КЛКТ ППН

Пол пациента: 
Тип патологии: 
Область исследования: 
Методы исследования: 

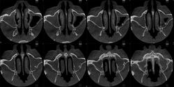
Здравствуйте, коллеги! Представляется КЛКТ ППН. Больной 31 г., направлен ЛОР-врачом на исследование ППН. В левой верхнечелюстной пазухе - костный фрагмент? Аномалия?

  

  • https://radiomed.ru/sites/default/files/styles/case_slider_image/public/user/17546/kostnyy_fragment_v_g.p._2.jpg?itok=fcF3gxbJ
  • https://radiomed.ru/sites/default/files/styles/case_slider_image/public/user/17546/kostnyy_fragment_v_g.p._3.jpg?itok=yduw44gM
ID:34033
Любовь С. аватар
Не на сайте
Был на сайте: 9 лет 11 месяцев назад
Зарегистрирован: 23.12.2010 - 01:58
Публикации: 2324

Возможно, ретинированные зубки. Надо дайком.

"Предоставляя весь смысл и совершенство в распоряжение одного только Бога, вы избавляете себя от бездны хлопот." Джон Уитборн.

И.Бондаренко аватар
Не на сайте
Был на сайте: 3 дня 7 часов назад
Зарегистрирован: 13.09.2011 - 22:55
Публикации: 9214

Если это отломок, то откуда отвалился. Возможно строение пазухи или остеома. Согласен с Любовью, нужны дайкомы.

Almo аватар
Не на сайте
Был на сайте: 1 день 12 часов назад
Зарегистрирован: 28.09.2008 - 18:50
Публикации: 8306

На серии изображений прослеживается в задних отделах левой (? ) верхнечелюстной пазухи септальная структура ( вариант строения ), острый синуит ( гайморит), фаза эксудации.

Истратова Ольга аватар
Не на сайте
Был на сайте: 10 лет 5 месяцев назад
Зарегистрирован: 17.05.2010 - 14:08
Публикации: 7

Согласна с Аlmo, как вариант строения

jeune_radiologiste аватар
Не на сайте
Был на сайте: 5 лет 7 месяцев назад
Зарегистрирован: 17.12.2012 - 23:23
Публикации: 61

Да, это в левой пазухе.

Эта септальная структура, как мне видится, не связана со стенками пазухи...

Makcimalist аватар
Не на сайте
Был на сайте: 12 лет 2 месяцев назад
Зарегистрирован: 08.05.2010 - 14:28
Публикации: 1994

jeune_radiologiste wrote:

Да, это в левой пазухе.

Эта септальная структура, как мне видится, не связана со стенками пазухи...

Возможно, имеет место не костная, но хрящевая связь. Добавочная септа/перегородка - на мой взгляд, оптимальный вариант. Губчатая остеома выглядит здесь не то что редко, просто незнакомо. На зубик не совсем похоже. Вернее, совсем по-моему не похоже.)

--------------

"Просто, по видимости, не видеть логики в очевидных вещах - это тоже одно из свойств некоторых умов, наряду с грустными думами о свойствах ума других."  © Vega 08/10/2011