КОНТРОЛЬ ПОСЛЕ ФЛЮОРОГРАФИИ. Наблюдение в динамике.

Пол пациента: 
Методы исследования: 
1.JPG
1.JPG
2.jpg
2.jpg
3.JPG
3.JPG
4.JPG
4.JPG
5.JPG
5.JPG
6.JPG
6.JPG
7.JPG
7.JPG
8.JPG
8.JPG
9.JPG
9.JPG
10.jpg
10.jpg

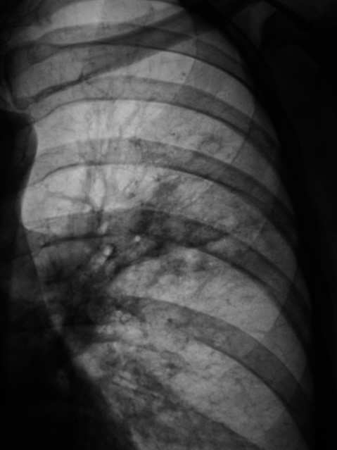
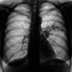
После расшифровке флюорограмм пациент "взят на контроль" - 1, 2.

Произведено стандартное дообследование пациента - рентгенография (3, 4, 5) и томография (6, 7, 8, 9, 10, 11). Была заподозрена онкология, однако изменения на томограмме - срез 7 см. (9, 10, 11), склонили нас в пользу изменений воспалительного генеза. Было решено провести адекватную противовоспалительную терапию. После проведения противовоспалительной терапии был произведен рентген-контроль ( 12, 13, 14, 15).

 

ВложениеРазмер
Иконка изображения 1.JPG61.55 КБ
Иконка изображения 2.jpg52.51 КБ
Иконка изображения 3.JPG72.69 КБ
Иконка изображения 4.JPG81.95 КБ
Иконка изображения 5.JPG86.25 КБ
Иконка изображения 6.JPG60.61 КБ
Иконка изображения 7.JPG58.3 КБ
Иконка изображения 8.JPG55.71 КБ
Иконка изображения 9.JPG61.65 КБ
Иконка изображения 10.jpg49.71 КБ
Иконка изображения 11.jpg45.85 КБ
Иконка изображения 12.JPG68.88 КБ
Иконка изображения 13.JPG74.53 КБ
Иконка изображения 14.JPG82.49 КБ
Иконка изображения 15.JPG54.52 КБ
Катенёв Валентин Львович аватар
Не на сайте
Был на сайте: 7 лет 5 месяцев назад
Зарегистрирован: 22.03.2008 - 22:15
Публикации: 54876

Не правда-ли коллеги, динамика положительная ?

v1tal аватар
Не на сайте
Был на сайте: 5 лет 2 месяцев назад
Зарегистрирован: 07.06.2008 - 19:41
Публикации: 1779

А почему уважаемый Валентин Львович была заподозрена онкология? На представленных снимочках хорошо видно перибронхиальную и перивоскулярную инфильтрацию легочной ткани, сегментарная пневмония.

"Знаешь, у некоторых врачей есть комплекс мессии — им необходимо спасать мир. А у тебя комплекс Рубика — тебе необходимо решать головоломки."

Катенёв Валентин Львович аватар
Не на сайте
Был на сайте: 7 лет 5 месяцев назад
Зарегистрирован: 22.03.2008 - 22:15
Публикации: 54876

Коллегами "был учтен габитус" пациента.