Какие мнения будут по "флюшке" уважаемые коллеги?

Пол пациента: 
Тип патологии: 
Методы исследования: 

Какие мнения будут по "флюшке" уважаемые коллеги?

ID:26087
Mila85 аватар
Не на сайте
Был на сайте: 3 года 1 месяц назад
Зарегистрирован: 15.03.2012 - 16:59
Публикации: 1790

Левое легкое смотрится слишком воздушным, верхушки легких тоже не очень нравятся

lupan аватар
Не на сайте
Был на сайте: 6 лет 10 месяцев назад
Зарегистрирован: 07.01.2010 - 17:17
Публикации: 1406

1. Просмотреть архив.

2. Поговорить с клиентом.

3. Вывихнуть левую руку лаборанту за такой режим съемки.

Великое преймущество врача заключается в том, что он не обязан следовать собственным советам. ( А. Кристи)

Катенёв Валентин Львович аватар
Не на сайте
Был на сайте: 7 лет 2 недели назад
Зарегистрирован: 22.03.2008 - 22:15
Публикации: 54876

lupan wrote:

3. Вывихнуть левую руку лаборанту за такой режим съемки.

Аппарат работает в режиме "автомат"

Это и есть архив...

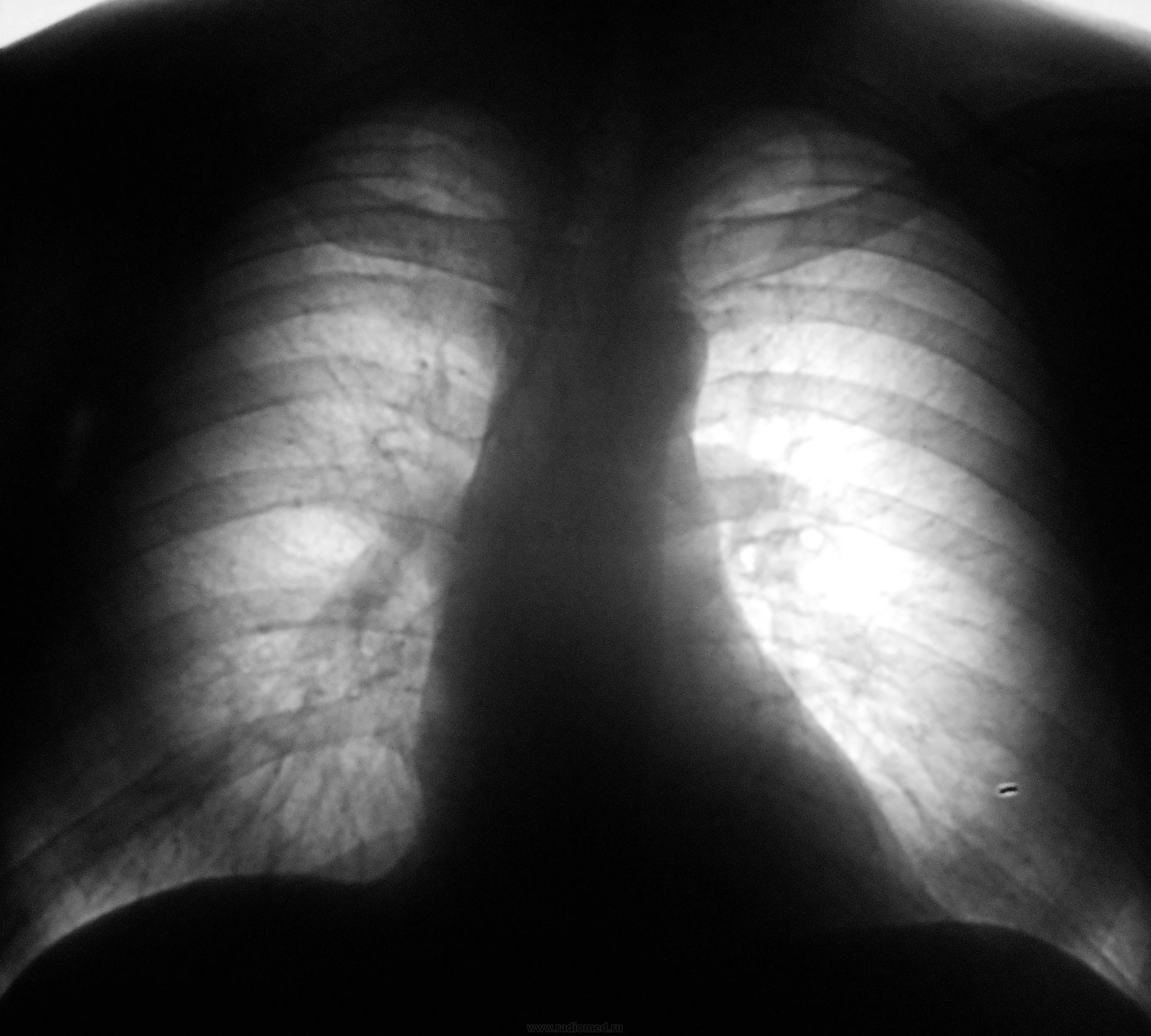
Флюшка через год...,

жалоб и сейчас (флюшка произведена 3 дня тому) нет...

Приложения: 
1.dscn1032.jpg
lupan аватар
Не на сайте
Был на сайте: 6 лет 10 месяцев назад
Зарегистрирован: 07.01.2010 - 17:17
Публикации: 1406

Логично предположить объем в правом легком, а слева викарную эмфизему. Но это уже в течение года? Боковые, ТМГ на бочку! Возраст?

Великое преймущество врача заключается в том, что он не обязан следовать собственным советам. ( А. Кристи)

Катенёв Валентин Львович аватар
Не на сайте
Был на сайте: 7 лет 2 недели назад
Зарегистрирован: 22.03.2008 - 22:15
Публикации: 54876

