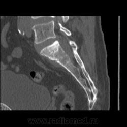
Крестец, КТ. МТС?

Пол пациента: 
Тип патологии: 
Область исследования: 
Методы исследования: 

Мужчина 53 года. По МРТ экстрамедуллярное образование на уровне L5-S1. Сигнал он S1 изменен... Подозревают МТС. В анамнезе образование почки. Какое - не известно. Ваше мнение?

  • https://radiomed.ru/sites/default/files/styles/case_slider_image/public/user/5374/se002_3.jpg?itok=_T8Wqwqj
  • https://radiomed.ru/sites/default/files/styles/case_slider_image/public/user/5374/se003_2.jpg?itok=Jrz5Uxrp
  • https://radiomed.ru/sites/default/files/styles/case_slider_image/public/user/5374/se004_3.jpg?itok=ftCYP_H0
  • https://radiomed.ru/sites/default/files/styles/case_slider_image/public/user/5374/se007_1.jpg?itok=RknYhG9U
  • https://radiomed.ru/sites/default/files/styles/case_slider_image/public/user/5374/se008.jpg?itok=RnbsNK3J
ID:9670
ЛГ аватар
Не на сайте
Был на сайте: 9 лет 4 месяцев назад
Зарегистрирован: 06.01.2010 - 12:31
Публикации: 3523

Очень на то похоже.

Сергей Нагорный аватар
Не на сайте
Был на сайте: 10 лет 2 месяцев назад
Зарегистрирован: 13.07.2010 - 22:49
Публикации: 1370

Решается вопрос, из позвонка прёт это, либо позвонок реактивно изменен... Если это, конечно, реально определить в данном случае.

С уважением, С.Н. Нагорный

v1tal аватар
Не на сайте
Был на сайте: 5 лет 3 месяцев назад
Зарегистрирован: 07.06.2008 - 19:41
Публикации: 1779

Как понять реактивно изменен? Я  так понимаю реактивно-это значит воспаление, как следствие сакроилиита например, сочленения интактны. Деструктивные изменения S1  с паравертебральным компонентом-mts. А как же предстательная железа?

"Знаешь, у некоторых врачей есть комплекс мессии — им необходимо спасать мир. А у тебя комплекс Рубика — тебе необходимо решать головоломки."

Сергей Нагорный аватар
Не на сайте
Был на сайте: 10 лет 2 месяцев назад
Зарегистрирован: 13.07.2010 - 22:49
Публикации: 1370

Добрый вечер, Виталий. При остеохондрозе, грыжах шморля, например, тоже есть реактивные изменения позвонков... Или я не прав, неправильно называю? Не обязательно это воспаление в чистом виде.  Предстательная железа сделана на МРТ, все там видно, без патологии, а тут чисто на крестец метились...

С уважением, С.Н. Нагорный

Сергей Нагорный аватар
Не на сайте
Был на сайте: 10 лет 2 месяцев назад
Зарегистрирован: 13.07.2010 - 22:49
Публикации: 1370

goncharovakuraeva wrote:

Очень на то похоже.

Спасибо за Ваше мнение.

С уважением, С.Н. Нагорный

Сергей Нагорный аватар
Не на сайте
Был на сайте: 10 лет 2 месяцев назад
Зарегистрирован: 13.07.2010 - 22:49
Публикации: 1370

А патологического перелома тут нет?

С уважением, С.Н. Нагорный

Иринка аватар
Не на сайте
Был на сайте: 11 лет 10 месяцев назад
Зарегистрирован: 16.11.2009 - 22:14
Публикации: 190

Всем добрый вечер! Я думаю, что здесь именно деструкция S1 и патологический перелом+мягкотканный компонент.

Сергей Нагорный аватар
Не на сайте
Был на сайте: 10 лет 2 месяцев назад
Зарегистрирован: 13.07.2010 - 22:49
Публикации: 1370

Обратите внимание на видео, тут еще перелом правой латеральной массы крестца, но туда вроде дрянь не распространяется... Как объяснить? Может, это не мтс?

С уважением, С.Н. Нагорный

Иринка аватар
Не на сайте
Был на сайте: 11 лет 10 месяцев назад
Зарегистрирован: 16.11.2009 - 22:14
Публикации: 190

Ну а как еще об*яснить такую деструкцию? Спондилит, но соседние позвонки интактны и клиника должна быть, факта травмы тоже ,наверное, не было. Что же остается? А МРТ не делали?

Сергей Нагорный аватар
Не на сайте
Был на сайте: 10 лет 2 месяцев назад
Зарегистрирован: 13.07.2010 - 22:49
Публикации: 1370

МРТ делали. Заключение: Экстрамедуллярное новообразование на уровне L5-S1 позвонков со стенозом позвоночного канала и деструктивными изменениями в S1 позвонке.

Тут вся костная ткань какая-то остеопоротичная... По МРТ низкий сигнал по Т1ВИ от тела позвонка и этого паравертебрального компонента... Паравертебральный компонент пишут, что накапливает контрастное вещество. Например, туберкулезный спондилит не укладывается в это? А просто спондилит? А миеломная болезнь?

С уважением, С.Н. Нагорный

Иринка аватар
Не на сайте
Был на сайте: 11 лет 10 месяцев назад
Зарегистрирован: 16.11.2009 - 22:14
Публикации: 190

Ну на МРТ должны были бы образование от натечника отличить, а что с дисками? Спондилит на диски распространяется, а опухоль как правило через диски не переходит, при спондилите сигнал от диска резко повышается. А картинок нет? И что с клиникой?

Сергей Нагорный аватар
Не на сайте
Был на сайте: 10 лет 2 месяцев назад
Зарегистрирован: 13.07.2010 - 22:49
Публикации: 1370

Тут еще вопрос кто как трактует, неизвестно, кто делал МРТ... Пишут, что "высота м/п дисков L5-S1, L4-L5, L1-L2 снижена с гипоинтенсивным МР сигналом от вещества м/п дисков на Т2ВИ за счет дегидратации. На уровне м/п диска L5-S1 задняя парамедианная протрузия на 3,1мм."

По клинике: затруднение мочеиспускания и дефекации, снижение чувствительности н.к., почти не передвигается сам, постоянная боль, распространяющаяся по задней поверхности бедер. Началось всё около 1,5мес назад. Усиление боли и наростание слабости - последние 2 недели.

С уважением, С.Н. Нагорный

Иринка аватар
Не на сайте
Был на сайте: 11 лет 10 месяцев назад
Зарегистрирован: 16.11.2009 - 22:14
Публикации: 190

Т.е. диски интактны, не отечны, значит и спондилит исключается. Следовательно об*емный процесс, а первичный или вторичный на 100% ответит только биопсия, мы можем лишь предполагать.

Дмитрий Крекотин аватар
Не на сайте
Был на сайте: 9 лет 3 недели назад
Зарегистрирован: 02.09.2009 - 16:00
Публикации: 24

Мне кажется, что больше тянет на объем. Около 3 недель назад был похожий случай - привезли к урологам с острой задержкой мочи, а бабай уже 1,5 месяца ногами не шевелит. В грудном отделе экстрадуральный объемное образование, компримирующее спинной мозг

Popovpavel аватар
Не на сайте
Был на сайте: 7 лет 8 месяцев назад
Зарегистрирован: 08.06.2009 - 00:23
Публикации: 649

Метастазы.