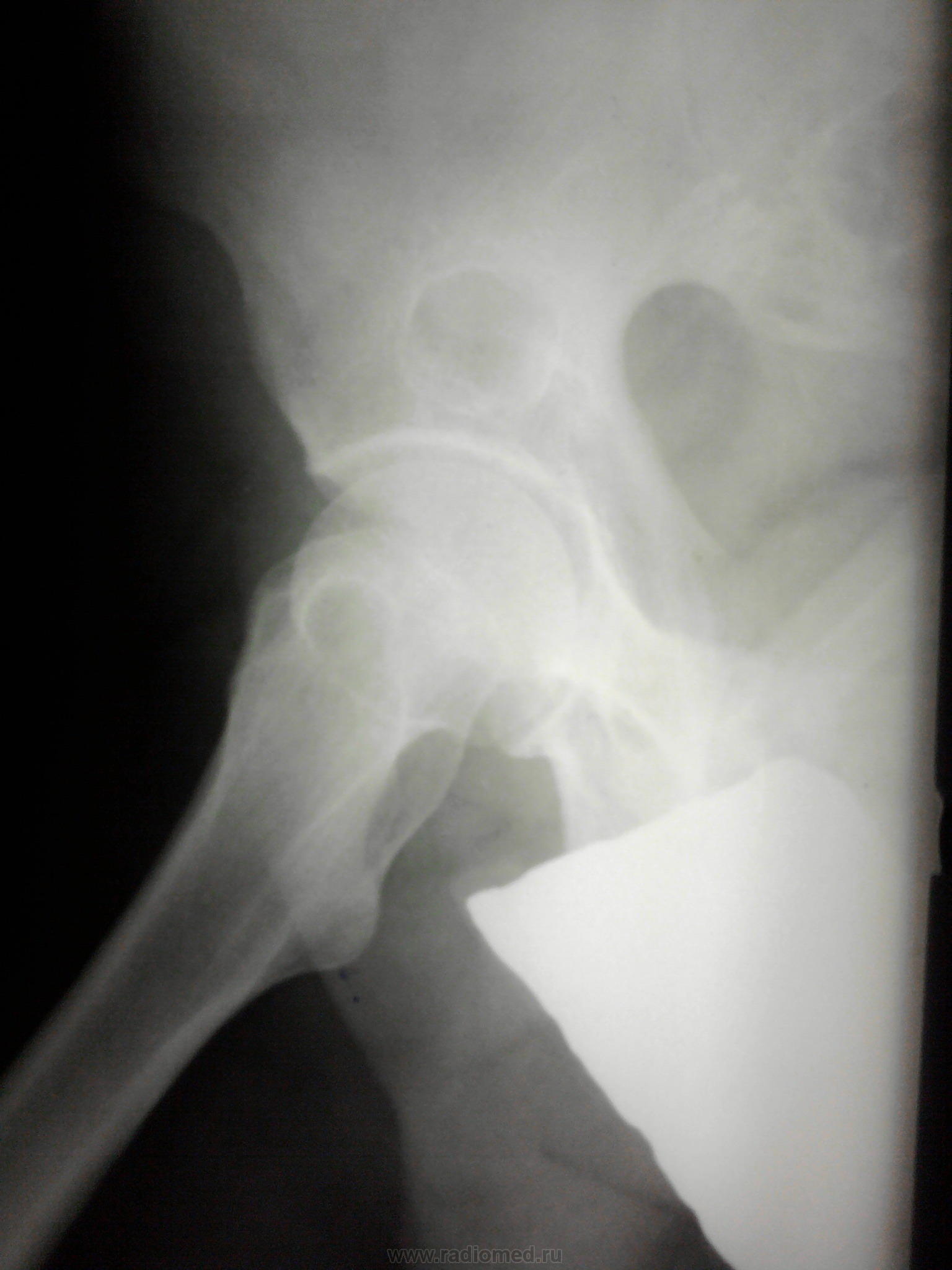
Конечно, ортопеды уже поработали, да и металл свое действие оказал, следовательно, чистоты скиалогии нет. Навскидку, слева, выскажусь в пользу ГКО и аневризматической костной кисты.
