Кисть.

Пол пациента: 
Тип патологии: 
Область исследования: 
Методы исследования: 

  • https://radiomed.ru/sites/default/files/styles/case_slider_image/public/user/5278/2.jpg?itok=oLpPLJKN
  • https://radiomed.ru/sites/default/files/styles/case_slider_image/public/user/5278/3.jpg?itok=rUBMcpKf
ID:12783
Helios аватар
Не на сайте
Был на сайте: 7 месяцев 2 недели назад
Зарегистрирован: 06.08.2010 - 15:16
Публикации: 4417

Посмотрите И.П.Королюка .

Катенёв Валентин Львович аватар
Не на сайте
Был на сайте: 7 лет 1 неделя назад
Зарегистрирован: 22.03.2008 - 22:15
Публикации: 54876

Helios wrote:

Посмотрите И.П.Королюка .

А, что по данному случаю вещает господин Королюк?

doktor-rentgen аватар
Не на сайте
Был на сайте: 9 лет 2 месяцев назад
Зарегистрирован: 06.07.2010 - 20:56
Публикации: 640

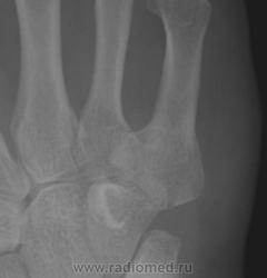
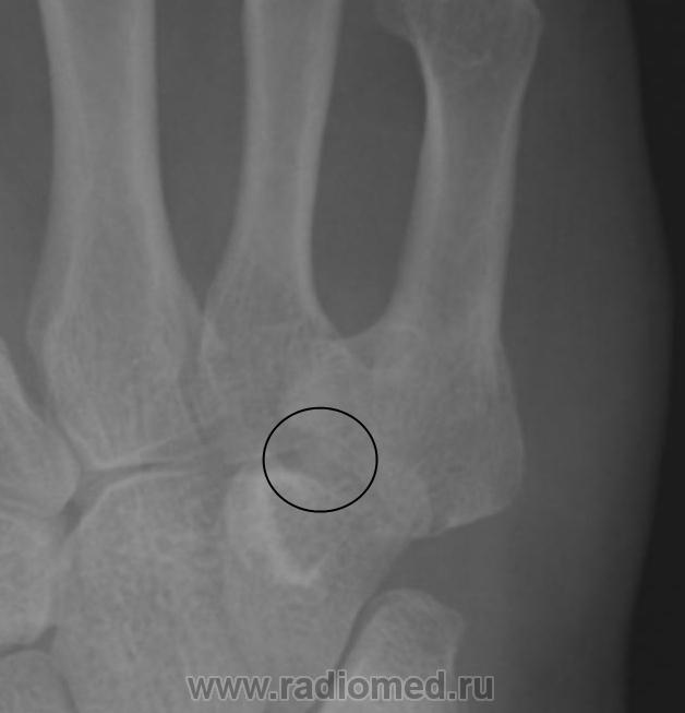
Точно такой-же локализации сесамовидных костей по Королюку не нашел, приблизительно такую локализацию имеет hamulus terminale(hamuli proprium, praesphenoid) №29 , но она там на много больше и вытянутая в проксимально-дистальном направлении. Так что склоняюсь к травматическому генезу этого образования.

Приложения: 
4.jpg
Катенёв Валентин Львович аватар
Не на сайте
Был на сайте: 7 лет 1 неделя назад
Зарегистрирован: 22.03.2008 - 22:15
Публикации: 54876

doktor-rentgen wrote:

Точно такой-же локализации сесамовидных костей по Королюку не нашел, приблизительно такую локализацию имеет hamulus terminale(hamuli proprium, praesphenoid) №29 , но она там на много больше и вытянутая в проксимально-дистальном направлении. Так что склоняюсь к травматическому генезу этого образования.

Мне тоже "ближе" дела посттравматические.

Helios аватар
Не на сайте
Был на сайте: 7 месяцев 2 недели назад
Зарегистрирован: 06.08.2010 - 15:16
Публикации: 4417

doktor-rentgen wrote:

Точно такой-же локализации сесамовидных костей по Королюку не нашел, приблизительно такую локализацию имеет hamulus terminale(hamuli proprium, praesphenoid) №29 , но она там на много больше и вытянутая в проксимально-дистальном направлении. Так что склоняюсь к травматическому генезу этого образования.

Ну вот-нашли же, причем сами.

У меня книга на работе. 

Kuzmitch аватар
Не на сайте
Был на сайте: 12 лет 7 месяцев назад
Зарегистрирован: 01.10.2010 - 18:20
Публикации: 171

Асептический некроз основания V пястной кости? Описывают же "раструбообразную деформацию" головки плюсневой кости при болезни Келлера, может быть здесь возникло нечто подобное. Костный фрагмент.