Пол пациента: Женский пол Тип патологии: Травма Область исследования: Скелетно-мышечная система Методы исследования: Rg Подскажите,пожалуйста,как правильно описать? ID:23973 Вс, 28/10/2012 - 16:21 #1 Dr.Yllich Не на сайте Был на сайте: 1 год 4 месяцев назад Зарегистрирован: 01.05.2011 - 22:52 Публикации: 1196 Вколоченный перелом луча в типичном месте со смещением тыльно на 1/5 диаметра и тыльным угловым. С уважением. Ильич. Вс, 28/10/2012 - 16:28 #2 Tis Не на сайте Был на сайте: 13 лет 9 часов назад Зарегистрирован: 23.10.2012 - 21:00 Публикации: 57 А шиловидный? Вс, 28/10/2012 - 16:31 #3 Андрей Юрьевич Не на сайте Был на сайте: 1 день 6 часов назад Зарегистрирован: 16.11.2008 - 22:16 Публикации: 18098 Р-признаки: оскольчатого внутрисуставного вколоченного перелома дистального метаэпифиза лучевой кости с угловым смещением отломков к тылу, плосткость эпифиза открыта к тылу под углом = ; повреждения дистального лучелоктевого сустава. Андрей Юрьевич Вс, 28/10/2012 - 17:34 #4 Любовь С. Не на сайте Был на сайте: 9 лет 5 месяцев назад Зарегистрирован: 23.12.2010 - 01:58 Публикации: 2324 Затрудняюсь сказать, что же снято... Полкисти и полпредплечья. В-общем, на рентгенограммах этого: оск. в/суст. пер. луча в т/м с разгибательной 200 (?) деформацией оси, незначит. боковым смещение отломков + перелом ШОЛК с/с. "Предоставляя весь смысл и совершенство в распоряжение одного только Бога, вы избавляете себя от бездны хлопот." Джон Уитборн. Вс, 28/10/2012 - 22:58 #5 Катенёв Валенти... Не на сайте Был на сайте: 7 лет 2 недели назад Зарегистрирован: 22.03.2008 - 22:15 Публикации: 54876 Обработанные снимки.Приложения:
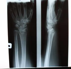
Вколоченный перелом луча в типичном месте со смещением тыльно на 1/5 диаметра и тыльным угловым.
С уважением. Ильич.
А шиловидный?
Р-признаки: оскольчатого внутрисуставного вколоченного перелома дистального метаэпифиза лучевой кости с угловым смещением отломков к тылу, плосткость эпифиза открыта к тылу под углом = ; повреждения дистального лучелоктевого сустава.
Андрей Юрьевич
Затрудняюсь сказать, что же снято... Полкисти и полпредплечья.
В-общем, на рентгенограммах этого: оск. в/суст. пер. луча в т/м с разгибательной 200 (?) деформацией оси, незначит. боковым смещение отломков + перелом ШОЛК с/с.
"Предоставляя весь смысл и совершенство в распоряжение одного только Бога, вы избавляете себя от бездны хлопот." Джон Уитборн.
Обработанные снимки.