Пол пациента: Женский пол Тип патологии: Другое Область исследования: Грудная клетка и верхние дыхательные пути Методы исследования: Rg Какие мнения будут по "флюшке"? https://radiomed.ru/sites/default/files/styles/case_slider_image/public/user/12/2..201201010137.jpg?itok=oFTWUo0a ID:36784 Чт, 03/04/2014 - 09:44 #1 zolotomoe Не на сайте Был на сайте: 9 лет 1 день назад Зарегистрирован: 10.10.2013 - 11:22 Публикации: 63 Здравствуйте!выпот по добавочной щели справа?уменьшение нижней доли справа?доснять правый бок Чт, 03/04/2014 - 10:45 #2 Doc84 Не на сайте Был на сайте: 11 лет 5 месяцев назад Зарегистрирован: 05.03.2014 - 15:21 Публикации: 209 Возможна гиповентиляция правого легкого Чт, 03/04/2014 - 13:24 #3 Dr. GreenThumb Не на сайте Был на сайте: 2 года 2 месяцев назад Зарегистрирован: 29.05.2010 - 10:16 Публикации: 239 Верхушка справа не красивая. И какая то тяжистость в н/доле. The time has come, the rules have changed... Чт, 03/04/2014 - 14:28 #4 Mila85 Не на сайте Был на сайте: 3 года 1 месяц назад Зарегистрирован: 15.03.2012 - 16:59 Публикации: 1790 Справа прозрачность снижена, и правый купол диафрагмы слишком высоко, присоединяюсь к мнениям о гиповентиляции Чт, 03/04/2014 - 14:38 #5 Сергей Кузьминов Не на сайте Был на сайте: 1 год 2 недели назад Зарегистрирован: 06.10.2012 - 15:51 Публикации: 11813 Согласен со всем вышеизложенным.Для начала нужен бок. Чт, 03/04/2014 - 17:05 #6 lupan Не на сайте Был на сайте: 6 лет 10 месяцев назад Зарегистрирован: 07.01.2010 - 17:17 Публикации: 1406 Добавил бы к вышеизложенному следующее: 1. Впечатление "закаканности" правой верхушки. 2. Около горизонтальной щели справа толи фокус, толи инфильтрация. 3. Обратил бы внимание на левое легкое. Возможна вторая ст. нарушения бронхиальной проходимости (гипервентиляция). Вообще, уважаемый В.Л. а) понимает некорректность своего вопроса без клиники, анамнеза и т.п. б) наверняка придерживает в рукаве и боковухи и ЛТГ. Великое преймущество врача заключается в том, что он не обязан следовать собственным советам. ( А. Кристи) Чт, 03/04/2014 - 20:13 #7 гана Не на сайте Был на сайте: 4 года 1 месяц назад Зарегистрирован: 12.01.2011 - 09:43 Публикации: 84 присоединяюсь к вышеизложенному,+слева в костодиафрагмальном синусе уплотнена плевра(или издержки снимка?), немного смущает *пуговица *аорты Чт, 03/04/2014 - 21:45 #8 И.Бондаренко Не на сайте Был на сайте: 42 минуты 44 секунды назад Зарегистрирован: 13.09.2011 - 22:55 Публикации: 9206 Что-то похожее на инфильтрацию в верхушке справа - томография. Там же дисковидный ателетаз. Интересный ход добавочной щели. Ждёт боковой и томограммы Чт, 03/04/2014 - 22:43 #9 Дмитрий Волегов Не на сайте Был на сайте: 3 года 6 месяцев назад Зарегистрирован: 22.05.2013 - 00:32 Публикации: 1148 На мой взгляд. легочный рисунок усилен, корни расширены. Мнение о саркоидозе, пневмокониозе. С Уважением, Дмитрий. Пт, 04/04/2014 - 08:29 #10 Катенёв Валенти... Не на сайте Был на сайте: 7 лет 2 недели назад Зарегистрирован: 22.03.2008 - 22:15 Публикации: 54876 lupan wrote: а) понимает некорректность своего вопроса без клиники, анамнеза и т.п. Вы правы, но клиники нет. Пт, 04/04/2014 - 08:33 #11 Катенёв Валенти... Не на сайте Был на сайте: 7 лет 2 недели назад Зарегистрирован: 22.03.2008 - 22:15 Публикации: 54876 Через полтора года...