Коленный сустав

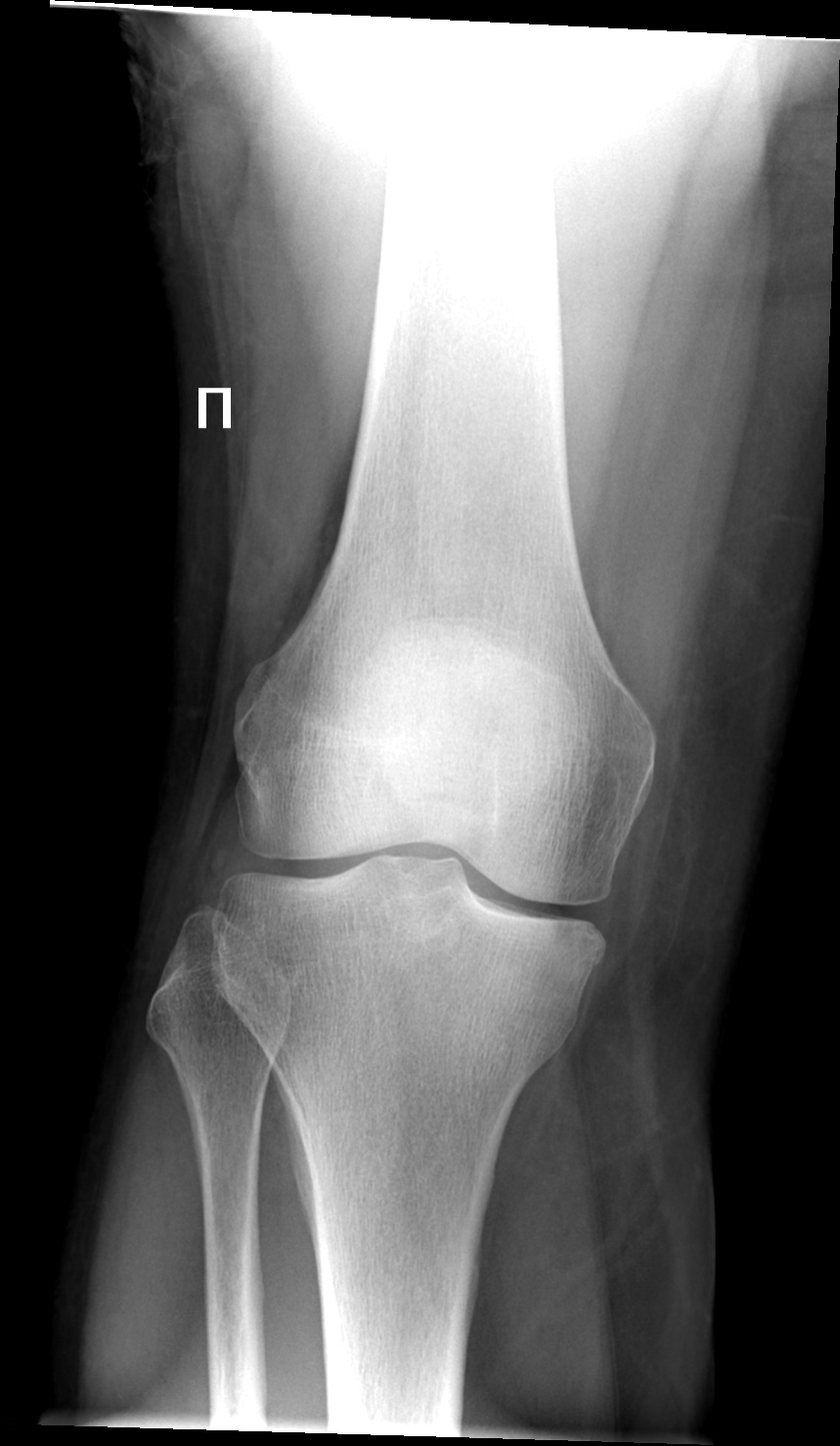
Пациентка 1961 от терапевта с жалобами на боли в правом колене с направительным диагнозом гонартроз? Ассиметрия мыщелков бедренных костей, мыщелки большеберцовой кости на разных уровнях. Дисплазия?

  • https://radiomed.ru/sites/default/files/styles/case_slider_image/public/user/18954/pr00002.jpg?itok=MI_ykhcX
ID:46371
И.Бондаренко аватар
Не на сайте
Был на сайте: 2 дня 11 часов назад
Зарегистрирован: 13.09.2011 - 22:55
Публикации: 9214

Не определю ширину щелей. А так ДОА 1 ст.

maker4ik аватар
Не на сайте
Был на сайте: 9 лет 2 недели назад
Зарегистрирован: 19.10.2011 - 17:49
Публикации: 2682

Что это за асимметрия, да еще и с ошибкой? Сами придумали или где-то прочитали? Ну и бедренная кость на снимке как ды одна...
Пателло-фморальный можно написать.

snob аватар
Не на сайте
Был на сайте: 3 года 5 месяцев назад
Зарегистрирован: 05.12.2010 - 18:23
Публикации: 214

maker4ik wrote:

Что это за асимметрия, да еще и с ошибкой? Сами придумали или где-то прочитали? Ну и бедренная кость на снимке как ды одна...
Пателло-фморальный можно написать.

Солидарен про орфографию: (от лат. asymmetria — несоразмерность)

Самой несоразмерности не нашел.

Правосторонний гонартроз 0-1 ст.

Любовь С. аватар
Не на сайте
Был на сайте: 9 лет 11 месяцев назад
Зарегистрирован: 23.12.2010 - 01:58
Публикации: 2324

maker4ik wrote:

Что это за асимметрия, да еще и с ошибкой? Сами придумали или где-то прочитали? Ну и бедренная кость на снимке как Ды одна...
Пателло-ФМоральный можно написать.

devil

Да не, вроде нет дисплазии, косо укладено))

Приложения: 
pr00001_7.jpg

"Предоставляя весь смысл и совершенство в распоряжение одного только Бога, вы избавляете себя от бездны хлопот." Джон Уитборн.

Дмитрий Волегов аватар
Не на сайте
Был на сайте: 3 года 11 месяцев назад
Зарегистрирован: 22.05.2013 - 00:32
Публикации: 1148

На мой взгляд, центр луча попал выше нижнего полюса надколенника. От этого суставная щель выглядит более суженной, чем на самом деле.

С Уважением, Дмитрий.