А с каким DS пациент идёт на МСЭ? Предварительно, можно поддержать версию Петровича- скорее всего речь идёт о каком-то поражении костной ткани, на фоне которого развился патологический перелом, возможно с учётом скиологии гигантоклеточной опухоли.
Двухсторонние литические очаги, с четкими, местами склерозироваными контурами. Старый консолидированый перелом левой бедренной кости, после металлоостеосинтеза металлической пластиной. Миеломная или мтс проявили бы себя более агрессивной деструкцией.
Мой вариант: гиперпаратиреоидная остеодистрофия или фиброзная дисплазия (хондро-, остеофиброзная дисплазия).
tatyana, Вам "зачет"! Здесь действительнро болезнь Реклингхаузена. Наблюдаю данного пациента лет 7. За это время его патологический перелом левой бедренной кости так и не срастается, приобретая все более атрофичный вид в виде перетяжки на уровне излома, потому и держат с металлом до сих пор. Классическая "пастушья палка". Справа в теле подвздошной кости и (менее выраженно) ближе к задней нижней ости, а также в большом вертеле также имеются литические очаги, относительно стабильные за время наблюдения.
А, раз процесс давний, тогда все стало по местам - смущал остеосклероз. Кстати, деформация в виде "пастушьего посоха" бывает не только при гиперпаратиреозе, но и при других состояниях, болезни Педжета, например.
Но раз у меня Приз, тогда позвольте и вопросы: причину нашли? какое лечение? нет ли рецидива? уровень паратгормона? Если можете, покажите снимки в динамике.
Но раз у меня Приз, тогда позвольте и вопросы: причину нашли?
Если речь идет действительно о б. Реклингхаузена (что пока не совсем очевидно), причина заболевания - генная мутация, чаще наследственная. Соответственно и все остальное.
А при нейрофиброматозе в первую очередь поражаются нерная ткань и кожа/пжк, и диагностируется это в детстве. За такой период наблюдения (7+ лет) должны быть махровые проявления на коже и со стороны нервной системы. При наличии полной картины диагноз ставить в разы проще, доктор, вероятно, слукавил :).
Если речь идет действительно о б. Реклингхаузена (что пока не совсем очевидно), причина заболевания - генная мутация, чаще наследственная. Соответственно и все остальное.
А при нейрофиброматозе в первую очередь поражаются нерная ткань и кожа/пжк, и диагностируется это в детстве. За такой период наблюдения (7+ лет) должны быть махровые проявления на коже и со стороны нервной системы. При наличии полной картины диагноз ставить в разы проще, доктор, вероятно, слукавил :).
"Именем патологоанатома Реклингхаузена названы три нозологические формы - хорошо известная рентгенологам разновидность гиперпаратиреоза, так называемая вторая болезнь Реклингхаузена - неврофиброматоз, и диффузный глиоматоз мозга Реклингхаузена.."
Лукавства не намечалось. Просто у меня есть диагноз, есть снимки, их и выставил. Первоначально диагноз ставил не я. Что же с того, случай не выставлять? Пациент в свое время обследован в системе ФМБА в Москве. Диагноз "гиперпаратиреоидная остеодистрофия". Каждый год приходит на РГ вышепредставленных областей, его снимки и диагноз без карточки знаю. Дополнительную информацию предоставить не могу, т.к. это обследование "не свежее", завалялось в архиве домашнего компа, проводилось не по основному месту работы. Насчет динамики - попрошу лаборантов порыться в архиве.
Коллега, вероятно, просто не понял о какой болезни Реклигхаузена речь... Тем не менее, уважаемый коллега Brainmodel, не могли бы Вы у пациента выяснить, как был подтвержден диагноз? Поскольку причиной гиперпаратиреоидной остеодистрофии чаще всего является аденома паращитовидной железы, после удаления которой костная структура хотя бы частично восстанавливается. Очень интересно, что было и какая динамика процесса в Вашем случае, потому что у Вас есть весьма длительное наблюдение.
А "диффузный глиоматоз мозга Реклингхаузена" пардон, вообще не слышал. Говорят, что это астроцитома
А как в современной классификации это звучит? Думается мне, значительные изменения претерпели нозологии с 50-60гг.
В МКБ 10, к примеру, диагноза глиоматоз вообще не существует.
