Контроль после флюорографии. "Архива" нет.

Пол пациента: 
Тип патологии: 
Методы исследования: 

Контроль после флюорографии. "Архива" нет.

  • https://radiomed.ru/sites/default/files/styles/case_slider_image/public/user/12/12.dscn0673.jpg?itok=7WFlCP5i
ID:24844
Сергей Кузьминов аватар
Не на сайте
Был на сайте: 1 год 5 месяцев назад
Зарегистрирован: 06.10.2012 - 15:51
Публикации: 11813

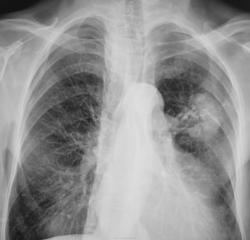
Bl.pulm.sin? рекомендована ФБС.

Катенёв Валентин Львович аватар
Не на сайте
Был на сайте: 7 лет 5 месяцев назад
Зарегистрирован: 22.03.2008 - 22:15
Публикации: 54876

Сергей Кузьминов wrote:

Bl.pulm.sin? рекомендована ФБС.

У нас не делают бронхоскопию.

maker4ik аватар
Не на сайте
Был на сайте: 9 лет 1 день назад
Зарегистрирован: 19.10.2011 - 17:49
Публикации: 2682

Если центральный и таких размеров. то почему без как минимум гиповентиляции? 

Dr. GreenThumb аватар
Не на сайте
Был на сайте: 2 года 7 месяцев назад
Зарегистрирован: 29.05.2010 - 10:16
Публикации: 239

Катенёв Валентин Львович wrote:

Сергей Кузьминов wrote:

Bl.pulm.sin? рекомендована ФБС.

У нас не делают бронхоскопию.

Можно нарезать и в ОД.

The time has come, the rules have changed...

Катенёв Валентин Львович аватар
Не на сайте
Был на сайте: 7 лет 5 месяцев назад
Зарегистрирован: 22.03.2008 - 22:15
Публикации: 54876

Dr. GreenThumb wrote:

Можно нарезать и в ОД.

[/quote]

Нарезать можно и у нас, вот нарезали...

Приложения: 
11.dscn0674.jpg12.dscn0674a.jpg13.dscn0675.jpg14.dscn0676.jpg15.dscn0676a.jpg
Катенёв Валентин Львович аватар
Не на сайте
Был на сайте: 7 лет 5 месяцев назад
Зарегистрирован: 22.03.2008 - 22:15
Публикации: 54876

И, ЧЁ?

Мнениев нет?

Nikolas аватар
Не на сайте
Был на сайте: 1 месяц 4 недели назад
Зарегистрирован: 21.12.2010 - 20:37
Публикации: 4560

профанамнез? 

Катенёв Валентин Львович аватар
Не на сайте
Был на сайте: 7 лет 5 месяцев назад
Зарегистрирован: 22.03.2008 - 22:15
Публикации: 54876

Профанамнезанет, нет контакта с вредностями.

И.Бондаренко аватар
Не на сайте
Был на сайте: 1 день 25 минут назад
Зарегистрирован: 13.09.2011 - 22:55
Публикации: 9213

Образование скорее всего периферический рак. Контуры хоть и ровные, но присутствует дорожка к корню. Да и небольшой ателектаз всё-таки есть, участок просветления.

RuslanChupanov аватар
Не на сайте
Был на сайте: 4 месяцев 2 недели назад
Зарегистрирован: 23.08.2011 - 13:01
Публикации: 31

Предположу центральный C-r 3-го сегментарного бронха.

Валентин Львович, а срезы в прямой проекции не делали?

Катенёв Валентин Львович аватар
Не на сайте
Был на сайте: 7 лет 5 месяцев назад
Зарегистрирован: 22.03.2008 - 22:15
Публикации: 54876

RuslanChupanov wrote:

 а срезы в прямой проекции не делали?

Нет уважаемый коллега, в прямой не делали. Бабушка "согбенная", что видно по боковой рентгенограмме, на спину просто положить не смогли, решили томографировать на боку.

Nikolas аватар
Не на сайте
Был на сайте: 1 месяц 4 недели назад
Зарегистрирован: 21.12.2010 - 20:37
Публикации: 4560

о силикотуберкулеме, т.к. тень высокой интенсивности,неоднородной структуры с вкраплениями кальцинатов. выявлена при проверочной флюорографии. При них может наблюдаться ателектазы. отсюда и вопрос опрофанамнезе

Зинаида Ярош-Савовская аватар
Не на сайте
Был на сайте: 11 лет 9 месяцев назад
Зарегистрирован: 02.08.2012 - 00:17
Публикации: 20

Думаю, переферический BL S-3 с вовлечением ВГЛУ и ателектазом в/д...

cheeky

ЛГ аватар
Не на сайте
Был на сайте: 9 лет 3 месяцев назад
Зарегистрирован: 06.01.2010 - 12:31
Публикации: 3523

Может, сосудистая мальформация? Что-то больно корень спокоен, просто до противного... Или спать пора).

Сергей Кузьминов аватар
Не на сайте
Был на сайте: 1 год 5 месяцев назад
Зарегистрирован: 06.10.2012 - 15:51
Публикации: 11813

Согласен с раком в S3 слева.

maker4ik аватар
Не на сайте
Был на сайте: 9 лет 1 день назад
Зарегистрирован: 19.10.2011 - 17:49
Публикации: 2682

Стойкое впечатление, что не рак это, а что-то очень старое. Только что - пока придумать не могу. Множественные обизвествленные лимфоузлы?

Сергей Кузьминов аватар
Не на сайте
Был на сайте: 1 год 5 месяцев назад
Зарегистрирован: 06.10.2012 - 15:51
Публикации: 11813

Там нет таких крупных лимфоузлов и плотность их не "ИЗВЕСТКОВАЯ"

НБ аватар
Не на сайте
Был на сайте: 11 лет 10 месяцев назад
Зарегистрирован: 07.11.2012 - 19:55
Публикации: 84

Рак это периферический в 3 сегменте, но достиг и среднедолевого  бронха, поэтому ателектаз средней доли. А нижняя доля компенсаторно "вздута". Ну, это, может, только я так думаю, а на самом деле узнаем позже.

Н.Б.

Сергей Кузьминов аватар
Не на сайте
Был на сайте: 1 год 5 месяцев назад
Зарегистрирован: 06.10.2012 - 15:51
Публикации: 11813

В левом легком нет средней доли.Это-ателектаз язычковых сегментов.А в остальном я с Вами согласен.

оксана анатольевна аватар
Не на сайте
Был на сайте: 10 лет 6 месяцев назад
Зарегистрирован: 31.10.2012 - 22:33
Публикации: 29

послетуберкулезные изменения