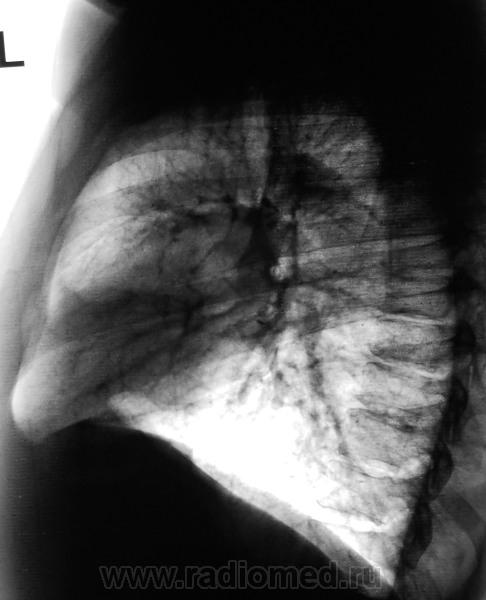
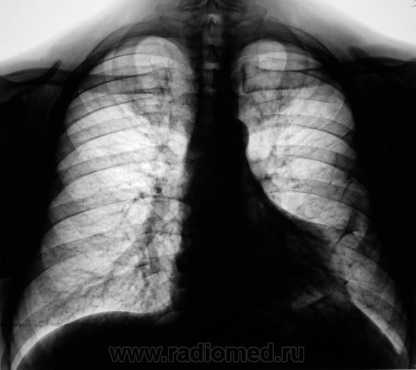
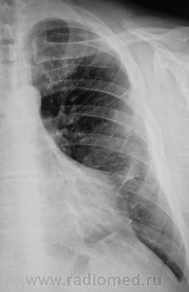
Уменьшение пневматизации нижней доли, плевро-медиастино-диафрагмальные спайки, деформация диафрагмы, средостения-больше данных за посттравматические изменения органов грудной клетки, + диафрагмальная грыжа.
Понял, а не допускаете мысли, что могла быть операция на лёгком с резекцией ребра ( хорошо виден фрагмент заднего отрезка V ребра слева, с абсолютно нормальной костной структурой, что нехарактерно для метастатического поражения ребра ).
могла быть операцияс резекцией ребра ( хорошо виден фрагмент заднего отрезка V ребра слева, с абсолютно нормальной костной структурой, что нехарактерно для метастатического поражения ребра ).
Плевро-перикардиальные спайки?
Похоже,да.
Уменьшение пневматизации нижней доли, плевро-медиастино-диафрагмальные спайки, деформация диафрагмы, средостения-больше данных за посттравматические изменения органов грудной клетки, + диафрагмальная грыжа.
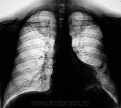
Очаги высокой интенсивности в верхней доле е в счет.
Наверное не спайки, а уже шварты.
Нарушение проходимости "среднедолевого или их?" бронха слева, гиповентиляция язычковых сегментов, тень в верхнем средостении. Центральный рак.
А Марат Максутович молчит...
Коллеги, не вижу V ребра слева ( это мне подсказал, коллега который просматривает сайт). Как это расценивать?
Мтс.
МТС куда, простите?
ребро
По каким признакам диафрагмальная грыжа "навеяла"?
Очаги то посттуберкулёзные, или как?
Стопудово центральный рак?
Понял, а не допускаете мысли, что могла быть операция на лёгком с резекцией ребра ( хорошо виден фрагмент заднего отрезка V ребра слева, с абсолютно нормальной костной структурой, что нехарактерно для метастатического поражения ребра ).
Вы правы Александр!
Ребра не видно. Передайте коллеге, что он прав.
+1
Вот так изолировано, да элегантно по одному ребру шарахнуло?
И Вы опять правы уважаемый Александр!
Уже передал!
А, Мурат Максутович молчит..., хотя "смещение средостения" - это его "любимый конек"...