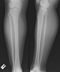
Кальцинаты

Пол пациента: 
Тип патологии: 
Область исследования: 
Методы исследования: 

Кальцинаты в мягких тканях голени  по передней поверхности, за счёт чего?

ID:33757
evgenyxray аватар
Не на сайте
Был на сайте: 4 года 1 неделя назад
Зарегистрирован: 14.07.2013 - 07:15
Публикации: 68

может давняя оссифицированная гематома

Vega аватар
Не на сайте
Был на сайте: 4 месяцев 3 недели назад
Зарегистрирован: 22.01.2009 - 19:16
Публикации: 1087

Флеболит

Makcimalist аватар
Не на сайте
Был на сайте: 12 лет 1 месяц назад
Зарегистрирован: 08.05.2010 - 14:28
Публикации: 1994

Наверное, флеболит(ы) - выше ещё несколько маленьких есть.) А лимфолит быть не может таким - нехарактерным? А сосудистые "звёздочки" - гемангиомы у пациента немолодого - не бывает такого?)

--------------

"Просто, по видимости, не видеть логики в очевидных вещах - это тоже одно из свойств некоторых умов, наряду с грустными думами о свойствах ума других."  © Vega 08/10/2011

schlyapa аватар
Не на сайте
Был на сайте: 8 лет 5 месяцев назад
Зарегистрирован: 27.09.2013 - 22:15
Публикации: 613

Извините, а изменения надкостницы - это периостоз?

Приложения: 
imageout_3.jpg
алкс аватар
Не на сайте
Был на сайте: 10 лет 5 месяцев назад
Зарегистрирован: 24.10.2012 - 22:55
Публикации: 2915

Никакого практического значения не имеют. А значит - "забавлялка". Откуда и почему? Случайная находка оссификатов в мягких тканях,  причин:  отсюда - до бухты Ванино. По поводу флеболитов - это же не малый таз, какие такие вены по передней поверхности голени, чтоб флеболиты?.

Vega аватар
Не на сайте
Был на сайте: 4 месяцев 3 недели назад
Зарегистрирован: 22.01.2009 - 19:16
Публикации: 1087

алкс wrote:

 По поводу флеболитов - это же не малый таз, какие такие вены по передней поверхности голени, чтоб флеболиты?.

Да вон их, вен, сколько...

Приложения: 
4.jpg
И.Бондаренко аватар
Не на сайте
Был на сайте: 9 часов 41 минут назад
Зарегистрирован: 13.09.2011 - 22:55
Публикации: 9213

Жалуется на что? Повод для рентгенографии?

алкс аватар
Не на сайте
Был на сайте: 10 лет 5 месяцев назад
Зарегистрирован: 24.10.2012 - 22:55
Публикации: 2915

"Да вон их, вен, сколько..."

А малом тазу сколько!!!

В данной проекции вены только коммуниканты,  saphena magna, подходящая по размеру, уже внутри, не поверхностно (увы!). Ваша выкладка кстати! И внизу, то же "коммуняки"...

А в тазу!!!

http://xray.com.ua/xforum/viewtopic.php?f=29&t=984

saphena magna

Источник: http://meduniver.com/Medical/Topochka/157.html MedUniver

Makcimalist аватар
Не на сайте
Был на сайте: 12 лет 1 месяц назад
Зарегистрирован: 08.05.2010 - 14:28
Публикации: 1994

алкс wrote:

Никакого практического значения не имеют. А значит - "забавлялка". Откуда и почему? Случайная находка оссификатов в мягких тканях,  причин:  отсюда - до бухты Ванино. По поводу флеболитов - это же не малый таз, какие такие вены по передней поверхности голени, чтоб флеболиты?.

Коллега, Вы чего? Вены - это которые с клапанами, которые ещё образуют узлы варикозные, в которых кровь надолго задерживается, слёживаясь в флеболиты однажды...

Если бы у всех было всё одинако, мы не нашли бы работу. Анатомия - о том, как бывает, как быть должно, но у вен веточек столько же, сколько вариантов строения лёгочных сосудов. А мелкие венулы если на схеме дорисовать, то будет паника у кого-то от их обилия и вариантов строения.

--------------

"Просто, по видимости, не видеть логики в очевидных вещах - это тоже одно из свойств некоторых умов, наряду с грустными думами о свойствах ума других."  © Vega 08/10/2011

алкс аватар
Не на сайте
Был на сайте: 10 лет 5 месяцев назад
Зарегистрирован: 24.10.2012 - 22:55
Публикации: 2915

Makcimalist wrote:

алкс wrote:

Никакого практического значения не имеют. А значит - "забавлялка". Откуда и почему? Случайная находка оссификатов в мягких тканях,  причин:  отсюда - до бухты Ванино. По поводу флеболитов - это же не малый таз, какие такие вены по передней поверхности голени, чтоб флеболиты?.

Коллега, Вы чего? Вены - это которые с клапанами, которые ещё образуют узлы варикозные, в которых кровь надолго задерживается, слёживаясь в флеболиты однажды...

Если бы у всех было всё одинако, мы не нашли бы работу. Анатомия - о том, как бывает, как быть должно, но у вен веточек столько же, сколько вариантов строения лёгочных сосудов. А мелкие венулы если на схеме дорисовать, то будет паника у кого-то от их обилия и вариантов строения.

 Прям так и вьются под коленной чашечкой, вздыхая клапанами и узлами. Т.е под надколенником они чего есть, а больше ни - ни. М.б. не вены, а? Флеболиты всеж из тромбов как-то бывают. М.б. травма?

Makcimalist аватар
Не на сайте
Был на сайте: 12 лет 1 месяц назад
Зарегистрирован: 08.05.2010 - 14:28
Публикации: 1994

А я и не говорил, что на связке надколенника флеболиты лежат. Я Вам насчёт вен говорил, а раньше другие версии предложил. А Вам, коллега, предложил дообследовать - направил бы на КТ!)))

--------------

"Просто, по видимости, не видеть логики в очевидных вещах - это тоже одно из свойств некоторых умов, наряду с грустными думами о свойствах ума других."  © Vega 08/10/2011

Алексей Игоревич Чернявский аватар
Не на сайте
Был на сайте: 7 лет 3 месяцев назад
Зарегистрирован: 08.08.2012 - 21:52
Публикации: 786

Даже же бы не заморачивался. Значния клинического действительно не имеют.

"Обучая других - учишься сам". Н.И.Пирогов
 

алкс аватар
Не на сайте
Был на сайте: 10 лет 5 месяцев назад
Зарегистрирован: 24.10.2012 - 22:55
Публикации: 2915

Makcimalist wrote:

А я и не говорил, что на связке надколенника флеболиты лежат. Я Вам насчёт вен говорил, а раньше другие версии предложил. А Вам, коллега, предложил дообследовать - направил бы на КТ!)))

А!!! А я все про снимки... А Вы вообще ...