 месяцев назад
Зарегистрирован: 12.03.2012 - 23:29
Публикации: 18

одна рентгенограмма 2009 вторя 2012 года.

Tatyana101 аватар
Не на сайте
Был на сайте: 13 лет 8 месяцев назад
Зарегистрирован: 12.03.2012 - 23:29
Публикации: 18

Добрый вечер Вадим Алексеевичь!

Скажите пожалуйста с какой целью делать УЗИ предстательной железы?

Tatyana101 аватар
Не на сайте
Был на сайте: 13 лет 8 месяцев назад
Зарегистрирован: 12.03.2012 - 23:29
Публикации: 18

Vikkur wrote:

Согласен с коллегами, внешне вылитые метастазы. Но почему нет контраста? Не соли мочевой кислоты точно. Учитывая анамнез можно думать о неопроцессе почек. 

Рекомендовано МСКТ брюшной полости с контрастом.

 

Что можно увидеть в брюшной полости на МСКТ с контрастом?

Tatyana101 аватар
Не на сайте
Был на сайте: 13 лет 8 месяцев назад
Зарегистрирован: 12.03.2012 - 23:29
Публикации: 18

И.Бондаренко wrote:

Первая мысль была о туберкулёме. Хотелось бы знать когда были первые флюорограммы, кроме последних. А так соглашусь с мнением о мтс, да и расположение характерное.

 

Добрый вечер!

Одна рентгенограмма была 2009 года вторая 2012 года.

Tatyana101 аватар
Не на сайте
Был на сайте: 13 лет 8 месяцев назад
Зарегистрирован: 12.03.2012 - 23:29
Публикации: 18

Андрей Юрьевич wrote:

///Флюорограммы в динамике. Последние две - прямая и боковая в 2012 г.///

А первые две пары?

А первые две пары 2009 года.

Tatyana101 аватар
Не на сайте
Был на сайте: 13 лет 8 месяцев назад
Зарегистрирован: 12.03.2012 - 23:29
Публикации: 18

stovbav wrote:

Согласен с Андреем Юрьевичем - наиболее вероятно - это метастазы...исключите первичное новообразование почки.

нефроктамия была в 2006 году.

Tatyana101 аватар
Не на сайте
Был на сайте: 13 лет 8 месяцев назад
Зарегистрирован: 12.03.2012 - 23:29
Публикации: 18

Vikkur wrote:

Согласен с коллегами, внешне вылитые метастазы. Но почему нет контраста? Не соли мочевой кислоты точно. Учитывая анамнез можно думать о неопроцессе почек. 

Рекомендовано МСКТ брюшной полости с контрастом.

Одна почка была удалена в 2006 году. В 2009 были сделаны снимки флюрографии на которых были видны метостазы.

Вы имеете ввиду неопроцесс во второй почке?

Андрей Юрьевич аватар
Не на сайте
Был на сайте: 2 недели 10 часов назад
Зарегистрирован: 16.11.2008 - 22:16
Публикации: 18098

Tatyana101 wrote:

Одна почка была удалена в 2006 году. В 2009 были сделаны снимки флюрографии на которых были видны метостазы.

Все так и есть. Надежда на скопления мочевой кислоты в паренхиме легкого, увы необоснованна.

Андрей Юрьевич

Чижевский Вадим Алексеевич аватар
Не на сайте
Был на сайте: 3 года 1 месяц назад
Зарегистрирован: 12.11.2008 - 21:21
Публикации: 43

Tatyana101 wrote:

Добрый вечер Вадим Алексеевичь!

Скажите пожалуйста с какой целью делать УЗИ предстательной железы?

УЗИ и снимки таза для исключения заболевания предстательной железы и его метастазов

Татьяна, причиной метастазов может быть и удаленная в 2006 году почка. 

федя аватар
Не на сайте
Был на сайте: 11 лет 7 месяцев назад
Зарегистрирован: 25.06.2011 - 20:28
Публикации: 260

1)необходимо сделать контроль левого бедра(скорее всего вы имели ввиду тазобедренный сустав )-рентгенографию.2)кт брюшной полости (необходимо исключить изменения после нефро- и холецист эктомии ), а затем можно проанализировать изменения в легких,исследование доработать как говорится в полном масштабе

Vikkur аватар
Не на сайте
Был на сайте: 4 года 8 месяцев назад
Зарегистрирован: 24.09.2009 - 14:34
Публикации: 1749

1. Да в нашем Гемпшире (не такой уж он и нью)), хотя смотря с чем сравнивать) всегда делают с контрастом, смысл - диф. диагностика, а иначе какой смысл? (профиль нашего заведения соответствующий)

2. Вопрос возникает ответный, как Вы собираетесь искать первичный очаг?  Начнут то конечно с УЗИ, но кончиться в итоге КТ. В данном случае возможны и отдаленные метастазы. 

