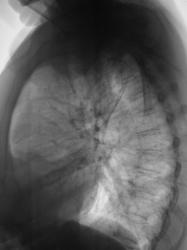
На мой взгляд, слева на верхушке в медиальных отделах верхушеного сегмента (1+2) некоторая динамика есть, да и "кругляк" справа на верхушке (средостении) на 11 срезе, субъективно дифференцируется лучше.
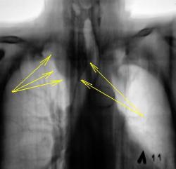
Синяя стрелка, как понимаю "кругляк", который смущает Валентина Львовича? К сожалению край изображения, тяжело что-то понять. Вероятнее всего это 1 ребро.
Валентин Львович, в щитовидной железе очень часто находим обызвествления и даже камни, т.е. это не может являться дифференциально-диагностическим признаком с туберкулезом... (сделайте УЗИ или КТ)
1. Загрудинный зоб
2. Опухоль средостенья
3. Сосудистая аневризма
"самоуверенность дилетантов - предмет зависти профессионалов"
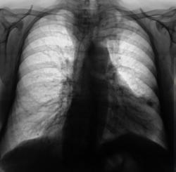
Пациента в течение месяца "лечили" противотуберкулёзными препаратами. Произведен контроль "в динамике".
Валентин Львович, а какие снимки до, а какие после лечения? Я какой-либо динамики не вижу
"самоуверенность дилетантов - предмет зависти профессионалов"
Первые - до, нижние после.
На мой взгляд, слева на верхушке в медиальных отделах верхушеного сегмента (1+2) некоторая динамика есть, да и "кругляк" справа на верхушке (средостении) на 11 срезе, субъективно дифференцируется лучше.
Мне приглянулся последний скан.
Синяя стрелка, как понимаю "кругляк", который смущает Валентина Львовича? К сожалению край изображения, тяжело что-то понять. Вероятнее всего это 1 ребро.
Зато Красная стрелка - явно зоб
При "клике" на то, что помечено красной стрелкой, дифференцируются известковые включения?
Валентин Львович, в щитовидной железе очень часто находим обызвествления и даже камни, т.е. это не может являться дифференциально-диагностическим признаком с туберкулезом... (сделайте УЗИ или КТ)
"самоуверенность дилетантов - предмет зависти профессионалов"
Зоб?
Зоб?
Зоб?
вероятнее всего -зоб, диф. ряд приведен выше
"самоуверенность дилетантов - предмет зависти профессионалов"
Интересно, может быть мнения прибавятся через 8 лет после публикации случая?
Зоб.