Продолжение следующих постов:
http://www.radiomed.ru/cases/legkie-kakoi-diagnoz-vy-postavili
В октябре 2011 года в связи с диагнозом периферического рака была произведена операция по удалению доли левого легкого.
В июне 2012 года во время прохождения компьютерной томографии рецидива не обнаружено, был поставлен диагноз:
невыраженная эмфизема левого легкого.
В апреле 2013 года снова прошел компьютерную томографию. Врач сделал следующее заключение:
крупная солитарная буллезная киста левого легкого, имитирующая пневмоторакса. КТ не демонстрировала рецидивного рака легкого, метахронного легочного рака, медиастинальной лимфаденопатии т.е. отсутствует возврат болезни, отсутствует плевральный выпот или pleurits.
Лечение не производилось.
Результаты последней компьютерной томографии от 07.03.2014г.
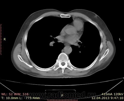
На серии МСКТ и MPR изображений в легочном и мягкотканном окне объем левого легкого уменьшен, в верхней доле левого легкого определяется гигантская булла с толстыми стенками размером 45-124 мм, занимающая всю верхнюю долю ("синдром исчезающего легкого"). Вдоль культи верхнедолевого бронха левого легкого отмечаются послеоперационные танталовые швы. Корень левого легкого подтянут вверху. Очаговых и инфильтративных изменений в легких не определяется. Просвет трахеи, главных и долевых бронхов прослеживаются, стенки бронхов утолщены и деформированы. Внутригрудные лимфатические узлы не увеличены. Диафрагма расположена обычно, контуры ровные, четкие. Сердце обычно расположено и имеет правильную конфигурацию. Камеры сердца не увеличены.
Заключение: Состояние после лобэктомии слева. Эмфизема верхней доли левого легкого с гигантской буллой.
Кровохарканья нет. На слабость, одышку, утомляемость не жалуется. Жалобы на кашель.
Все снимки КТ от апреля 2013 г.
Уважаемые специалисты, интересуют Ваши мнения? Жду советов и рекомендаций.
В спрашиваете о легочном поражении, а размещаете медиастинальное окно, лучше разместите папку dicom с диска.
Андрей Юрьевич
Вот ссылка на dicom файлы http://files.mail.ru/0886B5E7ABCA458AB49B138855666235
На мой взгляд, это не "иммитация пневмоторакса", а самый натуральный осумкованный пневмоторакс.
Андрей Юрьевич
Что-то на ссылке галиматью получаю. Андрей Юрьевич, как вы диком посмотрели?
Без сложностей.
Андрей Юрьевич
Я не могу открыть DICOM файлы, наверное нет нужной программы. Помогите :)
Дайком файлы открываются в дайком-вьюерах (т.е. просмотровщиках).
Андрей Юрьевич
У меня просит подождать до загрузки архива 10 сек, потом медленнннннннооооооооооо грузится, как всегда с майл-файлов, потом без проблем разархивировала и посмотрела в RadiAnt dicom viewer. Осумкованный пневмоторакс +1.
ПыСы. Про RadiAnt есть информция в справочном разделе сайта.
ПыПыСы. Автору: консультация торакального хирурга/травматолога. Вообще я б это дело дренировала и воздух убрала, но решать лечащему врачу.
"Предоставляя весь смысл и совершенство в распоряжение одного только Бога, вы избавляете себя от бездны хлопот." Джон Уитборн.
Любовь С., а зачем убирать? Воздух занял место удаленной доли, ни смещений, ни компрессий.
Андрей Юрьевич
Здравствуйте, Людмила, рад вас снова встретить на сайте.
Судя по всему, легкое не расправилось после операции верхней лобэктомии справа. Это уж точно не эмфизема. Согласна с Любовью С. , что необходима консультация торакального хирурга. Обычно воздух убирают сразу. Ведь после операции наверняка была скопия и воздух в плевральой полости был. Почему сразу не убрали?
Не думаю, что Александр Васильевич сможет ответить на этот вопрос.
