Какие мнения будут по "флюшке"?

Пол пациента: 
Тип патологии: 
Методы исследования: 

Какие мнения будут по "флюшке"?

Томограммы.

Профилактическая флюорография через 1 год.

  • https://radiomed.ru/sites/default/files/styles/case_slider_image/public/user/12/1.p5160006.jpg?itok=SCixwav6
  • https://radiomed.ru/sites/default/files/styles/case_slider_image/public/user/12/2.p5160007.jpg?itok=CKPJxzZM
  • https://radiomed.ru/sites/default/files/styles/case_slider_image/public/user/12/3.p5160008.jpg?itok=kt3nwBtA
  • https://radiomed.ru/sites/default/files/styles/case_slider_image/public/user/12/1.p5160002.jpg?itok=guFZSLmZ
  • https://radiomed.ru/sites/default/files/styles/case_slider_image/public/user/12/2.p5160002a.jpg?itok=xAPX3nFz
  • https://radiomed.ru/sites/default/files/styles/case_slider_image/public/user/12/3.p5160003.jpg?itok=f6cM27vk
  • https://radiomed.ru/sites/default/files/styles/case_slider_image/public/user/12/4.p5160003a.jpg?itok=XIYGblVD
ID:21315
Mila85 аватар
Не на сайте
Был на сайте: 3 года 1 месяц назад
Зарегистрирован: 15.03.2012 - 16:59
Публикации: 1790

Вроде за правой ключицей очаги, ну и корень справа какой-то некрасивый

Вылегжанина Юлия Анатольевна аватар
Не на сайте
Был на сайте: 11 лет 5 месяцев назад
Зарегистрирован: 15.05.2012 - 22:09
Публикации: 55

Доснять задний снимок верхушек и левый бок(тень за 1 ребром? )

Вылегжанина Юлия

Катенёв Валентин Львович аватар
Не на сайте
Был на сайте: 7 лет 2 недели назад
Зарегистрирован: 22.03.2008 - 22:15
Публикации: 54876

Решили сделать томограммы.

Приложения: 
1.p5160006.jpg2.p5160007.jpg3.p5160008.jpg
Гриша Хата аватар
Не на сайте
Был на сайте: 10 лет 1 неделя назад
Зарегистрирован: 09.02.2011 - 20:40
Публикации: 665

А что решили после томограмм?

И.Бондаренко аватар
Не на сайте
Был на сайте: 8 часов 57 минут назад
Зарегистрирован: 13.09.2011 - 22:55
Публикации: 9206

Похоже на очаг Гона. Или просто кальцинат

Побединский Михаил Александрович аватар
Не на сайте
Был на сайте: 7 лет 9 месяцев назад
Зарегистрирован: 25.12.2010 - 23:44
Публикации: 696

И.Бондаренко wrote:

Похоже на очаг Гона. Или просто кальцинат

+1

Катенёв Валентин Львович аватар
Не на сайте
Был на сайте: 7 лет 2 недели назад
Зарегистрирован: 22.03.2008 - 22:15
Публикации: 54876

Побединский Михаил Александрович wrote:

И.Бондаренко wrote:

Похоже на очаг Гона. Или просто кальцинат

+1

А где очаг Гона, или кальцинат?

Катенёв Валентин Львович аватар
Не на сайте
Был на сайте: 7 лет 2 недели назад
Зарегистрирован: 22.03.2008 - 22:15
Публикации: 54876

Гриша Хата wrote:

А что решили после томограмм?

Смущение вызвал 11 срез

Nikolas аватар
Не на сайте
Был на сайте: 1 месяц 3 недели назад
Зарегистрирован: 21.12.2010 - 20:37
Публикации: 4559

перенес осложненно протекавший комплекс Ранке справа, т.к.. четко виден очаг Гона, петрификаты в корнях, очаги Симона в верхушках легких. Белая стрелка - мелкая туберкулема с распадом, красный круг - мягкий очаг слева. Только в ПТД! И он Вам поможет.

Приложения: 
2.p5160007.jpg
Nikolas аватар
Не на сайте
Был на сайте: 1 месяц 3 недели назад
Зарегистрирован: 21.12.2010 - 20:37
Публикации: 4559

См. стрелки.

