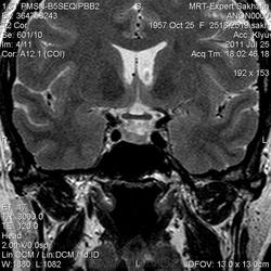
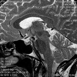
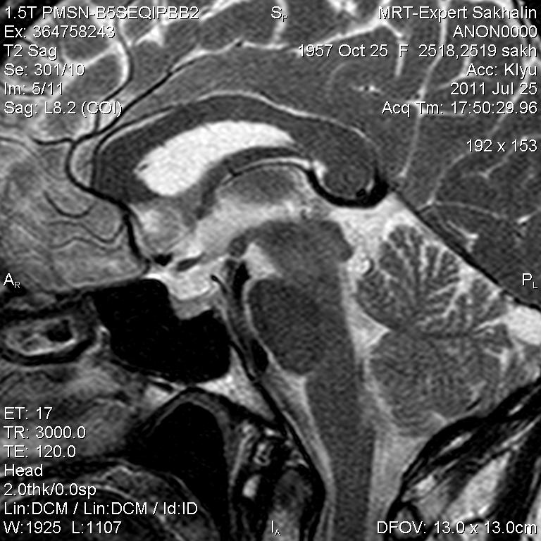
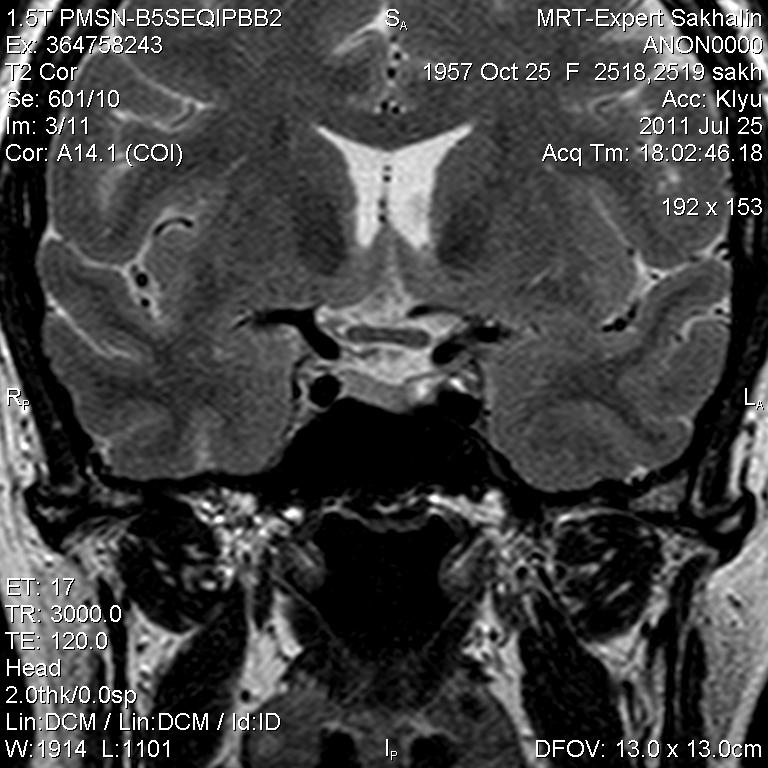
Как мы "динамичим"гипофиз

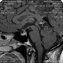
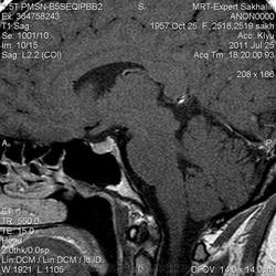
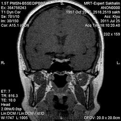
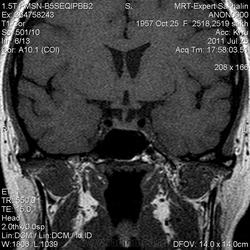
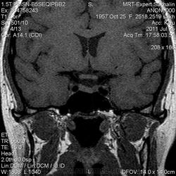
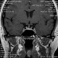
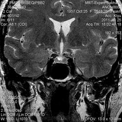
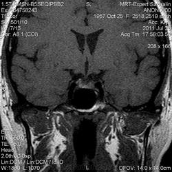
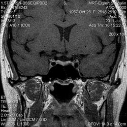
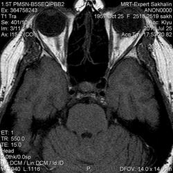
Женщина.6 лет назад выявлено образование левой доли нейрогипофиза.Пришла на контроль.