Андрей Юрьевич
Я уж сообразила, что вопрос, действительно, не по адресу. Странная тактика, конечно. И КТ какую-то эмфизему описывают несколько лет!
Вы не знаете, как готовят КТ-шников? Что в Казахстаане (откуда это исследование), что в России: месячное ТУ по принципу "взлет-посадка" и алга. Лети, дорогой товарищ, осуществляй диагностику.
Андрей Юрьевич
См. дайкомы, согласен, что пневмоторакс, а не булла или эмфизема буллезная.
Ох, Андрей Юрьевич, что правда-то правда! Но ведь всех нас учат ( или совсем не учат) практически одинаково. Но ведь какая большая разница "на выходе"! ПОЧЕМУ? Думаю, что многое зависит от самого доктора. Дело утопающего-дело рук самого утопающего. Практически во всех регионах такая "учеба". Да и реально ли стать КТ-ником за 6 (!) недель, да за минусом 2 недель на МРТ? Абсурд! Но ведь кто-то стал, даже в таких условиях, и мы видим это на сайте и не только на этом! А в данном случае, представляете, какие вообще заключения даются??? Даже думать боюсь. А ведь-КТ ! Чуть ли не последняя инстанция!!!! Горько...
Классическим рентгенологам волей-неволей приходится начинать изучать изображения КТ. У меня есть Радиант вьювер, но размещенный на этой ветке "дайком" раскрываются им только в медиастинальном окне. Всё темно и легочной ткани не видно.
Я правильно понимаю, что нужна еще какая-нибудь программа? Подскажите пожалуйста, коллеги, кто знает.
С Уважением, Дмитрий.
Дмитрий! Попробуйте нажать F5-легочное окно, F7-костное.
Угу. "Горько мне! Горько! Горько!" — завыл Коровьев, как шафер на старинной свадьбе..."(с)
Андрей Юрьевич
В радианте все есть, кроме MIP. В верхней панели выберите: настройка окна просмотра - КТ легких( а не КТ грудной клетки!)
Ну вот, я уже и Коровьев! Как только не обзывали. А ведь только что праздник женский был! Жаль, один раз в году! "Горько мне. Горько! Горько!"
Да, ладно, не обижайтесь, уж очень кстати подвернулось.
Андрей Юрьевич
Да я не обидчива, Андрей Юрьевич! Разве не заметно? Полна позитива! Читаю ведь такие горе-заключения каждый день,-вот где настоящий негатив. А сайт просто в чувство приводит! Спасибо всем!
Эт Андрей Юрьевич все про "М&M" Булгакова
"-- Фамилия моя, -- ничуть не смущаясь суровостью, отозвался гражданин, -- ну, скажем, Коровьев. Да не хотите ли закусить, Никанор Иванович? Без церемоний! А?"
Вы, уважажаемая Миргалина, здесь ни причем. Вам - .
Только за 2-3года, при огромном желании, появляется кто-то, что-то понимающий в КТ, и приходится многое откидывать из того, чему учили на курсах КТ. И читать, и не только Булгакова.
Алкс, СПАСИБО за цветы! Это всегда актуально и чертовски приятно ( в связи с Булгаковым нечистую силу упомянула)! Честно,- приятно!
Нашёл! В верхней панели - черно-белый квадратик. В его раскрывающемся окошке из списка - CT Lungs. Еще там же можно - Full dinamic. Это легочные окна. Большое спасибо, АЛКС!
С Уважением, Дмитрий.
Спасибо, Миргалина за отзывчивость! Нажал F5, а там смайлик "балдеет" -
. F7 пока не открывается...
С Уважением, Дмитрий.
Вы не знаете, как готовят КТ-шников? Что в Казахстаане (откуда это исследование), что в России: месячное ТУ по принципу "взлет-посадка" и алга. Лети, дорогой товарищ, осуществляй диагностику.
[/quote]
А где пройти толковую подготовку? Я ранее по КТ, МРТ не училась.
Знаете, это как найти место, где за 1 месяц толково учат Рентгену-УЗИ.
Андрей Юрьевич