Контроль после флюорографии или "От очагов до цирроза".

Пол пациента: 
Тип патологии: 
Методы исследования: 

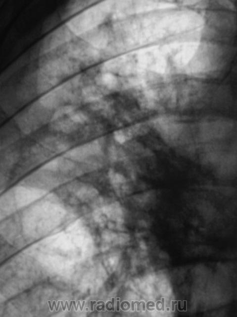
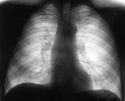
При расшифровки цифровых флюорограмм пациент "взят на контроль". Смутила правая верхушка и верхняя доля правого лёгкого.

ИзображениеИзображение

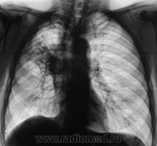
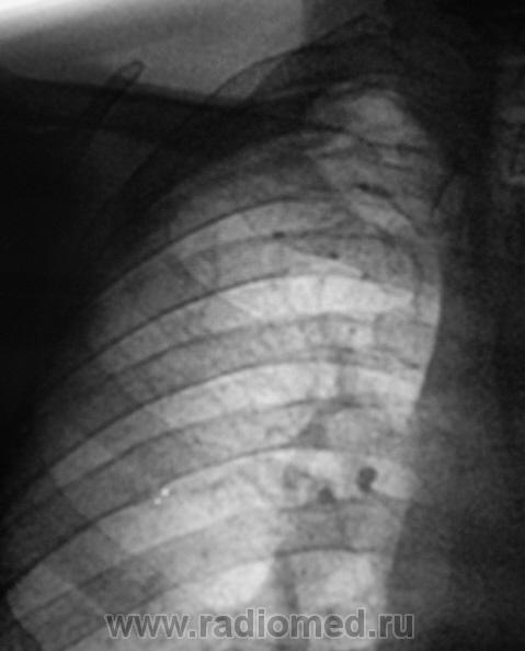
Произведено дообследование.

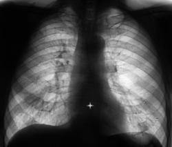
ИзображениеИзображениеИзображение

ИзображениеИзображениеИзображение

Пациент направлен на консультацию к фтизиатру. Произведено общеклиническое дообследование, пациент госпитализирован в туб. большицу.

В туб. больнице, в процессе лечения произведена дополнительная томография.

ИзображениеИзображение

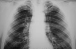
После проведенного лечения (туб. больница) проведено "контрольное" исследование.

ИзображениеИзображениеИзображение

ИзображениеИзображение

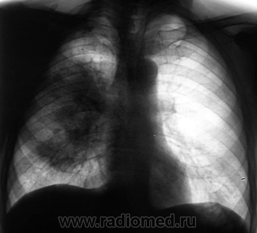
После выписки пациента из туб. больницы, под наблюдение фтизиатра "по месту жительства" проведено еще одно плановое обследование.

ИзображениеИзображениеИзображениеИзображение

Данная теневая картина не была оченена, как "спокойная", а скорее всего внушающая "беспокойство".

Через несколько месяцев фтизиатром пациент был направлен на флюорографию, так как процесс "считался неактивным", но пациент посчитал целесообразным утаить "свое стояние на учёте"

ИзображениеИзображениеИзображение

Пациента ознозначно "тормознули" и дообследовали.

ИзображениеИзображениеИзображение

ИзображениеИзображениеИзображение

Изображение

Через 2 месяца пациент явился с направлением от участкового терапевта на флюорограф "для исключения пневмонии".

ИзображениеИзображение

Пациент "взят" в рентгеновский кабинет.

 

Катенёв Валентин Львович аватар
Не на сайте
Был на сайте: 7 лет 5 месяцев назад
Зарегистрирован: 22.03.2008 - 22:15
Публикации: 54876

Пациент "взят" в рентгеновский кабинет.

Произведено дообследование.

ИзображениеИзображение

ИзображениеИзображение

ИзображениеИзображение

ИзображениеИзображение

Данная картина была расценена, как специфическая пневмония (туберкулёзного генеза) с распадом. Пациенту была назначена массивная противовоспалительная (специфическая) терапия.

 

 

Катенёв Валентин Львович аватар
Не на сайте
Был на сайте: 7 лет 5 месяцев назад
Зарегистрирован: 22.03.2008 - 22:15
Публикации: 54876

Сегодня пациент прибыл в рентгеновский кабинет на плановое исследование.

ИзображениеИзображение

ИзображениеИзображение

ИзображениеИзображение

ИзображениеИзображение

ИзображениеИзображение