Приложения: 
3.p5160008.jpg
Катенёв Валентин Львович аватар
Не на сайте
Был на сайте: 7 лет 2 недели назад
Зарегистрирован: 22.03.2008 - 22:15
Публикации: 54876

Интересно!

Интересно, что ПТД нам поможет!

Катенёв Валентин Львович аватар
Не на сайте
Был на сайте: 7 лет 2 недели назад
Зарегистрирован: 22.03.2008 - 22:15
Публикации: 54876

Конечно, мы направили к фтизиатру, и конечно рекомендовали..., и мокроту на всякую "гадость" рекомендовали исследоваать, но фтизиатр не возбудился...

По не проверенным данным "парагвайской разведки" дошли слухи, что у начмеда обсуждался серьёзно вопрос по поводу нашей перестраховки и гипердиагностики. Конечно, шкуру не сняли, но слушок пополз..., но дело сделано...

Выходит проще было написать норму...

Nikolas аватар
Не на сайте
Был на сайте: 1 месяц 3 недели назад
Зарегистрирован: 21.12.2010 - 20:37
Публикации: 4559

в#9. Фтизиатры ошиблись.  Я так надеялся на них. Ждем продолжение в динамике.

Катенёв Валентин Львович аватар
Не на сайте
Был на сайте: 7 лет 2 недели назад
Зарегистрирован: 22.03.2008 - 22:15
Публикации: 54876

Фтизиатр промолчал, кивая головой, но вот начмед задал вопрос, мол де МЫ (оне) послали этого пациента в соседний район и ему сделали тамочки "флюшку" (после томографии) и написали мол "норму", и как это может быть "господин рентгенолог"?

Катенёв Валентин Львович аватар
Не на сайте
Был на сайте: 7 лет 2 недели назад
Зарегистрирован: 22.03.2008 - 22:15
Публикации: 54876

Я, конечно, посыпав себе голову пеплом, и сославшись на убогость нашу "признал"...

На этом и закончилась первая часть того Марлизонского балета...

и началась вторая часть, не менее интересная

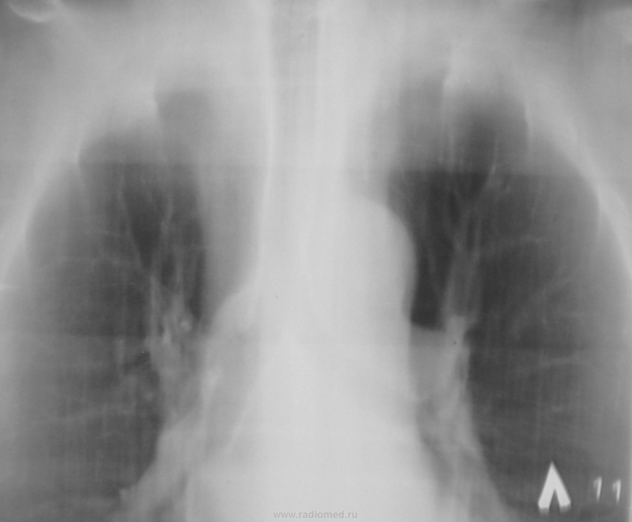
НО через год гражданин был направлен на очередную профилактическую флюшку..., и с левой верхушки "тихо" улыбаясь на нас глянула "фокусная тень"...

Приложения: 
1.p5160002.jpg2.p5160002a.jpg3.p5160003.jpg4.p5160003a.jpg
Интерн2006 аватар
Не на сайте
Был на сайте: 7 лет 1 месяц назад
Зарегистрирован: 16.09.2011 - 19:58
Публикации: 65

Такие ситуации бывают потоянно и только четкий,большой, всем (даже начмеду), хорошо виден "очаг" подвергается лечению...

А верхний етаж средостения таким должен быть?

Nikolas аватар
Не на сайте
Был на сайте: 1 месяц 3 недели назад
Зарегистрирован: 21.12.2010 - 20:37
Публикации: 4559

у меня слева пропуск. Надо быть более внимательным и тщательно все анализировать. Не делать слишком поспешный вывод. Спасибо за хороший урок уважаемый Валентин Львович! Радиомед - современный сайт дистанционного обучения.