Разумеется. Рейнберг дальше в этой фразе так и пишет: "...диффузный глиоматоз мозга Реклингхаузена, не представляющий специального интереса для рентгенолога". В его время КТ и МРТ еще не изобрели...
Глиоматоз мозга - редкая форма астроцитомы, при которой головной мозг диффузно инфильтрирован атипичными астроцитами , а накапливающее контраст объемное образование отсутствует.
"Глиоматоз мозга - редкая форма астроцитомы, при которой головной мозг диффузно инфильтрирован атипичными астроцитами , а накапливающее контраст объемное образование отсутствует"
- по-моему так классика астроцитомы
В МКБ10 глиоматоза все же нет. Нейрофиброматоз, например, есть. Код странный какой-то для мкб указали. Вероятно, классификация не учитывает морфологическое строение, там просто злокачественное новообразование головного мозга (локализация). Или я это все какие-то древние версии смотрю?
Недавно разговаривал с этим пациентом (на ФЭГДС пришел с гастралгией, а у него аденома в ЛДПК нашлась). Со слов: в 15 лет ему выявили остеопороз, пытались обследовать и лечить, причину не выяснили. Отслужил армию. Сломал руку. При обследовании выявлена аденома паращитовидной железы справа. Выполнена правосторонняя гемиструмэктомия с аденомой вместе в 1980 г. Последние годы кальций крови нормальный, но вот кисты костей остаются прежними.
Конечно, ортопеды уже поработали, да и металл свое действие оказал, следовательно, чистоты скиалогии нет. Навскидку, слева, выскажусь в пользу ГКО и аневризматической костной кисты.
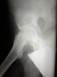
Доброй ночи! Справа вроде обычная киста. Слева не может быть такой причудливой костной мозолью?
Жаль, что нет снимков свежей травмы. Не знаю, что в истоке, но перелом наверное был патологический.
Неоднозначно всё
+1
миеломная болезнь? (видятся мне множественные очаги деструкции в левой седалищной кости)
Medicus curat, natura sanat
А с каким DS пациент идёт на МСЭ? Предварительно, можно поддержать версию Петровича- скорее всего речь идёт о каком-то поражении костной ткани, на фоне которого развился патологический перелом, возможно с учётом скиологии гигантоклеточной опухоли.
Двухсторонние литические очаги, с четкими, местами склерозироваными контурами. Старый консолидированый перелом левой бедренной кости, после металлоостеосинтеза металлической пластиной. Миеломная или мтс проявили бы себя более агрессивной деструкцией.
Мой вариант: гиперпаратиреоидная остеодистрофия или фиброзная дисплазия (хондро-, остеофиброзная дисплазия).
"самоуверенность дилетантов - предмет зависти профессионалов"
tatyana, Вам "зачет"! Здесь действительнро болезнь Реклингхаузена. Наблюдаю данного пациента лет 7. За это время его патологический перелом левой бедренной кости так и не срастается, приобретая все более атрофичный вид в виде перетяжки на уровне излома, потому и держат с металлом до сих пор. Классическая "пастушья палка". Справа в теле подвздошной кости и (менее выраженно) ближе к задней нижней ости, а также в большом вертеле также имеются литические очаги, относительно стабильные за время наблюдения.
Verum plus uno esse non potest.
А, раз процесс давний, тогда все стало по местам - смущал остеосклероз. Кстати, деформация в виде "пастушьего посоха" бывает не только при гиперпаратиреозе, но и при других состояниях, болезни Педжета, например.
Но раз у меня Приз, тогда позвольте и вопросы: причину нашли? какое лечение? нет ли рецидива? уровень паратгормона? Если можете, покажите снимки в динамике.
Спасибо.
"самоуверенность дилетантов - предмет зависти профессионалов"
Если речь идет действительно о б. Реклингхаузена (что пока не совсем очевидно), причина заболевания - генная мутация, чаще наследственная. Соответственно и все остальное.
А при нейрофиброматозе в первую очередь поражаются нерная ткань и кожа/пжк, и диагностируется это в детстве. За такой период наблюдения (7+ лет) должны быть махровые проявления на коже и со стороны нервной системы. При наличии полной картины диагноз ставить в разы проще, доктор, вероятно, слукавил :).
