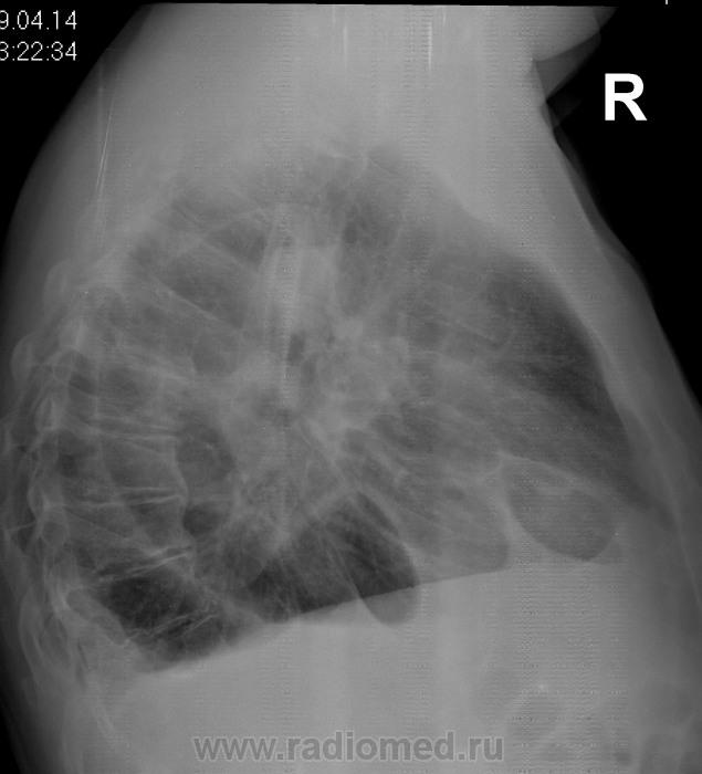
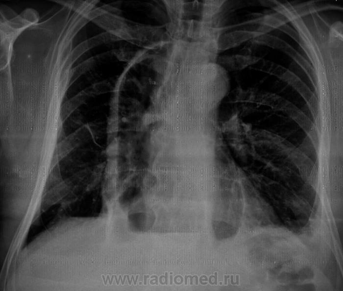
Какие мнения будут по снимкам уважаемые коллеги?

Пол пациента: 
Тип патологии: 
Методы исследования: 

Какие мнения будут по снимкам уважаемые коллеги?

  • https://radiomed.ru/sites/default/files/styles/case_slider_image/public/user/12/2.201404180059.jpg?itok=KtP1_5B_
  • https://radiomed.ru/sites/default/files/styles/case_slider_image/public/user/12/3.201404190057.jpg?itok=QrZSAMPZ
  • https://radiomed.ru/sites/default/files/styles/case_slider_image/public/user/12/4.201404190058.jpg?itok=Hf7w70Qu
  • https://radiomed.ru/sites/default/files/styles/case_slider_image/public/user/12/5.201404190060.jpg?itok=Gs2gnXJ_
  • https://radiomed.ru/sites/default/files/styles/case_slider_image/public/user/12/6.201404190061.jpg?itok=RbukUGnE
ID:37317
Сергей Кузьминов аватар
Не на сайте
Был на сайте: 1 год 3 месяцев назад
Зарегистрирован: 06.10.2012 - 15:51
Публикации: 11813

Ну очень осторожно:кишечные дела?

NIL аватар
NIL
Не на сайте
Был на сайте: 1 неделя 2 дня назад
Зарегистрирован: 25.11.2013 - 20:50
Публикации: 18209

Хочется это явление назвать передней парастернальной диафрагмальной грыжей.


"Слушай всех, прислушивайся к немногим, решай сам".©

И.Бондаренко аватар
Не на сайте
Был на сайте: 1 день 5 часов назад
Зарегистрирован: 13.09.2011 - 22:55
Публикации: 9209

Медиастинальная грыжа. КТ собираетесь проводить?

Дмитрий Волегов аватар
Не на сайте
Был на сайте: 3 года 9 месяцев назад
Зарегистрирован: 22.05.2013 - 00:32
Публикации: 1148

Очень интересный случай. Спасибо.

С Уважением, Дмитрий.

Катенёв Валентин Львович аватар
Не на сайте
Был на сайте: 7 лет 3 месяцев назад
Зарегистрирован: 22.03.2008 - 22:15
Публикации: 54876

Сергей Кузьминов wrote:

Ну очень осторожно:кишечные дела?

Да.

Пластика толстой кишкой вместо удаленного пищевода по поводу рака.

Катенёв Валентин Львович аватар
Не на сайте
Был на сайте: 7 лет 3 месяцев назад
Зарегистрирован: 22.03.2008 - 22:15
Публикации: 54876

И.Бондаренко wrote:

 КТ собираетесь проводить?

Нет.

Профессор, который оперировал (г. Донецк), категорически против лучевых исследований.

Интересно, почему?

Дмитрий Волегов аватар
Не на сайте
Был на сайте: 3 года 9 месяцев назад
Зарегистрирован: 22.05.2013 - 00:32
Публикации: 1148

Возможно швы на диафрагме оказались несостоятельными, и доктор не считает повторную операцию возможной.

С Уважением, Дмитрий.

Сольвейг аватар
Не на сайте
Был на сайте: 3 года 8 месяцев назад
Зарегистрирован: 05.02.2013 - 20:25
Публикации: 2239

Катенёв Валентин Львович wrote:

И.Бондаренко wrote:

 КТ собираетесь проводить?

Нет.

Профессор, который оперировал (г. Донецк), категорически против лучевых исследований.

Интересно, почему?

Думаю потому, что слизистая кишечника очень чувствительна к излучению. Большой риск в плане онкологии

Катенёв Валентин Львович аватар
Не на сайте
Был на сайте: 7 лет 3 месяцев назад
Зарегистрирован: 22.03.2008 - 22:15
Публикации: 54876

Миргалина wrote:
Большой риск в плане онкологии

Может и причина, но другая...

Катенёв Валентин Львович аватар
Не на сайте
Был на сайте: 7 лет 3 месяцев назад
Зарегистрирован: 22.03.2008 - 22:15
Публикации: 54876

Интересно, а полость перикарда как?

Сольвейг аватар
Не на сайте
Был на сайте: 3 года 8 месяцев назад
Зарегистрирован: 05.02.2013 - 20:25
Публикации: 2239

Неужели была частичная декортикация??

Катенёв Валентин Львович аватар
Не на сайте
Был на сайте: 7 лет 3 месяцев назад
Зарегистрирован: 22.03.2008 - 22:15
Публикации: 54876

Все покрыто тайной и мраком...