Катенёв Валентин Львович аватар
Не на сайте
Был на сайте: 7 лет 2 недели назад
Зарегистрирован: 22.03.2008 - 22:15
Публикации: 54876

Интерн2006 wrote:

Такие ситуации бывают потоянно и только четкий,большой, всем (даже начмеду), хорошо виден "очаг" подвергается лечению...

А верхний етаж средостения таким должен быть?

В общем я с вами согласен и Вы сказали золотые слова - "хорошо виден "очаг" подвергается лечению..."

Катенёв Валентин Львович аватар
Не на сайте
Был на сайте: 7 лет 2 недели назад
Зарегистрирован: 22.03.2008 - 22:15
Публикации: 54876

Nikolas wrote:

 Спасибо за хороший урок уважаемый Валентин Львович! Радиомед - современный сайт дистанционного обучения.

"Спасибо" - рано..., это только вторая часть Марлизонского балета, который танцуется на значительной части нашего Отечества...

Катенёв Валентин Львович аватар
Не на сайте
Был на сайте: 7 лет 2 недели назад
Зарегистрирован: 22.03.2008 - 22:15
Публикации: 54876

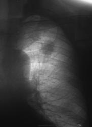
Были произведены томограммы.

Приложения: 
1.p5160009.jpg2.p5160011.jpg3.p5160012.jpg4.p5160012a.jpg5.p5160013.jpg6.p5160014.jpg7.p5160014a.jpg8.p5160015.jpg9.p5160015a.jpg
Наталия Васильевна аватар
Не на сайте
Был на сайте: 5 лет 9 месяцев назад
Зарегистрирован: 25.09.2011 - 09:02
Публикации: 754

А что начмед? Глупо, конечно, спрашивать. Вот только смущает выраженная дорожка к корню-ТВС не отметаю, но вот как бы что посерьезнее не вышло на первый план.

Катенёв Валентин Львович аватар
Не на сайте
Был на сайте: 7 лет 2 недели назад
Зарегистрирован: 22.03.2008 - 22:15
Публикации: 54876

 

И, сразу возник вопрос по поводу этиологии. Что «это» классический «туберкулёзный» инфильтрат (желтые стрелки) с «дорожкой Его Величества» (красные стрелки), возможно «бронх» окруженный муфтой атрибутики, или периферический рак с «раковой дорожкой»?

На следующем срезе также возникли вопросы..., плотный центр инфильтрата (зеленые стрелки), что это? Ареол вокруг (голубые стрелки) – что это, сам процесс, или парапроцесс?

Приложения: 
1.chto_._4.p5160012a.jpg1.strelki....jpg2.chto_.6.p5160014.jpg2..strelki...jpg3.chto_.9.p5160015a.jpg3._strelki..jpg
Наталия Васильевна аватар
Не на сайте
Был на сайте: 5 лет 9 месяцев назад
Зарегистрирован: 25.09.2011 - 09:02
Публикации: 754

Все верно. Но ширина дорожки все таки смущает. Хотя можно быть богатым и счастливым и иметь и то, и другое. На фоне старого очага с поражением окружающей ткани могут появиться атипичные клетки. На 12 скане на фоне среза ребра, по-моему, и связь с плеврой тоже есть?

Катенёв Валентин Львович аватар
Не на сайте
Был на сайте: 7 лет 2 недели назад
Зарегистрирован: 22.03.2008 - 22:15
Публикации: 54876

Да связь с плеврой имеется, Вы правы.

И "колебания" наши были значительны, так как бронхоскопия в нашей ЦРБ-ушке не делается, да и микроскопия "стекол" весьма на приземленном уровне.

Mila85 аватар
Не на сайте
Был на сайте: 3 года 1 месяц назад
Зарегистрирован: 15.03.2012 - 16:59
Публикации: 1790

По-моему это периферический рак,  я конечно туберкулезных инфильтратов немного видела и могу ошибаться, но должна быть очаговость, а здесь интенсивная круглая тень с дорожкой к корню и связью с плеврой

Катенёв Валентин Львович аватар
Не на сайте
Был на сайте: 7 лет 2 недели назад
Зарегистрирован: 22.03.2008 - 22:15
Публикации: 54876

Спасибо за коммент.

