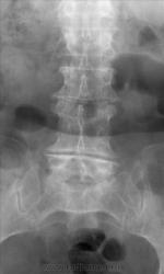
Добрый вечер, Александр Викторович.Интересно, это впервые выявленная находка или есть архив, анамнез?Жаль, остистые отростки не очень хорошо визуализируются-может быть, они тоже сращены.Может и нет.При врожденной конкресценции остистые отростки сращены.Здесь же локальный кифоз на уровне 3-4 позвонков, клиновидность тел, выраженное снижение высоты межпозвонковых дисков выше- и нижележащих.Больше данных за посттуберкулезнвй спондилит, вернее его последствия, хотя не факт, травма тоже могла так обезобразить позвоночник.Если можно, уточните анамнез, пожалуйста.
На 100% поддерживаю точку зрения rentgengb1: "Конкресценция (врожденная). Отсутствие намека на реактивный остеосклероз, однородность костной структуры, указывают против инфекционного процесса".
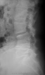
Коллеги, а смещение этого блока кзади (или выше- и нижерасположенных позвонков кпереди) - это я один вижу, или вы считаете это несущественным?
Уыажаемый Андрей Юрьевич, Вы не один ЭТО видите.Мною еще вчера был отмечен локальный кифоз на уровне поражения.Считаю, что анамнез и архив здесь играют не последнюю роль для расстановки точек .Единственное, что действительно доказывает врожденный характер-это однородность костной стрктуры тела аномального позвонка.А остальное может быть приобретенного генеза.Поэтому и пытаю Александра Викторовича по поводу анамнеза и архива.
Здесь костный блок, поэтому не стоит искать неоднородность и склероз. Это не свежий процесс (если речь идет о спондилите или травме), а старый, скорее последствия. Нельзя исключить и аномалию. И вправду нужен анамнез. А на самом деле принципиального значения, что это, не имеет. Блок он и есть блок.
Воспалительные изменения в костно-суставной системе, оставляют навсегда свои признаки. А имеенно остеосклероз, разной степени выраженности. Если считать, что процесс приобретенный, в результате перенесеннго травматического, или инфекционного агентов, то должен быть другой блок. А именно остеофиты, остеосклероз, спондилоартроз. Мне интересная эта презентация, поэтому просьба к автору, разузнать все подробности по пациенту,и закончить случай.
мое мнение - врожденная аномалия в виде неполного срастания тел позвонков(в переднем отделе) + остеохондроз со спондилолистезом (что обуславливает ургентность)
Воспалительные изменения в костно-суставной системе, оставляют навсегда свои признаки. В этой фразе мне не нравиться слово "навсегда". Кость - живая ткань, в ней не может быть что-либо насвегда.
Хм..есть целый раздел в судебно-экспертной литературе "ретроспективное исследование костей" на предмет патологических изменений.
Вот и снимки
Добрый вечер, Александр Викторович.Интересно, это впервые выявленная находка или есть архив, анамнез?Жаль, остистые отростки не очень хорошо визуализируются-может быть, они тоже сращены.Может и нет.При врожденной конкресценции остистые отростки сращены.Здесь же локальный кифоз на уровне 3-4 позвонков, клиновидность тел, выраженное снижение высоты межпозвонковых дисков выше- и нижележащих.Больше данных за посттуберкулезнвй спондилит, вернее его последствия, хотя не факт, травма тоже могла так обезобразить позвоночник.Если можно, уточните анамнез, пожалуйста.
Диф. диагностика с посттравматическим и посттуберкулезным костным блоком. Дуги не сращены, насколько я смогла рассмотреть.
в направительном диагнозе - остеозондроз ПОП
А кто спорит, что его нет.Конечно, имеется.Деформирующий спондилез также в комплекте .Только с этиологией и патогенезом осталось разобраться.
Конкресценция (врожденная). Отсутствие намека на реактивный остеосклероз, однородность костной структуры, указывают против инфекционного процесса.
Не думаю, что "это" врожденное.
[[wysiwyg_imageupload:241:]][[wysiwyg_imageupload:242:]][[wysiwyg_imageupload:243:]][[wysiwyg_imageupload:244:]]
На 100% поддерживаю точку зрения rentgengb1: "Конкресценция (врожденная). Отсутствие намека на реактивный остеосклероз, однородность костной структуры, указывают против инфекционного процесса".
Для врожденного смущает структура в задних отделах.
Что, вы имеете ввиду?
+ укорочение и деформация ножек дужек.
Коллеги, а смещение этого блока кзади (или выше- и нижерасположенных позвонков кпереди) - это я один вижу, или вы считаете это несущественным?
Андрей Юрьевич
Здравствуйте Андрей Юрьевич!
Конечно, указанное Вами видно, и видно беспорно. Но случай выставлен, по всей видимости, как аномалия развития (вариант развития), именно позвонков.
Здесь костный блок, поэтому не стоит искать неоднородность и склероз. Это не свежий процесс (если речь идет о спондилите или травме), а старый, скорее последствия. Нельзя исключить и аномалию. И вправду нужен анамнез. А на самом деле принципиального значения, что это, не имеет. Блок он и есть блок.
Воспалительные изменения в костно-суставной системе, оставляют навсегда свои признаки. А имеенно остеосклероз, разной степени выраженности. Если считать, что процесс приобретенный, в результате перенесеннго травматического, или инфекционного агентов, то должен быть другой блок. А именно остеофиты, остеосклероз, спондилоартроз. Мне интересная эта презентация, поэтому просьба к автору, разузнать все подробности по пациенту,и закончить случай.
мое мнение - врожденная аномалия в виде неполного срастания тел позвонков(в переднем отделе) + остеохондроз со спондилолистезом (что обуславливает ургентность)
за туберкулезный процесс - нет признаков!!!
и даже кот ученый всё ходит по цепи кругом
Воспалительные изменения в костно-суставной системе, оставляют навсегда свои признаки.
В этой фразе мне не нравиться слово "навсегда". Кость - живая ткань, в ней не может быть что-либо насвегда.
Хм..есть целый раздел в судебно-экспертной литературе "ретроспективное исследование костей" на предмет патологических изменений.
99,999% - за конкресценцию тел L4 и L5
(+ остеохондроз 2 ст. с антелистезом L3 1ст., остеохондроз 3ст. в L5-L6...) и
0,001% - за последствия травмы/спондилита/всего остального (всё бывает!..)
--------------
"Просто, по видимости, не видеть логики в очевидных вещах - это тоже одно из свойств некоторых умов, наряду с грустными думами о свойствах ума других." © Vega 08/10/2011
Коллега, точнее сказать не L6, а S1 (даже если есть любализация D12 т. е. формально 6 поясничных позвонков).