Пол пациента:
Тип патологии:
Область исследования:
Методы исследования:
Помогите правильно составить описаниее Рг грудного отдела позвоночника.
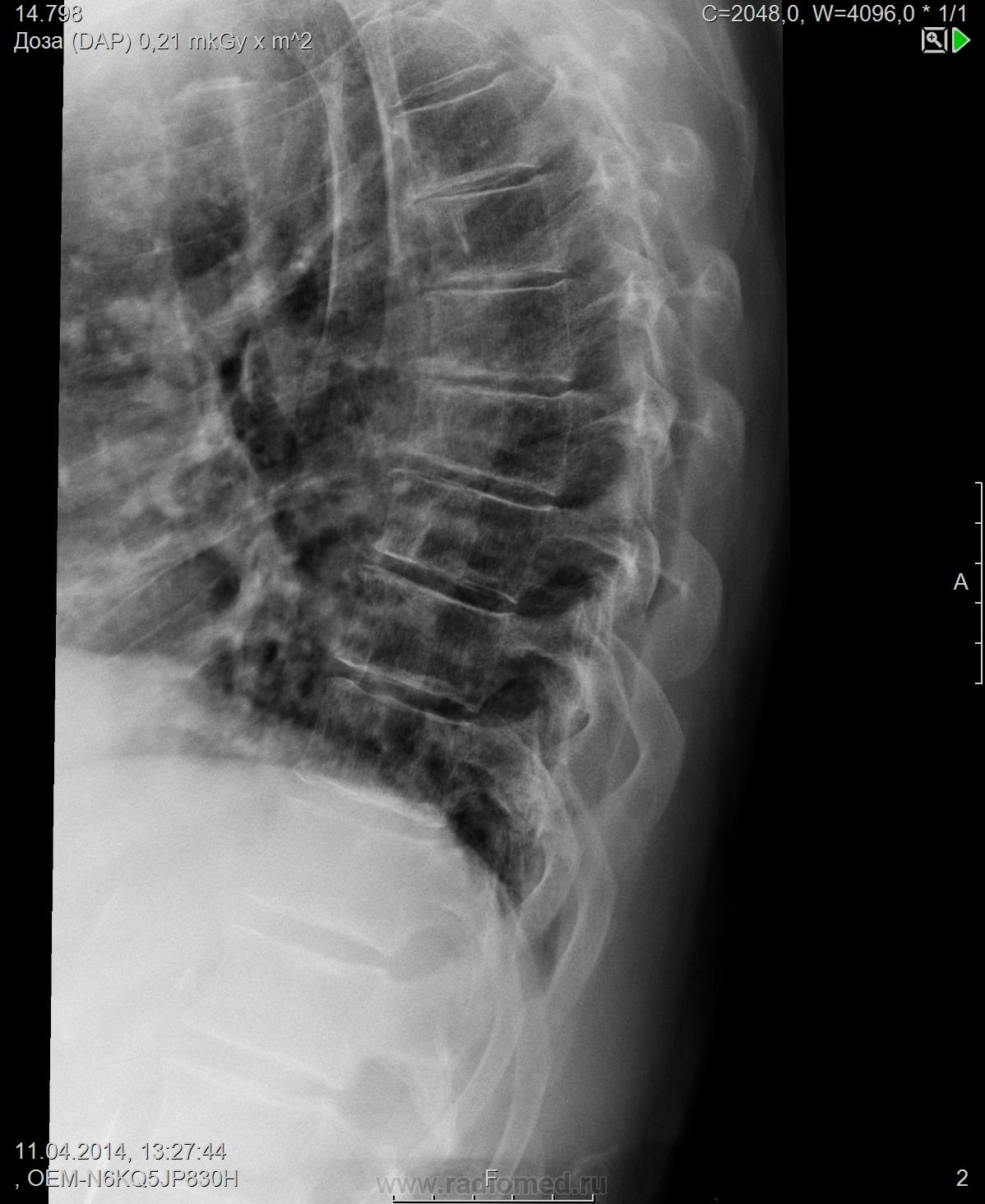
Правосторонний сколиоз до 10 градусов. Снижена высота передних краев позвонков ThVI, ThVII, с признаками клиновидной деформации. Локальное усиление кифоза на уровне ThVI - ThVII. Боковые остеофиты ThX-XI, ThXI-ThXII.
