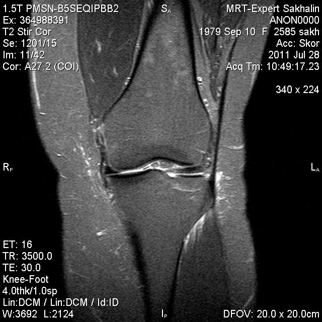
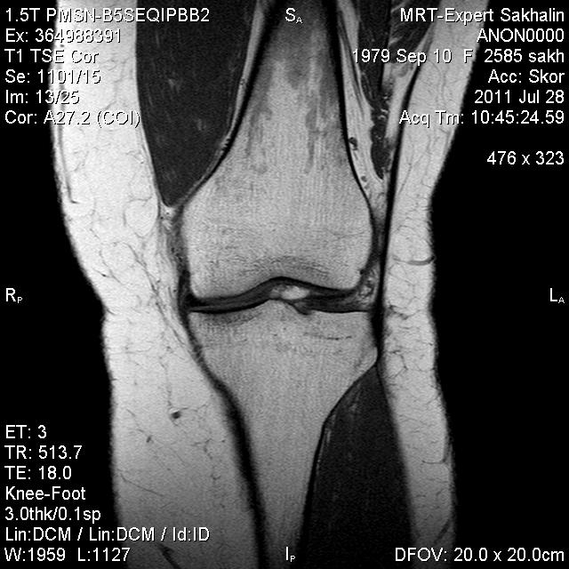
Коленный сустав

Подглядела случай у коллеги.

Что это может быть?

                    

  • https://radiomed.ru/sites/default/files/styles/case_slider_image/public/user/5662/kni2.jpg?itok=AanJKiQJ
  • https://radiomed.ru/sites/default/files/styles/case_slider_image/public/user/5662/kni3.jpg?itok=Y7dM5LAD
  • https://radiomed.ru/sites/default/files/styles/case_slider_image/public/user/5662/kni4.jpg?itok=GjB0CBFC
  • https://radiomed.ru/sites/default/files/styles/case_slider_image/public/user/5662/kni5.jpg?itok=UK6j17zy
  • https://radiomed.ru/sites/default/files/styles/case_slider_image/public/user/5662/kni8.jpg?itok=NOctNL2w
  • https://radiomed.ru/sites/default/files/styles/case_slider_image/public/user/5662/kni10.jpg?itok=cOImYuEl
  • https://radiomed.ru/sites/default/files/styles/case_slider_image/public/user/5662/kni13.jpg?itok=123sid8E
  • https://radiomed.ru/sites/default/files/styles/case_slider_image/public/user/5662/kni12.jpg?itok=AaCkswDW
  • https://radiomed.ru/sites/default/files/styles/case_slider_image/public/user/5662/kni15.jpg?itok=WSfUJoFv
  • https://radiomed.ru/sites/default/files/styles/case_slider_image/public/user/5662/kni16.jpg?itok=-kuiwK1r
  • https://radiomed.ru/sites/default/files/styles/case_slider_image/public/user/5662/kni18.jpg?itok=FgLEIyGd
  • https://radiomed.ru/sites/default/files/styles/case_slider_image/public/user/5662/kni19.jpg?itok=MTLD0p65
  • https://radiomed.ru/sites/default/files/styles/case_slider_image/public/user/5662/kni20.jpg?itok=bk82Pj6v
  • https://radiomed.ru/sites/default/files/styles/case_slider_image/public/user/5662/kni22.jpg?itok=CKT2w7x7
  • https://radiomed.ru/sites/default/files/styles/case_slider_image/public/user/5662/kni25.jpg?itok=5YLD7gI2
  • https://radiomed.ru/sites/default/files/styles/case_slider_image/public/user/5662/kni27.jpg?itok=psDIf3eb
  • https://radiomed.ru/sites/default/files/styles/case_slider_image/public/user/5662/kni28.jpg?itok=0rILfeXY
ID:53736
Петрович аватар
Не на сайте
Был на сайте: 7 лет 2 месяцев назад
Зарегистрирован: 22.03.2009 - 01:13
Публикации: 3908

Рентгенограмму бы показали…, а?

Неоднозначно всё

Евгений Магонов аватар
Не на сайте
Был на сайте: 7 месяцев 1 неделя назад
Зарегистрирован: 07.03.2008 - 15:28
Публикации: 1268

Не вижу криминала. А на что жалуется девушка?

P.S. В костях - это, скорее всего, резидуальный красный костный мозг.

Добрый админ

Helios аватар
Не на сайте
Был на сайте: 7 месяцев 2 недели назад
Зарегистрирован: 06.08.2010 - 15:16
Публикации: 4417

Петрович wrote:

Рентгенограмму бы показали…, а?

Петрович, я  завсегда с удовольствием, но нет рентгенограммы в этот раз.Я уже говорила, что часто приходят спонтанно .

И коллегу прошу снимки на телефон хотя бы запечатлевать, когда в его смену интересное бывает.

Helios аватар
Не на сайте
Был на сайте: 7 месяцев 2 недели назад
Зарегистрирован: 06.08.2010 - 15:16
Публикации: 4417

Евгений Магонов wrote:

Не вижу криминала. А на что жалуется девушка?

P.S. В костях - это, скорее всего, резидуальный красный костный мозг.

Жалоба у всех одна на всех-болит.

 Про резидуальный костный мозг пока не знаю, но найду и прочитаю обязательно.Спасибо, Евгений Петрович!

irena аватар
Не на сайте
Был на сайте: 9 лет 6 месяцев назад
Зарегистрирован: 28.09.2009 - 13:00
Публикации: 289

участки гемопоэтического костного мозга

Helios аватар
Не на сайте
Был на сайте: 7 месяцев 2 недели назад
Зарегистрирован: 06.08.2010 - 15:16
Публикации: 4417

Спасибо, Ирина!