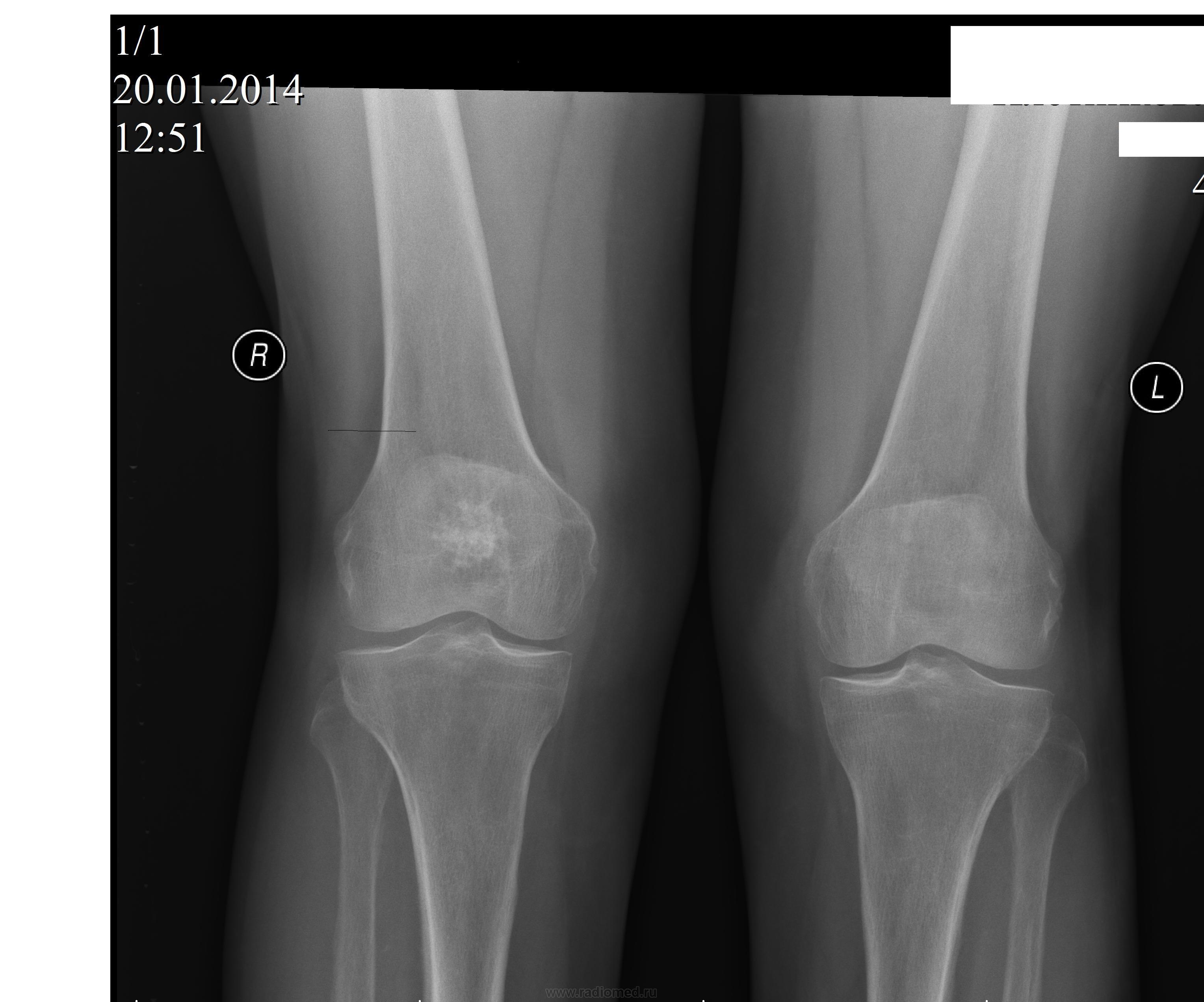
Пол пациента: Женский пол Тип патологии: Доброкачественное новообразование, киста Область исследования: Скелетно-мышечная система Методы исследования: Rg Пациентка 72 года .Жалобы на боли в области коленных суставов.Интересует как надо расценивать, обызвествление в эпиметафизе правой бедренной кости? https://radiomed.ru/sites/default/files/styles/case_slider_image/public/user/406/koleni2.jpg?itok=m3Q9oVz_ https://radiomed.ru/sites/default/files/styles/case_slider_image/public/user/406/koleni4.jpg?itok=k4rvytcG ID:34952 Пнд, 20/01/2014 - 16:46 #1 Almo Не на сайте Был на сайте: 11 часов 59 минут назад Зарегистрирован: 28.09.2008 - 18:50 Публикации: 8304 Больше интересует дальнейшая тактика? Пнд, 20/01/2014 - 17:51 #2 maker4ik Не на сайте Был на сайте: 9 лет 1 день назад Зарегистрирован: 19.10.2011 - 17:49 Публикации: 2682 Инфаркт костного мозга? Пнд, 20/01/2014 - 18:16 #3 Almo Не на сайте Был на сайте: 11 часов 59 минут назад Зарегистрирован: 28.09.2008 - 18:50 Публикации: 8304 Может быть, но как быть уверенным? Пнд, 20/01/2014 - 19:07 #4 Dima Не на сайте Был на сайте: 7 лет 7 месяцев назад Зарегистрирован: 05.08.2012 - 17:39 Публикации: 2467 Мне кажется что все таки больше данных за неопластический процесс, энхондрома как вариант. Терпимость - это когда прощают чужие ошибки; такт - когда не замечают их. (Артур Шницлер) Пнд, 20/01/2014 - 20:23 #5 Андрей Юрьевич Не на сайте Был на сайте: 2 недели 3 дня назад Зарегистрирован: 16.11.2008 - 22:16 Публикации: 18106 Все уже не так просто. Читайте http://www.radiologyassistant.nl/en/p4bc9a97980036/sclerotic-bone-tumors-and-tumor-like-lesions.html , диференцируйте. Андрей Юрьевич Пнд, 20/01/2014 - 22:31 #6 алкс Не на сайте Был на сайте: 10 лет 5 месяцев назад Зарегистрирован: 24.10.2012 - 22:55 Публикации: 2915 Dima wrote: Мне кажется что все таки больше данных за неопластический процесс, энхондрома как вариант. Ну в 72г. скорее инфаркт м.б. чем нео, и вариант Ср, 22/01/2014 - 17:30 #7 ren_gen Не на сайте Был на сайте: 11 лет 6 месяцев назад Зарегистрирован: 30.10.2010 - 19:17 Публикации: 285 энходрома, диф. с вторичной хондросаркомой, менее вероятен инфаркт (картинка не совсем похожа) биопсия поставит точку
Больше интересует дальнейшая тактика?
Инфаркт костного мозга?
Может быть, но как быть уверенным?
Мне кажется что все таки больше данных за неопластический процесс, энхондрома как вариант.
Терпимость - это когда прощают чужие ошибки; такт - когда не замечают их. (Артур Шницлер)
Все уже не так просто. Читайте http://www.radiologyassistant.nl/en/p4bc9a97980036/sclerotic-bone-tumors-and-tumor-like-lesions.html , диференцируйте.
Андрей Юрьевич
Ну в 72г. скорее инфаркт м.б. чем нео, и вариант
энходрома, диф. с вторичной хондросаркомой, менее вероятен инфаркт (картинка не совсем похожа)
биопсия поставит точку