Заключение: Рг картина дегенеративного спондилеза, правостороннего сколиоза 1 ст, компрессионный перелом ThVI, ThVII?
Я бы про переломы не выносила в заключение, не настолько выражено чтобы бабушку пугать
Где Вы его (сколиоз) уважаемый коллега увидели?
На "худой конец" можно было бы этим ограничиться...
Согласна с коллегами.
"Слушай всех, прислушивайся к немногим, решай сам".©
Наверное - остеохондроз.
Это клиновидность как признак дегенеративных изменений. За переломы сомнительно.
Р-признаком перелома является нарушение целостности кортикального слоя.
Андрей Юрьевич
вопрос терминологии - а есть ли в позвонках кортикальный слой?
Есть такая штука - Интернет. Результаты поиска по ключу "кортикальный слой тела позвонка" http://yandex.ru/yandsearch?lr=213&text=rjhnbrfkmysq+ckjq+ntkf+gjpdjyrf
Андрей Юрьевич
ничего против не имел, но пользуясь этим же поисковиком я нашел следующее: (http://lekmed.ru/bolezni/zabolevaniya-oporno-dvigatelnoy-sistemy/osteoliz.html)
Рентгенологически различают два типа костной ткани: губчатое (трабекулярное) вещество и кортикальную (компактная) кость
там же (что касательно рентген признака перелома):
Как правило, губчатое вещество разрушается быстрее, чем кортикальный слой. Хотя для того чтобы рентгенологически отметить разрушение кости, необходимо, чтобы значительная часть губчатого вещества (до 50%) уже была разрушена
Остеохондроз грудного отдела, III период, остеопороз тел позвонков. Костно-травматических изменений не выявлено.
И что из этого следует? "Волга впадает в Каспийское море"?
Опять-таки: "И что из этого следует?"
Андрей Юрьевич
да, что то наподобие того ( поторопился :) ), первая неудачная цитата, а второй хотел дополнить ваше высказывание по поводу перелома.
Данных за переломы тоже не вижу. Что такое III период?
"There is no teacher, who can teach us anything new. He just can help us to remember the things we always knew" (c) Enigma.
Поищите, я уже выкладывала в какую-то тему эту классификацию.
Хотите ищите, хотите нет, вот по Осна http://xray.com.ua/xforum/viewtopic.php?f=40&t=1023 , вот по Зекеру http://www.radiomed.ru/content/klassifikatsiia-ziekiera
Лично я ни ту, ни другую не использую, потому что для МСЭК не требуется, в отличии от артрозов Косинской.
Андрей Юрьевич
спасибо!
"There is no teacher, who can teach us anything new. He just can help us to remember the things we always knew" (c) Enigma.
Не те ссылки. Просили по периодам.
Ну, вы же не хотите делиться знаниями. "За неимением гербовой..." Хотя, на мой взгляд, она тоже не нужна. Так, "шорох орехов"...
Андрей Юрьевич
Уже делилась в какой-то из тем. Кому действительно надо - вполне может и сам найти.
Пожалуйста-пожалуйста, у каждого своя концепция поведения.
Андрей Юрьевич
то есть бабуля просто нагнулась влево?
и вот еще вопросы:
1. Как определить сужение межпозвонковых промежутков и сужение позвоночного канала? нужны боковые снимки?
2. Существует ли классификация СПОНДИЛОАРТРОЗОВ? (недавно был неприятный случай - пациент требовал, чтобы по МРТ ему выставили степень СПОНДИЛОАРТРОЗА, без этого невролог не принимался лечить)
По промежуткам - да, по каналу - если повезет.
Стадию, все-таки, наверное. Как и любого другого сустава.
Андрей Юрьевич
Однако, если бы был у нас в рукаве не двумерный рентген, а 3D на КТ!)) Нарушение кортикала увидеть только там бывает реально. Тем паче при импрессионном проседании позвонка, то бишь его переломе.
"Лишь утратив всё до конца, мы обретаем свободу." F.C.
Эх, у архивариусов бы спросить поискать. Но Николас не покажет, даже если найдёт, а Валентин Львович, наверняка, и без того сильно занят. Настоящий Ленивец ленивца поймёт. Может, ещё раз покажете ссылку, а?) Заинтересовали, аж, чесаться стал!.. и не думаю, что пройдёт.;)
"Лишь утратив всё до конца, мы обретаем свободу." F.C.
