Какие мнения будут по одной иллюстрации?

Пол пациента: 
Тип патологии: 
Методы исследования: 

Какие мнения будут по одной иллюстрации?

ID:14012
Kat аватар
Kat
Не на сайте
Был на сайте: 12 лет 7 месяцев назад
Зарегистрирован: 19.04.2011 - 19:10
Публикации: 365

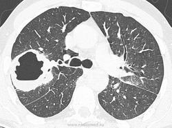
Я,конечно,не КТолог,и в реальности КТ видела меньше,чем на сайте)) Но есть полость с неравномерными по толщине стенками,с бухтообразно подрытыми внутренними контурами, наружние контуры практически на всем протяжении четкие,легочная ткань,наверно,не изменена.Rg-признаки периферического с-r с распадом

Временно отсутствую на сайте...

pringles аватар
Не на сайте
Был на сайте: 13 лет 9 месяцев назад
Зарегистрирован: 15.11.2010 - 16:29
Публикации: 9

Туберкулезная каверна в S3? Утолщение междолевой щели слева - перисциссурит?

Посторонним В аватар
Не на сайте
Был на сайте: 6 лет 3 недели назад
Зарегистрирован: 16.08.2010 - 21:23
Публикации: 345

бронх не показали, сосуды не убедительно...+1 tbs каверна?

...

Глазков Игорь Артурович аватар
Не на сайте
Был на сайте: 9 месяцев 2 недели назад
Зарегистрирован: 19.12.2008 - 20:41
Публикации: 1597

на туберкулёзную каверну.

Прийди к Себе

ДокRg аватар
Не на сайте
Был на сайте: 12 лет 3 месяцев назад
Зарегистрирован: 30.03.2011 - 20:05
Публикации: 105

если это каверна - то где фон? Больше.. за с-r...

Катенёв Валентин Львович аватар
Не на сайте
Был на сайте: 7 лет 3 недели назад
Зарегистрирован: 22.03.2008 - 22:15
Публикации: 54876

ДокRg wrote:

если это каверна - то где фон? Больше.. за с-r...

А, на абсцесс не тянет?

Vikkur аватар
Не на сайте
Был на сайте: 4 года 8 месяцев назад
Зарегистрирован: 24.09.2009 - 14:34
Публикации: 1749

Да что угодно может оказаться!))) - данных маловато.

Виктор.

unre_ALL аватар
Не на сайте
Был на сайте: 7 лет 11 месяцев назад
Зарегистрирован: 15.09.2010 - 14:52
Публикации: 187

тянет на абсцесс. И на каверну. На рак не тянет. А кровохарканье или симптомы какие?

 

-------------------------------------------------------------------------------------------------

Я получил счет от хирургов. Теперь мне понятно, почему эти парни работают в масках. 

Катенёв Валентин Львович аватар
Не на сайте
Был на сайте: 7 лет 3 недели назад
Зарегистрирован: 22.03.2008 - 22:15
Публикации: 54876

Кровохарканья нет. По всей видимости, таких размеров "каверкот" все вокруг бы "заплевал", в плане окружающей легочной ткани?

Катенёв Валентин Львович аватар
Не на сайте
Был на сайте: 7 лет 3 недели назад
Зарегистрирован: 22.03.2008 - 22:15
Публикации: 54876

Еще одна интересная иллюстрация.

Приложения: 
1.interesnaya.f40.large_.jpg
Евгений1313 аватар
Не на сайте
Был на сайте: 13 лет 2 недели назад
Зарегистрирован: 15.10.2010 - 19:13
Публикации: 808

Здесь вопрос в чём-если полость дренируется -это не рак. Если не рак то либо каверна; либо абсцесс. 

Kat аватар
Kat
Не на сайте
Был на сайте: 12 лет 7 месяцев назад
Зарегистрирован: 19.04.2011 - 19:10
Публикации: 365

 

А результаты предыдущего "опроса" мы  не узнаем?)

Временно отсутствую на сайте...

Катенёв Валентин Львович аватар
Не на сайте
Был на сайте: 7 лет 3 недели назад
Зарегистрирован: 22.03.2008 - 22:15
Публикации: 54876

Предыдущий случай - хронический абсцесс,  прооперирован.