Котик

Пол пациента: 
Тип патологии: 
Область исследования: 
Методы исследования: 

 

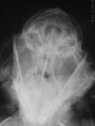
Коллега принесла на снимок любимого кота, где-то 12-13 лет от роду. Месяц назад началось слезотечение из правого глаза, лечили конъюктивит. Сейчас – правое глазное яблоко смещено кнаружи-кверху, явного экзофтальма (т.е. смещения кпереди) нет. Клиники острого процесса нет.

Извиняюсь за качество снимков, котик брыкался. В кошачей скиалогии совершенно не силен, да и с онкологией сталкиваюсь не часто. Смущает какая-то трабекулярная структура в проекции полости носа (по боковой рентгенограмме).

  • https://radiomed.ru/sites/default/files/styles/case_slider_image/public/user/2849/kotik_pryamoy.jpg?itok=gzfc9LbO
ID:18253
И.Бондаренко аватар
Не на сайте
Был на сайте: 1 день 9 часов назад
Зарегистрирован: 13.09.2011 - 22:55
Публикации: 9213

Напоите снотворным и на МРТ. Шутка

Игорь Иванович аватар
Не на сайте
Был на сайте: 4 года 2 месяцев назад
Зарегистрирован: 23.01.2010 - 14:56
Публикации: 3695

Это весь котик, или только таз? (Ищо одна шютка)

Ganesh аватар
Не на сайте
Был на сайте: 9 лет 7 месяцев назад
Зарегистрирован: 26.12.2011 - 20:05
Публикации: 35

Качество сканов не очень. Может пригодятся. 

Приложения: 
cherep_kota_1.jpgcherep_kota_2.jpgcherep_kota_3.jpgcherep_kota_4.jpgcherep_kota_5.jpgcherep_kota_6.jpg
Dr.Akulla аватар
Не на сайте
Был на сайте: 12 лет 3 месяцев назад
Зарегистрирован: 28.05.2011 - 20:06
Публикации: 218

Без stovbav не разобраться.

Бородулин М.А. аватар
Не на сайте
Был на сайте: 1 год 2 месяцев назад
Зарегистрирован: 17.02.2011 - 01:10
Публикации: 1409

Нет ли проблем с носом?