Контроль после флюорографии 2. Ваше мнение коллеги?

Пол пациента: 
Тип патологии: 
Методы исследования: 

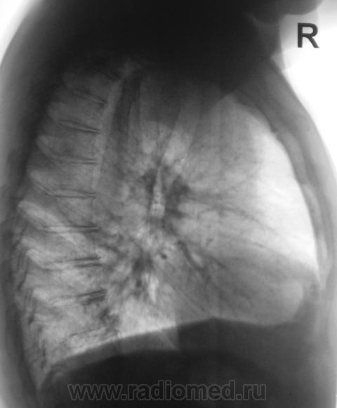
При расшифровке флюорограмм пациент взят на контроль. Жалоб не предъявляет.

  • https://radiomed.ru/sites/default/files/styles/case_slider_image/public/user/12/32.KP_...JPG?itok=gQAcyr49
  • https://radiomed.ru/sites/default/files/styles/case_slider_image/public/user/12/33.KP_...JPG?itok=ojCTsYYE
  • https://radiomed.ru/sites/default/files/styles/case_slider_image/public/user/12/34.K.P...JPG?itok=AsK-hpgk
  • https://radiomed.ru/sites/default/files/styles/case_slider_image/public/user/12/35.KP_...JPG?itok=Q9VglXKI
  • https://radiomed.ru/sites/default/files/styles/case_slider_image/public/user/12/36.KP_...JPG?itok=IR3hemfh
ID:718
lupan аватар
Не на сайте
Был на сайте: 6 лет 10 месяцев назад
Зарегистрирован: 07.01.2010 - 17:17
Публикации: 1406

Очень интересно! Третий раз подхожу к компу втечение дня... Овоидная тень с четкими ровными контурами, расположена субплеврально (или в средостении? Как будто трахею оттесняет), неоднородной структуры. В легочной ткани участок инфильтрации с мощной "дорожкой" к корню. Пожалуй, выскажусь за инфильтративный ТБС и туберкулому. А переломчик VII ребра слева похож на относительно свежий.

Великое преймущество врача заключается в том, что он не обязан следовать собственным советам. ( А. Кристи)

OPEXOB аватар
Не на сайте
Был на сайте: 9 лет 11 месяцев назад
Зарегистрирован: 26.07.2008 - 10:02
Публикации: 280

Считаю важным осмотр щитовидной железы на УЗИ и вилочковой, если возможно, вероятны их изменения, которые проявились на данной рентгенограмме. А в S2 слева единичный кальцинат. И консолидированный перелом 7 ребра слева по задней подмышечной линии.

stovbav аватар
Не на сайте
Был на сайте: 2 года 2 месяцев назад
Зарегистрирован: 20.12.2009 - 17:28
Публикации: 7066

Пожалуй процесс исходит из средостения и явно "злой"....

Игорь Иванович аватар
Не на сайте
Был на сайте: 3 года 9 месяцев назад
Зарегистрирован: 23.01.2010 - 14:56
Публикации: 3695

А где это все на боковой? Зато аорте какая красавица! Может это она и есть?

Катенёв Валентин Львович аватар
Не на сайте
Был на сайте: 7 лет 3 недели назад
Зарегистрирован: 22.03.2008 - 22:15
Публикации: 54876

Здравствуйте Игорь Иванович!

Зацеплюсь за Ваш коммент.

А может это праволежащая аорта?

А?

Как такое?

Юрич аватар
Не на сайте
Был на сайте: 6 лет 5 месяцев назад
Зарегистрирован: 17.01.2010 - 09:55
Публикации: 351

можно еще глоток бария дать. если пищевод толкает, значит в средостении.

v1tal аватар
Не на сайте
Был на сайте: 4 года 9 месяцев назад
Зарегистрирован: 07.06.2008 - 19:41
Публикации: 1779

Да, вроде как dextra-позиция аорты, под скопией бы глянуть.

"Знаешь, у некоторых врачей есть комплекс мессии — им необходимо спасать мир. А у тебя комплекс Рубика — тебе необходимо решать головоломки."