Приложения: Пт, 04/04/2014 - 10:49 #12 zolotomoe Не на сайте Был на сайте: 9 лет 1 день назад Зарегистрирован: 10.10.2013 - 11:22 Публикации: 63 Мезотелиома!? Пт, 04/04/2014 - 11:58 #13 Mila85 Не на сайте Был на сайте: 3 года 1 месяц назад Зарегистрирован: 15.03.2012 - 16:59 Публикации: 1790 А после первой ФЛГ больной дообследовался? Пт, 04/04/2014 - 12:15 #14 Dr. GreenThumb Не на сайте Был на сайте: 2 года 2 месяцев назад Зарегистрирован: 29.05.2010 - 10:16 Публикации: 239 Пациент полтора года выращивал это ходил? По первым ФЛГ норму поставили? The time has come, the rules have changed... Пт, 04/04/2014 - 15:09 #15 Сергей Кузьминов Не на сайте Был на сайте: 1 год 2 недели назад Зарегистрирован: 06.10.2012 - 15:51 Публикации: 11813 Выросло,однако. Пнд, 07/04/2014 - 08:31 #16 Катенёв Валенти... Не на сайте Был на сайте: 7 лет 2 недели назад Зарегистрирован: 22.03.2008 - 22:15 Публикации: 54876 Mila85 wrote: А после первой ФЛГ больной дообследовался? Нет Пнд, 07/04/2014 - 08:31 #17 Катенёв Валенти... Не на сайте Был на сайте: 7 лет 2 недели назад Зарегистрирован: 22.03.2008 - 22:15 Публикации: 54876 Dr. GreenThumb wrote: По первым ФЛГ норму поставили? Нет. Просто гражданин исчез. Пнд, 07/04/2014 - 14:23 #18 Сергей Кузьминов Не на сайте Был на сайте: 1 год 2 недели назад Зарегистрирован: 06.10.2012 - 15:51 Публикации: 11813 Вот так оно и бывает.Потом и разбираемся,кто виноват и что делать.
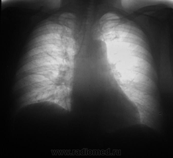
Здравствуйте!выпот по добавочной щели справа?уменьшение нижней доли справа?доснять правый бок
Возможна гиповентиляция правого легкого
Верхушка справа не красивая. И какая то тяжистость в н/доле.
The time has come, the rules have changed...
Справа прозрачность снижена, и правый купол диафрагмы слишком высоко, присоединяюсь к мнениям о гиповентиляции
Согласен со всем вышеизложенным.Для начала нужен бок.
Добавил бы к вышеизложенному следующее:
1. Впечатление "закаканности" правой верхушки.
2. Около горизонтальной щели справа толи фокус, толи инфильтрация.
3. Обратил бы внимание на левое легкое. Возможна вторая ст. нарушения бронхиальной проходимости (гипервентиляция).
Вообще, уважаемый В.Л.
а) понимает некорректность своего вопроса без клиники, анамнеза и т.п.
б) наверняка придерживает в рукаве и боковухи и ЛТГ.
Великое преймущество врача заключается в том, что он не обязан следовать собственным советам. ( А. Кристи)
присоединяюсь к вышеизложенному,+слева в костодиафрагмальном синусе уплотнена плевра(или издержки снимка?), немного смущает *пуговица *аорты
Что-то похожее на инфильтрацию в верхушке справа - томография.
Там же дисковидный ателетаз.
Интересный ход добавочной щели.
Ждёт боковой и томограммы
На мой взгляд. легочный рисунок усилен, корни расширены. Мнение о саркоидозе, пневмокониозе.
С Уважением, Дмитрий.
Вы правы, но клиники нет.
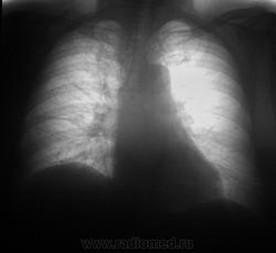
Через полтора года...
Мезотелиома!?
А после первой ФЛГ больной дообследовался?
Пациент полтора года выращивал это ходил? По первым ФЛГ норму поставили?
The time has come, the rules have changed...
Выросло,однако.
Нет
Нет. Просто гражданин исчез.
Вот так оно и бывает.Потом и разбираемся,кто виноват и что делать.