Если бы, да кабы. Вопрос был о рентгене.
Отек костного мозга на МРТ - еще более реален.
Проседание - это не есть перелом, пройдитесь поиском "коллапс позвонка".
Андрей Юрьевич
Так и я о том же. Кортикала целостность бывает не замечена на рентгене двуплоскостном. Рёбра поломанные и те не замечаем, а Вы утверждаете, что виден всегда позвонка перелом. Алексея вспомните случаи про разрезанные позвонки, как ножом.)
"Лишь утратив всё до конца, мы обретаем свободу." F.C.
КТО так написал? Я так написал? ГДЕ я так написал?
Андрей Юрьевич
)) Так в первой Вашей цитате про Р-признаки перелома. Не виден бывает тот сломанный кортикал, но есть другие признаки перелома.
"Лишь утратив всё до конца, мы обретаем свободу." F.C.
Без улыбок. Где в моем комментарии
ЭТО:
Андрей Юрьевич
Андрей Юрьевич, это логично из Ваших слов вытекало. По снимкам перелом Вы не заключили, но в аргументацию не всё включили.) Я дополнил Вас. Но Вы про логику мою подзабыли.))
"Лишь утратив всё до конца, мы обретаем свободу." F.C.
О! Порадовали!) Благодарен Вам за науку. Только забыли указать, по ком, если надумаю, в заключении стадировать?.. По Вам, конечно, бы мог, например - по Lenivez-1 - или всё-таки другой классификации господин?
И скажите ещё - Вы всегда функциональные снимки выполняете - то есть при назначении позвоночника каждому, да?..
Спасибо за лень! Полезное качество. Одно на двоих.)
"Лишь утратив всё до конца, мы обретаем свободу." F.C.
Автор не указан. Это перепечатка с какой-то ветхой бумажки, которой пользуется отделение. Функциональные редко.
Значит, будет по Lenivez-1!)) Вы ведь тоже пользуетесь.)
Смотрите сами, если функциональные снимки не выполняются - не досчитаемся нескольких признаков мы с Вами. Насчёт 4 периода не могу согласиться. Спондилоартроз, и деформирующий, бывает и раньше, при умеренно сниженном диске, мы с Вами-то знаем.) Если чуть выше подняться, то грыжи Шморля можно в каждую стадию копи-пастить.) Ведь они часто случаются сами собой, как проявление неполноценности диска весной.)
Ещё непонятно выпрямленный пояснично-крестцовый угол... Как целый признак. Я его очень редко встречал и не в конце остеохондроза, а в его начале... В общем, Осна расширили, расшарив для нас, пользователей, желающих добавить свой взгляд.)
"Лишь утратив всё до конца, мы обретаем свободу." F.C.
Если вы не заметили, про периоод не я писала.
Простите, а как Вы оцениваете остеохондроз? По какой системе работаете, если не АВ0?:))
Можно эту, дополненную любителями функциональных деталей, классификацию озаглавить Лен-Осна (или ОснаЛен), согласны? Я - да!))
Спасибо ещё раз Вам за записанные интересные мысли.) Замечать и задумываться - интересно всегда! А вдвоём, тем паче! Айда!)
"Лишь утратив всё до конца, мы обретаем свободу." F.C.
А можно спросить коллеги как вы оцениваете высоту диска в грудном отделе? В шейном там полулунные, в поясничном с высотой тела или с другими дисками (просто в грудном они и у молодых, здоровых то кажутся сниженными) Редко приходится сталкиваться с остеохондрозом грудного,шеи, поясницы в основном несут.
А вы приведите снимок для примера. Думаю подскажут.
Андрей Юрьевич
Согласен с Вами, коллега. Грудной хондрозится малость пореже.)) Это всё оттого, что рёбра там есть, ну, и много всякого.)) Диски оценивать там приходится реже. Только если кифоз есть - тады снижаются они... вместе с позвоночными телами, как ни крути. Если кифоз не увеличен, величина остеофитов за остеохондроз лучше звучит. Ну, и в прямой проекции - рёберно-позвонковые суставы не забываем упоминать, для оценки справляемости мышечного корсета - с костями и внутренностями мешок вверх-вниз нормуль ли ему поднимать.))
"Лишь утратив всё до конца, мы обретаем свободу." F.C.
Запоздалое спасибо Nobody за разъяснение по поводу остеохондроза грудного!