Было бы интресно глянуть снимки (флюорограммы) 2007,08, 10,11

Виктор.

Helios аватар
Не на сайте
Был на сайте: 7 месяцев 4 недели назад
Зарегистрирован: 06.08.2010 - 15:16
Публикации: 4417

Не такой уж это и Гемпшир-вполне приличный по нашим масштабам краевой центр.Для меня так вообще-цивилизация.Обожаю приезжать в Хабаровск.

tatyana аватар
Не на сайте
Был на сайте: 4 года 1 месяц назад
Зарегистрирован: 24.06.2009 - 08:33
Публикации: 2090

Vikkur wrote:

2. Вопрос возникает ответный, как Вы собираетесь искать первичный очаг?  Начнут то конечно с УЗИ, но кончиться в итоге КТ. В данном случае возможны и отдаленные метастазы. 

Виктор Владимирович, первичный очаг в левой почке удалили в 2006г.

"самоуверенность дилетантов - предмет зависти профессионалов"

Катенёв Валентин Львович аватар
Не на сайте
Был на сайте: 7 лет 3 недели назад
Зарегистрирован: 22.03.2008 - 22:15
Публикации: 54876

.

Приложения: 
1.p3190001.jpg2.p3190001a.jpg3p3190001ab.jpg4.p3190001abv.jpg5.p3190002.jpg6.p3190002a.jpg7.p3190002ab.jpg8.p3190003.jpg9.p3190003a.jpg
Vikkur аватар
Не на сайте
Был на сайте: 4 года 8 месяцев назад
Зарегистрирован: 24.09.2009 - 14:34
Публикации: 1749

tatyana wrote:

Виктор Владимирович, первичный очаг в левой почке удалили в 2006г.

Причина нефрэктомии озвучена, как киста, слов о злокачественности процесса я не услышал. 

Думается нужно всё таки выяснить откуда мета, имхо вероятно проблема в брюшной полости.

Виктор.

Tatyana101 аватар
Не на сайте
Был на сайте: 13 лет 8 месяцев назад
Зарегистрирован: 12.03.2012 - 23:29
Публикации: 18

Добрый вечер Виктор Владимирович!

Одну почку (левую) удалили по причине светло-клеточного рака.

stovbav аватар
Не на сайте
Был на сайте: 2 года 2 месяцев назад
Зарегистрирован: 20.12.2009 - 17:28
Публикации: 7066

Tatyana101 wrote:

Одну почку (левую) удалили по причине светло-клеточного рака.

Повторяюсь (мнение озвучил еще до КТ и до Ваших коментов) но это отдаленные по времени метастазы рака почки....увы....и даже если будет найден еще один первичный очаг, то все равно это - метастазы...опять - увы....

Катенёв Валентин Львович аватар
Не на сайте
Был на сайте: 7 лет 3 недели назад
Зарегистрирован: 22.03.2008 - 22:15
Публикации: 54876

Флюорограммы в динамике.

 

Приложения: 
11.21.09.2009.jpg12.1.10.2010_-1.jpg13.1.10.2010.jpg14.14.02.2012_-1.jpg15.14.02.2012.jpg
Tatyana101 аватар
Не на сайте
Был на сайте: 13 лет 8 месяцев назад
Зарегистрирован: 12.03.2012 - 23:29
Публикации: 18

В анамнезе артрит коленных суставов. Лечился антибиотиками.

Tatyana101 аватар
Не на сайте
Был на сайте: 13 лет 8 месяцев назад
Зарегистрирован: 12.03.2012 - 23:29
Публикации: 18

Кто что может сказать по поводу прогрессирования.

Андрей Юрьевич аватар
Не на сайте
Был на сайте: 2 недели 10 часов назад
Зарегистрирован: 16.11.2008 - 22:16
Публикации: 18098

Очевидно, что прогрессирует.

Андрей Юрьевич

Vikkur аватар
Не на сайте
Был на сайте: 4 года 8 месяцев назад
Зарегистрирован: 24.09.2009 - 14:34
Публикации: 1749

Согласен, наиболее вероятно метастазирование. В 2010 на боковушке, чуть ниже корня уже виден метастаз.

Виктор.

Tatyana101 аватар
Не на сайте
Был на сайте: 13 лет 8 месяцев назад
Зарегистрирован: 12.03.2012 - 23:29
Публикации: 18

Спасибо за консультацию!

Tatyana101 аватар
Не на сайте
Был на сайте: 13 лет 8 месяцев назад
Зарегистрирован: 12.03.2012 - 23:29
Публикации: 18

Буду размещать в динамике. Если будет возможность выкладывайте своё мнение.