-------------------------------------------------------------------------------------------------
Я получил счет от хирургов. Теперь мне понятно, почему эти парни работают в масках.
С.А. Рейнберг "Рентгенодиагностика заболеваний костей и суставов", изд.4, 1964г, т.2, стр.380, ссылка:
"Именем патологоанатома Реклингхаузена названы три нозологические формы - хорошо известная рентгенологам разновидность гиперпаратиреоза, так называемая вторая болезнь Реклингхаузена - неврофиброматоз, и диффузный глиоматоз мозга Реклингхаузена.."
"самоуверенность дилетантов - предмет зависти профессионалов"
Лукавства не намечалось. Просто у меня есть диагноз, есть снимки, их и выставил. Первоначально диагноз ставил не я. Что же с того, случай не выставлять? Пациент в свое время обследован в системе ФМБА в Москве. Диагноз "гиперпаратиреоидная остеодистрофия". Каждый год приходит на РГ вышепредставленных областей, его снимки и диагноз без карточки знаю. Дополнительную информацию предоставить не могу, т.к. это обследование "не свежее", завалялось в архиве домашнего компа, проводилось не по основному месту работы. Насчет динамики - попрошу лаборантов порыться в архиве.
Verum plus uno esse non potest.
Коллега, вероятно, просто не понял о какой болезни Реклигхаузена речь... Тем не менее, уважаемый коллега Brainmodel, не могли бы Вы у пациента выяснить, как был подтвержден диагноз? Поскольку причиной гиперпаратиреоидной остеодистрофии чаще всего является аденома паращитовидной железы, после удаления которой костная структура хотя бы частично восстанавливается. Очень интересно, что было и какая динамика процесса в Вашем случае, потому что у Вас есть весьма длительное наблюдение.
Спасибо.
"самоуверенность дилетантов - предмет зависти профессионалов"
угу... подумал о нейрофиброматозе. А "диффузный глиоматоз мозга Реклингхаузена" пардон, вообще не слышал. Говорят, что это астроцитома
А как в современной классификации это звучит? Думается мне, значительные изменения претерпели нозологии с 50-60гг.
В МКБ 10, к примеру, диагноза глиоматоз вообще не существует.
-------------------------------------------------------------------------------------------------
Я получил счет от хирургов. Теперь мне понятно, почему эти парни работают в масках.
Разумеется. Рейнберг дальше в этой фразе так и пишет: "...диффузный глиоматоз мозга Реклингхаузена, не представляющий специального интереса для рентгенолога". В его время КТ и МРТ еще не изобрели...
Глиоматоз мозга - редкая форма астроцитомы, при которой головной мозг диффузно инфильтрирован атипичными астроцитами , а накапливающее контраст объемное образование отсутствует.
Код МКБ 9381/3
http://neuroreha.ru/opuxol-golovnogo-mozga-reabilitaciya/info/klassifikaciya/
"самоуверенность дилетантов - предмет зависти профессионалов"
- по-моему так классика астроцитомы
В МКБ10 глиоматоза все же нет. Нейрофиброматоз, например, есть. Код странный какой-то для мкб указали. Вероятно, классификация не учитывает морфологическое строение, там просто злокачественное новообразование головного мозга (локализация). Или я это все какие-то древние версии смотрю?
-------------------------------------------------------------------------------------------------
Я получил счет от хирургов. Теперь мне понятно, почему эти парни работают в масках.
Недавно разговаривал с этим пациентом (на ФЭГДС пришел с гастралгией, а у него аденома в ЛДПК нашлась). Со слов: в 15 лет ему выявили остеопороз, пытались обследовать и лечить, причину не выяснили. Отслужил армию. Сломал руку. При обследовании выявлена аденома паращитовидной железы справа. Выполнена правосторонняя гемиструмэктомия с аденомой вместе в 1980 г. Последние годы кальций крови нормальный, но вот кисты костей остаются прежними.
Verum plus uno esse non potest.
brainmodel, спасибо. Очень интересное наблюдение
"Слушай всех, прислушивайся к немногим, решай сам".©
+ 1. А что за образование в 12-перстной кишке ? Скопии не будет ?
Не нам судить…
Интересное наблюдение!
Что заставило автора вернуться к нему?