Хроническая язва желудка с типичной теневой картиной.

Пол пациента: 
Тип патологии: 
Область исследования: 
Методы исследования: 


Случай из практики – «Хроническая язва желудка с типичной теневой картиной».

 

Исследование проведено на РДК на 3 рабочих места с УРИ «Вироматик» фирмы «VILLA SISTEMI MEDICALI».

Пациент направлен на рентгенологическое исследование  с диагнозом «Язва желудка».

Проведено стандартное рентгенологическое исследование органов желудочно-кишечного тракта методами цифрового рентгенотелевидения, прицельной рентгенографии и прицельной рентгенографии с дозированной компрессией.

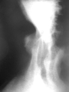
Со стороны глотки и пищевода патологических изменений не выявлено. В желудке натощак некоторое количество жидкости и слизи. В процессе заполнения желудка контрастной взвесью перистола обычная, желудок расправляется по ортотоническому типу. Складки слизистой оболочки располагаются по магистральному типу, они отечные, деформированные. В теле желудка (верхняя треть), по малой кривизне, ближе к задней стенке определяется язвенная ниша (контур-ниша) округлой формы, значительных размеров – иллюстрация 1.

 

1.
1.

При пальпации за экраном и компресси тубусом и мягким дистинктером вокруг язвенной  ниши определяется выраженный симметричный воспалительный вал – иллюстрация 2. 

2.
2.

В процессе исследования количество жидкости увеличивается – нарастает интермедиарный слой.

При детальной оценке контуров «контур – ниши», контуры её довольно ровные, четкие. Определяется некоторая неровность в области дна, что, по всей видимости, обусловлено наличием сгустка крови или некротических масс – иллюстрации – 3, 4.

3.
3.
4.
4.

Некоторые мелкие округлые просветления обусловлены наличием слизи. При оценке моторной функции определяется некоторое «снижение амплитуды перистальтических волн» - некоторая ригидность по малой кривизне на участках, прилегающих к язве, по всей видимости, за счет склеротических процессов и воспалительных явлений.

Диагноз подтвержден эндоскопически, произведена прицельная биопсия.

ВложениеРазмер
Иконка изображения 1.27.73 КБ
Иконка изображения 2.18.74 КБ
Иконка изображения 3.29.64 КБ
Иконка изображения 4.27.55 КБ