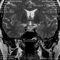
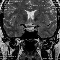
Постконтраст

  • https://radiomed.ru/sites/default/files/styles/case_slider_image/public/user/5662/gip2.jpg?itok=Jk79ZoGf
  • https://radiomed.ru/sites/default/files/styles/case_slider_image/public/user/5662/gip3.jpg?itok=pgLxxcMG
  • https://radiomed.ru/sites/default/files/styles/case_slider_image/public/user/5662/gip5.jpg?itok=vzu8ozxb
  • https://radiomed.ru/sites/default/files/styles/case_slider_image/public/user/5662/gip6.jpg?itok=L9i5wvdt
  • https://radiomed.ru/sites/default/files/styles/case_slider_image/public/user/5662/gip7.jpg?itok=bbGoAMua
  • https://radiomed.ru/sites/default/files/styles/case_slider_image/public/user/5662/gip8.jpg?itok=dZ7_MPcj
  • https://radiomed.ru/sites/default/files/styles/case_slider_image/public/user/5662/gip9.jpg?itok=OI1EOT0P
  • https://radiomed.ru/sites/default/files/styles/case_slider_image/public/user/5662/gip10.jpg?itok=UH8P6pXw
  • https://radiomed.ru/sites/default/files/styles/case_slider_image/public/user/5662/gip_11.jpg?itok=oa9O805e
  • https://radiomed.ru/sites/default/files/styles/case_slider_image/public/user/5662/gip12.jpg?itok=iGAw75sW
  • https://radiomed.ru/sites/default/files/styles/case_slider_image/public/user/5662/gip17.jpg?itok=PHEKVoXw
  • https://radiomed.ru/sites/default/files/styles/case_slider_image/public/user/5662/gip18.jpg?itok=nD0-MplK
  • https://radiomed.ru/sites/default/files/styles/case_slider_image/public/user/5662/gip19.jpg?itok=TaFdPS-v
  • https://radiomed.ru/sites/default/files/styles/case_slider_image/public/user/5662/gip20.jpg?itok=n84J0kpS
  • https://radiomed.ru/sites/default/files/styles/case_slider_image/public/user/5662/gip13.jpg?itok=QzAMFAXn
  • https://radiomed.ru/sites/default/files/styles/case_slider_image/public/user/5662/gip14.jpg?itok=BMhJC0ik
  • https://radiomed.ru/sites/default/files/styles/case_slider_image/public/user/5662/gip15.jpg?itok=ComFoE_B
  • https://radiomed.ru/sites/default/files/styles/case_slider_image/public/user/5662/gip16.jpg?itok=CPGZfSdk
ID:53676
Dr.Drug аватар
Не на сайте
Был на сайте: 7 лет 10 месяцев назад
Зарегистрирован: 01.11.2008 - 20:21
Публикации: 464

Где Т1 до контраста? С чем сравнивать? Аденома нейрогипофиза - не казуистика? Опухоль нейрогипофиза  - обычно глиома, а АДЕНОгипофиза - АДЕНОма. Я прав? Или лев?)))

С уважением, А.В.Коробейников

Helios аватар
Не на сайте
Был на сайте: 7 месяцев 4 недели назад
Зарегистрирован: 06.08.2010 - 15:16
Публикации: 4417

Коллега, Вы, как всегда, правы.

Мне самой показался случай не совсем ясным, но динамик четко показывает участок с отставанием в контрастировании, воронка смещена вправо-о чем  думать бедному начинающему специалисту?

Helios аватар
Не на сайте
Был на сайте: 7 месяцев 4 недели назад
Зарегистрирован: 06.08.2010 - 15:16
Публикации: 4417

Я ошиблась, когда 4-ый раз подряд загружала-сейчас исправлю!

Исправила.

Кстати, немного о внимательности-номера протоколов могут многое подсказать!