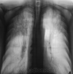
Как всегда, всё началось с "контроля" после флюорографии.

Пол пациента: 
Тип патологии: 
Методы исследования: 

Как всегда, всё началось с "контроля" после флюорографии. Пациента дообследовали согласно стандарту.

Конечно, основная дифференциальная диагностика проводилась между пневмонией и "туберкулёзным поражением".

Но пациент жалоб не предъявляет, клиники - никакой. Коллеги клиницисты - в полной растерянности. Назначили консультацию фтизиатра.

 

 

  • https://radiomed.ru/sites/default/files/styles/case_slider_image/public/user/12/2.Inter_.pnevmon..JPG?itok=ytxKkq_b
  • https://radiomed.ru/sites/default/files/styles/case_slider_image/public/user/12/3.Inter_._pnevmon..jpg?itok=tjQ-b42v
  • https://radiomed.ru/sites/default/files/styles/case_slider_image/public/user/12/4.Inter_.pnevmon..jpg?itok=CxZCqBGK
  • https://radiomed.ru/sites/default/files/styles/case_slider_image/public/user/12/5.Inter_._pnevmon.jpg?itok=sk6NQnTH
  • https://radiomed.ru/sites/default/files/styles/case_slider_image/public/user/12/6.Inter_.pnevmon.jpg?itok=T_mTN5Vo
  • https://radiomed.ru/sites/default/files/styles/case_slider_image/public/user/12/7.Inter_.pnevmon.JPG?itok=sz0Zpq_d
  • https://radiomed.ru/sites/default/files/styles/case_slider_image/public/user/12/8.Inter_.pnevmon..jpg?itok=BhjhDOlW
  • https://radiomed.ru/sites/default/files/styles/case_slider_image/public/user/12/9.Inter_.pnevmon.JPG?itok=b9GxRQzP
  • https://radiomed.ru/sites/default/files/styles/case_slider_image/public/user/12/10.Inter_._pnevmon..jpg?itok=PK0ZmFf_
ID:588
арнольд аватар
Не на сайте
Был на сайте: 2 года 5 дней назад
Зарегистрирован: 22.12.2008 - 16:50
Публикации: 196

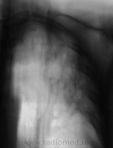
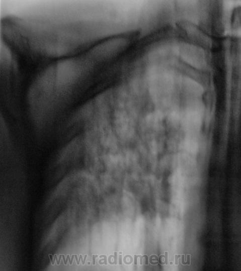
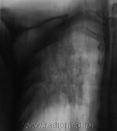
Довольно четкие контуры. Треугольная форма с основанием к периферии. Может тромб\эмбол?

Dat.Dicat.Dedicat.

stovbav аватар
Не на сайте
Был на сайте: 2 года 2 месяцев назад
Зарегистрирован: 20.12.2009 - 17:28
Публикации: 7066

1. Процесс двусторонний.

2. Раз жалоб и клиники нет неплохо было бы в ФГ-архивах и амбулаторной карте покопаться (раз взрослый -должны были какие -никакие следы остаться)

3. Если впервые выявили - выяснить профанамнез!!!.

4. Если раньше процесс зарегистрирован - не сбрасывать со счетов гипоплазию....и сосудистые аномалии.

5. (Для Арнольда) При тромбоэмболии была бы выраженая клиника, уж ее то бы запомнили.

Катенёв Валентин Львович аватар
Не на сайте
Был на сайте: 7 лет 3 недели назад
Зарегистрирован: 22.03.2008 - 22:15
Публикации: 54876

Архив - 2 года тому флюорография - норма.

Профанамнез - нет, не работал и не жил рядом.

Клиники - никакой, "тухлая", малосимптомная. Мы с коллегой фтизиатром, хотя душа и не лежит, "зрим в корень", как ориентирует В.Б. Серов, и потихоньку, полегоньку меняем вектор на фтизиатрический, а что делать?

stovbav аватар
Не на сайте
Был на сайте: 2 года 2 месяцев назад
Зарегистрирован: 20.12.2009 - 17:28
Публикации: 7066

Если с с анамнестическими данными так - однозначно "фтиза", а что клиника "тухлая", так это пока...не сегодня завтра "засеет" все вокруг....и оглянуться не успеем. Пусть фтизиатры берут и лечат, динамика да посевы все покажут.

ЛГ аватар
Не на сайте
Был на сайте: 8 лет 11 месяцев назад
Зарегистрирован: 06.01.2010 - 12:31
Публикации: 3523

Может, пневмосклероз после инфарктной пневмонии? У меня пациентка была с очень схожей картиной в S6, изменения остались и после лечения. Здесь, скорее всего, была кратковременная клиника, может, и не обращался.

Катенёв Валентин Львович аватар
Не на сайте
Был на сайте: 7 лет 3 недели назад
Зарегистрирован: 22.03.2008 - 22:15
Публикации: 54876

Вот, и мы так решили, с учетов ограничеснных возможностей нашей ЦРБ-ушки. Взял коллега фтизиатр "изображения", а также и изображения в динамике, а также необходимый "гарнир", и поехал в головное "фтизное" учреждение. В учреждении проконсультировали и выставили правосторонний инфильтративный. Ну и у нас считай - гора с плеч...

Катенёв Валентин Львович аватар
Не на сайте
Был на сайте: 7 лет 3 недели назад
Зарегистрирован: 22.03.2008 - 22:15
Публикации: 54876

Людмила Григолрьевна, но тут, то процесс двусторонний, хоть преимущественно правосторонний. А на полноформатных изображениях (томограммах), и очаги справа в среднем и нижнем легочных полях дифференцировались.

ЛГ аватар
Не на сайте
Был на сайте: 8 лет 11 месяцев назад
Зарегистрирован: 06.01.2010 - 12:31
Публикации: 3523

Раз очаги, то конечно. Хотя микроэмболы тоже дают очаговоподобность, могут быть и двусторонними. Не выполнялась КТ?

Катенёв Валентин Львович аватар
Не на сайте
Был на сайте: 7 лет 3 недели назад
Зарегистрирован: 22.03.2008 - 22:15
Публикации: 54876

Вы не обижайтесь, А что даст КТ в отличии от "линейки"?

 

Катенёв Валентин Львович аватар
Не на сайте
Был на сайте: 7 лет 3 недели назад
Зарегистрирован: 22.03.2008 - 22:15
Публикации: 54876

Пациента госпитализировали в областное противотуберкулёзное учреждение. Пролечили в течение месяца.... и выписали.

Произведен контроль после лечения. Заключение рентгенолога данного учреждения - "Со стороны органов грудной полости патологических изменений не выявлено".