«Классика жанра» или контроль после флюорографии № 2.

Пол пациента: 
Тип патологии: 
Методы исследования: 

  • https://radiomed.ru/sites/default/files/styles/case_slider_image/public/user/12/2.p8270047.jpg?itok=2Wtnogqm
  • https://radiomed.ru/sites/default/files/styles/case_slider_image/public/user/12/3.p8270047a.jpg?itok=ry0iLeRl
  • https://radiomed.ru/sites/default/files/styles/case_slider_image/public/user/12/4.p8270048.jpg?itok=wranMpgg
  • https://radiomed.ru/sites/default/files/styles/case_slider_image/public/user/12/5.p8270049_0.jpg?itok=OFtC_URR
  • https://radiomed.ru/sites/default/files/styles/case_slider_image/public/user/12/6.p8270049a_0.jpg?itok=iFuxUHG0
ID:6049
stovbav аватар
Не на сайте
Был на сайте: 2 года 2 месяцев назад
Зарегистрирован: 20.12.2009 - 17:28
Публикации: 7066

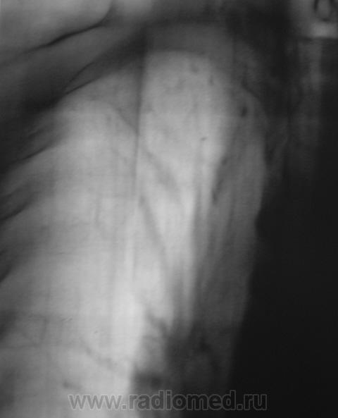
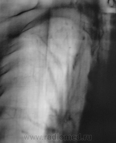
Срава - локальный фиброз и мелкие плотные очаги, слева - плотные очаги; все - старое, нового не наблюдается, как по мне.