А, что Вас толкнуло, именно в сторону рака, интуиция, или что другое? Такая "картинка" вполне может быть и при инфильтративном туберкулёзе?

Петрович аватар
Не на сайте
Был на сайте: 7 лет 2 месяцев назад
Зарегистрирован: 22.03.2009 - 01:13
Публикации: 3908

От предыдущих томограммам 1 год прошёл или больше?

Если 1 год, то вероятнее туберкулёзный инфильтрат. К тому же и структура и плевральная реакция.

Неоднозначно всё

Катенёв Валентин Львович аватар
Не на сайте
Был на сайте: 7 лет 2 недели назад
Зарегистрирован: 22.03.2008 - 22:15
Публикации: 54876

Да, прошел год и 2 месяца.

Mila85 аватар
Не на сайте
Был на сайте: 3 года 1 месяц назад
Зарегистрирован: 15.03.2012 - 16:59
Публикации: 1790

Катенёв Валентин Львович wrote:

А, что Вас толкнуло, именно в сторону рака, интуиция, или что другое? Такая "картинка" вполне может быть и при инфильтративном туберкулёзе?

Тень сравнительно однородная, широкая дорожка к корню. На некоторый срезах виден как будто более интенсивный центр, что наталкивает на мысль о том, что это опухоль и окружающий ее участок неспецифического воспаления. Ну и конечно за все свое время учебы и работы раков видела больше, а туберкулеза меньше.. smiley А туберкулезный инфильтрат мне представляется неоднородным, сливающимся из отдельных очажков, возможно с отсевом в окружающую ткань

Катенёв Валентин Львович аватар
Не на сайте
Был на сайте: 7 лет 2 недели назад
Зарегистрирован: 22.03.2008 - 22:15
Публикации: 54876

Конечно, в протоколе, в выводах были отмечены два процесса, нуждающиеся в диф диагностике - туберкулёз и периферический рак. И, пациент  направился к клиницистам...

Катенёв Валентин Львович аватар
Не на сайте
Был на сайте: 7 лет 2 недели назад
Зарегистрирован: 22.03.2008 - 22:15
Публикации: 54876

Но прошел еще один год и пациент был направлен на профилактическую флюорографию...

Приложения: 
1.p5160004.jpg2.p5160005a.jpg3.p5160032a.jpg
Tijl аватар
Не на сайте
Был на сайте: 11 лет 1 месяц назад
Зарегистрирован: 08.04.2012 - 16:35
Публикации: 17

Вот так и росло оно себе год и не обследовалось где-то за пределами района?

Катенёв Валентин Львович аватар
Не на сайте
Был на сайте: 7 лет 2 недели назад
Зарегистрирован: 22.03.2008 - 22:15
Публикации: 54876

Почему не обследовался? Пациент в течение трех лет, раз в год проходил профилактическую флюорографию, и каждый раз дообследовался, и каждый раз "звонил колокол".

Nikolas аватар
Не на сайте
Был на сайте: 1 месяц 3 недели назад
Зарегистрирован: 21.12.2010 - 20:37
Публикации: 4559

была целенаправлена или находка на слое 11см была случайной? Жду.

Nikolas аватар
Не на сайте
Был на сайте: 1 месяц 3 недели назад
Зарегистрирован: 21.12.2010 - 20:37
Публикации: 4559

на сайте для врача, как подготовка к зачету. При серьезном и вдумчивом отношении врач делает мощный рывок  к профессиональной компетенции. Пассивное созерцание и потребление того , что делают другие дает мало толку. Таковы мои мысли при оценке представленного наблюдения. Спасибо.

Катенёв Валентин Львович аватар
Не на сайте
Был на сайте: 7 лет 2 недели назад
Зарегистрирован: 22.03.2008 - 22:15
Публикации: 54876

Оптимальным был 12 срез (лучше в условиях позитива). Сильное сомнение вызвало более плотное "ядро", а то, что вокруг предположили, как парапроцесс, да и очагов, в окружающей ткани не было найдено, даже на срезах.