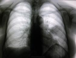
Пол пациента: Женский пол Тип патологии: Инфекция Область исследования: Грудная клетка и верхние дыхательные пути Методы исследования: Rg Женщина обратилась в поликлиннику к терапевту с жалобами на высокую температуру, кашель и болезненость в грудной клетке. https://radiomed.ru/sites/default/files/styles/case_slider_image/public/user/712/sl273294.jpg?itok=LFHMDSGb ID:13019 Пнд, 15/11/2010 - 20:20 #1 dok-a Не на сайте Был на сайте: 9 месяцев 2 недели назад Зарегистрирован: 14.02.2009 - 19:31 Публикации: 623 Лечите пневмонию в 6-ке нижней доли левого лёгкого. Потом Р-контроль. Пнд, 15/11/2010 - 20:47 #2 Глазков Игорь А... Не на сайте Был на сайте: 9 месяцев 3 недели назад Зарегистрирован: 19.12.2008 - 20:41 Публикации: 1597 и поступим. Прийди к Себе Пнд, 15/11/2010 - 20:54 #3 sema Не на сайте Был на сайте: 10 лет 4 месяцев назад Зарегистрирован: 05.09.2010 - 08:39 Публикации: 233 Неоднородное затемнение, как бы не превратилось в полость.Левый корень широк.Но все равно хорошо лечить и контроль. Пнд, 15/11/2010 - 21:00 #4 Глазков Игорь А... Не на сайте Был на сайте: 9 месяцев 3 недели назад Зарегистрирован: 19.12.2008 - 20:41 Публикации: 1597 подозреваю, что там формируется полость. Кстати, в заключении я написал "признаки абсцедирующей пневмонии". Но на контроле посмотрим. Прийди к Себе Пнд, 15/11/2010 - 21:39 #5 Катенёв Валенти... Не на сайте Был на сайте: 7 лет 3 недели назад Зарегистрирован: 22.03.2008 - 22:15 Публикации: 54876 Слева купол диафрагмы - экстремал. И с какой такой тихой радости он так кверху попер...Приложения: Пнд, 15/11/2010 - 21:45 #6 Глазков Игорь А... Не на сайте Был на сайте: 9 месяцев 3 недели назад Зарегистрирован: 19.12.2008 - 20:41 Публикации: 1597 почему же он так наверх? Прийди к Себе Пнд, 15/11/2010 - 21:46 #7 Катенёв Валенти... Не на сайте Был на сайте: 7 лет 3 недели назад Зарегистрирован: 22.03.2008 - 22:15 Публикации: 54876 А, помеченное красными стрелками неужто контур диафрагмы? А может...Приложения: Пнд, 15/11/2010 - 21:54 #8 Глазков Игорь А... Не на сайте Был на сайте: 9 месяцев 3 недели назад Зарегистрирован: 19.12.2008 - 20:41 Публикации: 1597 говоря затрудняюсь с ответом. Прийди к Себе Пнд, 15/11/2010 - 21:58 #9 Катенёв Валенти... Не на сайте Был на сайте: 7 лет 3 недели назад Зарегистрирован: 22.03.2008 - 22:15 Публикации: 54876 А боли-то сильные? Пнд, 15/11/2010 - 22:02 #10 Глазков Игорь А... Не на сайте Был на сайте: 9 месяцев 3 недели назад Зарегистрирован: 19.12.2008 - 20:41 Публикации: 1597 как раз боли не очень сильные, в основном жалобы на температуру и кашель. Причём больная довольно шустро бегает и сдаёт анализы. Прийди к Себе Втр, 16/11/2010 - 07:52 #11 Игорь Иванович Не на сайте Был на сайте: 3 года 9 месяцев назад Зарегистрирован: 23.01.2010 - 14:56 Публикации: 3695 Катенёв Валентин Львович wrote: А, помеченное красными стрелками неужто контур диафрагмы? А может... А по моему, это купол диафрагмы, только какой? Втр, 16/11/2010 - 14:35 #12 Виктор ВК Не на сайте Был на сайте: 14 лет 8 месяцев назад Зарегистрирован: 01.10.2010 - 15:34 Публикации: 114 Возможно, слева спайка?... Виктор Владимирович К. Сб, 02/04/2011 - 20:51 #13 Nikolas Не на сайте Был на сайте: 2 месяцев 4 дня назад Зарегистрирован: 21.12.2010 - 20:37 Публикации: 4559 Ув.Игорь Артурович! Чем все-таки закончилась история заболевания у больной? Интересно знать. Намекали на ателектаз. С уважением Nik Вс, 03/04/2011 - 16:01 #14 Глазков Игорь А... Не на сайте Был на сайте: 9 месяцев 3 недели назад Зарегистрирован: 19.12.2008 - 20:41 Публикации: 1597 я не знаю, так как работал в области и уволился. Прийди к Себе Вс, 03/04/2011 - 18:10 #15 Nikolas Не на сайте Был на сайте: 2 месяцев 4 дня назад Зарегистрирован: 21.12.2010 - 20:37 Публикации: 4559 Спасибо за ответ. Очень много незаконченных историй. А, жаль! С ув. Nikolas
Лечите пневмонию в 6-ке нижней доли левого лёгкого. Потом Р-контроль.
и поступим.
Прийди к Себе
Неоднородное затемнение, как бы не превратилось в полость.Левый корень широк.Но все равно хорошо лечить и контроль.
подозреваю, что там формируется полость. Кстати, в заключении я написал "признаки абсцедирующей пневмонии". Но на контроле посмотрим.
Прийди к Себе
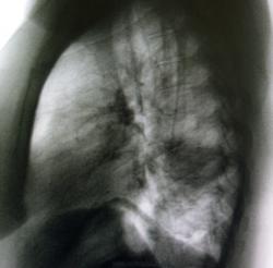
Слева купол диафрагмы - экстремал. И с какой такой тихой радости он так кверху попер...
почему же он так наверх?
Прийди к Себе
А, помеченное красными стрелками неужто контур диафрагмы? А может...
говоря затрудняюсь с ответом.
Прийди к Себе
А боли-то сильные?
как раз боли не очень сильные, в основном жалобы на температуру и кашель. Причём больная довольно шустро бегает и сдаёт анализы.
Прийди к Себе
А по моему, это купол диафрагмы, только какой?
Возможно, слева спайка?...
Виктор Владимирович К.
Ув.Игорь Артурович! Чем все-таки закончилась история заболевания у больной? Интересно знать. Намекали на ателектаз. С уважением Nik
я не знаю, так как работал в области и уволился.
Прийди к Себе
Спасибо за ответ. Очень много незаконченных историй. А, жаль! С ув. Nikolas