Около 40 лет.

Рентгенограммы.

 

Приложения: 
1.dscn1027.jpg2.dscn1028.jpg3.dscn1028a.jpg
Катенёв Валентин Львович аватар
Не на сайте
Был на сайте: 7 лет 2 недели назад
Зарегистрирован: 22.03.2008 - 22:15
Публикации: 54876

Томограммы

Приложения: 
1.dscn1029.jpg2.dscn1029a.jpg3.dscn1030.jpg4.dscn1030a.jpg5.dscn1031.jpg
lupan аватар
Не на сайте
Был на сайте: 6 лет 10 месяцев назад
Зарегистрирован: 07.01.2010 - 17:17
Публикации: 1406

Пока тянет на "зло". Центральный в/долевой, медиастинальный. Смущает возраст, отсутствие жалоб (в последнем я сомневаюсь).

Великое преймущество врача заключается в том, что он не обязан следовать собственным советам. ( А. Кристи)

Катенёв Валентин Львович аватар
Не на сайте
Был на сайте: 7 лет 2 недели назад
Зарегистрирован: 22.03.2008 - 22:15
Публикации: 54876

lupan wrote:

Пока тянет на "зло". Центральный в/долевой, медиастинальный. Смущает возраст, отсутствие жалоб (в последнем я сомневаюсь).

Правильно сомневаетесь!

Пациент был направлен на профилактическую флюорографию (плановую), работает "на пищевом предприятии". Лаборант флюорографа сделал снимок. увидел "непорядок" и позвал меня. Сразу забрали в рентгеновский кабинет, сразу дообследовали..., поговорили.., да есть одна жалоба, что когда дома снегуа много покидает (у нас в этом году снега немерено), так "задышка" у него появляется, но, он сам связывает эту жалобу с физической нагрузкой.

lupan аватар
Не на сайте
Был на сайте: 6 лет 10 месяцев назад
Зарегистрирован: 07.01.2010 - 17:17
Публикации: 1406

Увидел томограммы... Смущения и сомнения куда-то уходят.

