Кт

Пол пациента: 
Тип патологии: 
Область исследования: 
Методы исследования: 

          

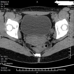
добрый вечер коллеги!друг уролог попросил проконсультировать на сайте, говорит около матки кисту подозревают. Врачи КТ у нас все разъехались, снимки остались неописаны. Может надо еще файлов закачать, я в кт ничего не понимаю))))) заранее спасибо!

  • https://radiomed.ru/sites/default/files/styles/case_slider_image/public/user/952/2.jpg?itok=8Z8CF1tV
  • https://radiomed.ru/sites/default/files/styles/case_slider_image/public/user/952/3.jpg?itok=fpdzVNpR
  • https://radiomed.ru/sites/default/files/styles/case_slider_image/public/user/952/4.jpg?itok=hr7RnHe_
  • https://radiomed.ru/sites/default/files/styles/case_slider_image/public/user/952/5.jpg?itok=g7Ai6EoZ
  • https://radiomed.ru/sites/default/files/styles/case_slider_image/public/user/952/6.jpg?itok=VtaiGaKI
  • https://radiomed.ru/sites/default/files/styles/case_slider_image/public/user/952/7.jpg?itok=5unSi8f-
  • https://radiomed.ru/sites/default/files/styles/case_slider_image/public/user/952/10.jpg?itok=StgyaiRQ
  • https://radiomed.ru/sites/default/files/styles/case_slider_image/public/user/952/11.jpg?itok=xbVLHk_u
  • https://radiomed.ru/sites/default/files/styles/case_slider_image/public/user/952/12.jpg?itok=KybUoKoW
  • https://radiomed.ru/sites/default/files/styles/case_slider_image/public/user/952/13.jpg?itok=7aowmjbo
  • https://radiomed.ru/sites/default/files/styles/case_slider_image/public/user/952/14.jpg?itok=QfKbTCQn
  • https://radiomed.ru/sites/default/files/styles/case_slider_image/public/user/952/15.jpg?itok=0NvOvLFs
  • https://radiomed.ru/sites/default/files/styles/case_slider_image/public/user/952/16.jpg?itok=Py_ONU94
  • https://radiomed.ru/sites/default/files/styles/case_slider_image/public/user/952/17.jpg?itok=JzpXyoYb
  • https://radiomed.ru/sites/default/files/styles/case_slider_image/public/user/952/18.jpg?itok=rYgrVfkD
  • https://radiomed.ru/sites/default/files/styles/case_slider_image/public/user/952/19.jpg?itok=st5OlbDf
ID:14666
DR.RAD аватар
Не на сайте
Был на сайте: 11 лет 11 месяцев назад
Зарегистрирован: 25.03.2009 - 18:22
Публикации: 805

еще парочка срезов.

Приложения: 
20.jpg21.jpg21.jpg23.jpg
Любовь С. аватар
Не на сайте
Был на сайте: 9 лет 8 месяцев назад
Зарегистрирован: 23.12.2010 - 01:58
Публикации: 2324

КТ малого таза без подготовки кишечника и без перорального контрастирования подвздошной кишки позитивным контрастом не особо информативна, особенно натив (не введен контраст в/в). Если нет возможности сделать МРТ, то тогда понятно КТ, но для гинекологии его применяют мало. УЗИ девушке неизвестных лет, наверное, делалось?

Кистовидно измененный левый яичник, киста около 2,5 см. Хронический цистит, стенка мочевого пузыря при добротном наполнении утолщена. 

Приложения: 
16-4957.jpg

"Предоставляя весь смысл и совершенство в распоряжение одного только Бога, вы избавляете себя от бездны хлопот." Джон Уитборн.

Сергей Нагорный аватар
Не на сайте
Был на сайте: 9 лет 10 месяцев назад
Зарегистрирован: 13.07.2010 - 22:49
Публикации: 1370

яичник слева по мне нормальный. Вот справа на уровне тела матки непонятно что, как осумкованная жидкость какая-то, полистать бы серию... А с чем больная-то (анамнез?). Ну и про контраст уже сказали... Кстати, варикозного расширения вен помимо всего прочего нет тут?

С уважением, С.Н. Нагорный

DR.RAD аватар
Не на сайте
Был на сайте: 11 лет 11 месяцев назад
Зарегистрирован: 25.03.2009 - 18:22
Публикации: 805

25 лет, извините, что не написала, я и в вверху ошиблась-написала мужчина.

уролог говорит по задней стенке мочевого пузыря что-то. Спасибо за высказанные мнения))))))))))))))