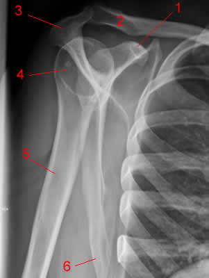
Киста головки плечевой кости

Пол пациента: 
Область исследования: 
Методы исследования: 

Пятничный случай: под закрытие пришла женщина, 65 лет, жалобы на боли в области левого плечевого сустава при движении, со слов больной "всю жысть". Отправлена хирургом с предположительным Ds: артроз левого плечевого сустава.

Вот я думаю написать: в области головки левой плечевой кости определяется округлое просветление в костной ткани диаметром 48 мм с четкими контурами, окружено остеосклерозом. Кортикальный слой области просветления истончен.

Заключение: костная киста головки левой плечевой кости (?), диф. Ds: энхондрома. Консультация онколога.

Прошу Ваших комментариев по случаю и по варианту описания.

ID:29625
Сергей Кузьминов аватар
Не на сайте
Был на сайте: 1 год 5 месяцев назад
Зарегистрирован: 06.10.2012 - 15:51
Публикации: 11813

Вы всё написали правильно.Наиболее вероятна киста.Возможны варианты энхондромы или остеобластокластомы(не бейте меня тапками).Необходимо МРТ,биопсия.Теперь это-забота онколога.

Андрей Юрьевич аватар
Не на сайте
Был на сайте: 2 недели 4 дня назад
Зарегистрирован: 16.11.2008 - 22:16
Публикации: 18106

Это головка плечевой кости в ортопроекции.

Для начала сделал бы снимок в правильной укладке: ладонь в положении супинации (привет вашим лаборантамsmiley). Если снимок по-прежнему будет вызывать вопросы, дополнительно снял бы здоровый сустав.

Андрей Юрьевич

lupan аватар
Не на сайте
Был на сайте: 7 лет 3 месяцев назад
Зарегистрирован: 07.01.2010 - 17:17
Публикации: 1406

Норма.

Великое преймущество врача заключается в том, что он не обязан следовать собственным советам. ( А. Кристи)

stovbav аватар
Не на сайте
Был на сайте: 2 года 7 месяцев назад
Зарегистрирован: 20.12.2009 - 17:28
Публикации: 7066

А ведь ни ума, ни фантазии у Ваших лаборантов не хватит, не говорю уж о смелости, почитать то, что о них здесь говорят.... а вот не мешало бы....ведь Вам они не поверят.....да они и слов таких не знают...пронация...супинация...спросите - узнаете.

Катенёв Валентин Львович аватар
Не на сайте
Был на сайте: 7 лет 5 месяцев назад
Зарегистрирован: 22.03.2008 - 22:15
Публикации: 54876

Так, для интересу.

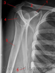
Область плечевого сустава.

Рис. 1. 1, Ключица. 2, Акромион. 3, большой бугорок. 4, малый бугорок. 5, хирургическая шейка. 6, плечевая кость. 7, клювовидный отросток;. 8, латеральный край лопатки. 9, Ребро.

Рис. 2. 1, клювовидный отросток;. 2, Ключица. 3, Акромион. 4, головка плечевой кости. 5, плечевая кость. 6, латеральный край лопатки. 

-----------

А лаборантам Вашим надо сказать, что ежели они и впредь будут вредительством заниматься, то Вы поставите перед администрацией вопрос о их служебном несоответствии.

Они действительно Вас подставляют уважамый коллега!

Катенёв Валентин Львович аватар
Не на сайте
Был на сайте: 7 лет 5 месяцев назад
Зарегистрирован: 22.03.2008 - 22:15
Публикации: 54876

stovbav wrote:

Вам они не поверят.....да они и слов таких не знают...пронация...супинация...спросите - узнаете.

А их уверовать и не надо.

Откройте эту ветку главному врачу, пусть посмотрит, что творят (с укладками) заслуженные профессора - лаборанты.

Катенёв Валентин Львович аватар
Не на сайте
Был на сайте: 7 лет 5 месяцев назад
Зарегистрирован: 22.03.2008 - 22:15
Публикации: 54876

Андрей Юрьевич wrote:

Это головка плечевой кости в ортопроекции.

+1

Земский врач аватар
Не на сайте
Был на сайте: 12 лет 8 месяцев назад
Зарегистрирован: 10.06.2013 - 19:27
Публикации: 45

Ох, ну ничего себе :( а ведь они по десять штук в день плечевых суставов делают, а "кисту" первый раз сняли. Ну можно только порадоваться, что если бы эта картина была в правильной укладке, то мои предположения оказались более-менее верны :) Ну вот позашибить их охота, а ктож тогда работать будет... Но это уже другая тема, а за комментарии по "случаю" спасибо большое!

Сергей Кузьминов аватар
Не на сайте
Был на сайте: 1 год 5 месяцев назад
Зарегистрирован: 06.10.2012 - 15:51
Публикации: 11813

А Вы всё-таки переснимите от греха подальше.А то как бы не сочетался брак съёмки с браком чтения.И лаборанты по шее получат и Ваши сомнения снимутся.

Земский врач аватар
Не на сайте
Был на сайте: 12 лет 8 месяцев назад
Зарегистрирован: 10.06.2013 - 19:27
Публикации: 45

Да, конечно я так и сделаю. Приглашу больную переснять, и правый плечевой сустав для сравнения.

Anastasiia аватар
Не на сайте
Был на сайте: 7 лет 9 месяцев назад
Зарегистрирован: 21.01.2017 - 16:12
Публикации: 18

Спасибо вам большое за это обсуждение, чуть сама только что не написала кисту, хорошо, что нашла его ?

Катенёв Валентин Львович аватар
Не на сайте
Был на сайте: 7 лет 5 месяцев назад
Зарегистрирован: 22.03.2008 - 22:15
Публикации: 54876

Стандарт во всем.

Стандарт для лаборантов - РЕНТГЕНОГРАФИЯ В СТАНДАРТНОЙ ПРОЕКЦИИ!