Великое преймущество врача заключается в том, что он не обязан следовать собственным советам. ( А. Кристи)

Mila85 аватар
Не на сайте
Был на сайте: 3 года 1 месяц назад
Зарегистрирован: 15.03.2012 - 16:59
Публикации: 1790

Не так давно был случай - женщина 60 лет - картина примерно такая же, на вид все ок, жалоб нет. Впоследствии подтвержден центральный рак легкого

Игорь Иванович аватар
Не на сайте
Был на сайте: 3 года 9 месяцев назад
Зарегистрирован: 23.01.2010 - 14:56
Публикации: 3695

Центральный рак вряд ли. Какая-нибудь лимфома.

Nikolas аватар
Не на сайте
Был на сайте: 1 месяц 3 недели назад
Зарегистрирован: 21.12.2010 - 20:37
Публикации: 4559

к флюорограмме, то можно сейчас обратить внимание на тень, которую я отметил на рисунке. Так ли это? Поддерживаю мнение Игоря Ивановича.

Приложения: 
1.dscn1034.jpg
helenmar аватар
Не на сайте
Был на сайте: 8 лет 5 месяцев назад
Зарегистрирован: 23.03.2008 - 12:27
Публикации: 291

Тень исходит из переднего средостения, "нависает", если можно так выразиться преимущественно над правыми отделами сердца (слева средостение "выпирает" в значительно меньшей степени . Главные бронхи проходимы, но сдавлены из-вне пакетами л/узлов (слева корень неспокоен, но в меньшей степени). Не могу понять происхождение  тени, дифференцирующейся на ТМГ слева на фоне сердечных камер. Согласна с Nikolas, на первом снимке дифференцируется дополнительная дуга по правому контуру. Очень похоже на ЛГМ, возможно, неходжкинская лимфома.

Делай, что должно, и будь, что будет.

И.Бондаренко аватар
Не на сайте
Был на сайте: 7 часов 26 минут назад
Зарегистрирован: 13.09.2011 - 22:55
Публикации: 9206

Мне кажется, что поражены л/узлы справа, бифуркационные, переднего средостения. Скорее всего , дейстительно, выскочит лимфома.

mila аватар
Не на сайте
Был на сайте: 5 лет 2 месяцев назад
Зарегистрирован: 26.02.2010 - 02:56
Публикации: 277

На предудущей флюорограмме, действительно, по правому контуру сердца есть дополнительная тень выходящаяя за контур:  "симптом кулис",  но  его легко принять  за особености расположения сосудов. Иногда в этом месте может быть дополнительная дуга  восходящего отдела аорты, но тень должна быть однородной, без второго контура.

lupan аватар
Не на сайте
Был на сайте: 6 лет 10 месяцев назад
Зарегистрирован: 07.01.2010 - 17:17
Публикации: 1406

Строить догадки, проводить тонкую диф. диагностику по снимкам и линейным ТМГ дело неблагодарное. Для нас, практических рентгенологов важно своевременно засечь изменения, выдать заключение с наиболее вероятным диагнозом и направить к специалистам. В данном случае - в ОД. Нюансов диф. DS-ки онкологи требовать не будут.

Великое преймущество врача заключается в том, что он не обязан следовать собственным советам. ( А. Кристи)

Алексей Игоревич Чернявский аватар
Не на сайте
Был на сайте: 6 лет 10 месяцев назад
Зарегистрирован: 08.08.2012 - 21:52
Публикации: 786

Не видно газового пузыря желудка. А может там паралельно с новообразованием грыжа диафрагмальная?

"Обучая других - учишься сам". Н.И.Пирогов
 

Катенёв Валентин Львович аватар
Не на сайте
Был на сайте: 7 лет 2 недели назад
Зарегистрирован: 22.03.2008 - 22:15
Публикации: 54876

lupan wrote:

В данном случае - в ОД. 

Так и сделали