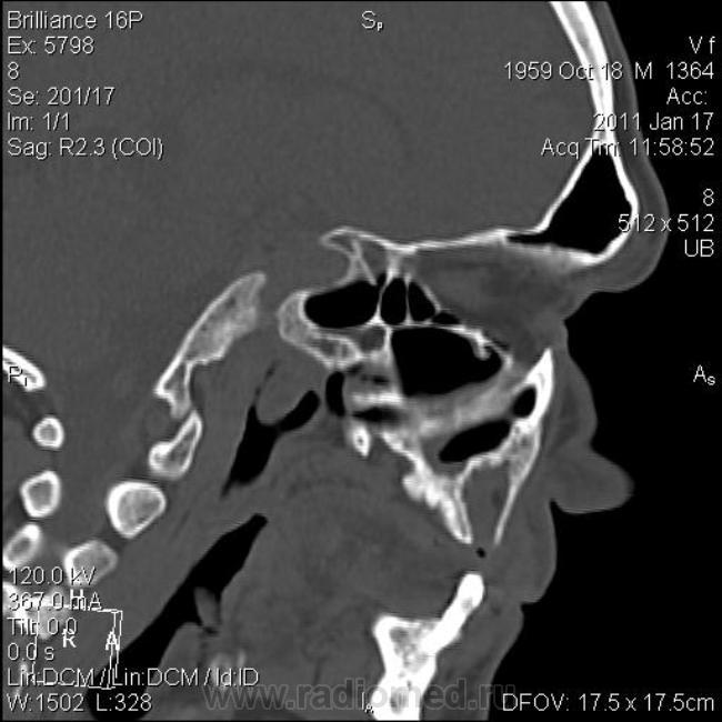
КТ головного мозга. Случайная находка. Жалоб "на челюсти" нет.

Пол пациента: 
Тип патологии: 
Область исследования: 
Методы исследования: 

Мужчине 51 год. Периферический рак легкого. Очаговых изменений головного мозга не нашла. Пациент не критичен к своему состоянию (никуда не поеду, пусть как есть остается), поэтому отсутствие жалоб еще ничего не значит. 

Контуры внутренние деструктивной полости изъеденные, кость вздута, но внешне не видно. В центре уровень?  с плотностью 30 ед.Н. Адамантинома? С зубными делами практически не сталкиваюсь. Нужна Ваша помощь. Какие будут идеи, уважаемые коллеги?

     

Запись в истории: эйфоричен, не критичен к себе, со слов жены отказался поехать в онкодиспансер для лечения. КТ с целью посмотреть (жена - медик).

  • https://radiomed.ru/sites/default/files/styles/case_slider_image/public/user/2841/chelyust0002.jpg?itok=zU0k_yeP
  • https://radiomed.ru/sites/default/files/styles/case_slider_image/public/user/2841/chelyust0003.jpg?itok=fXnAaNoA
  • https://radiomed.ru/sites/default/files/styles/case_slider_image/public/user/2841/chelyust0004.jpg?itok=U7x0v6tx
  • https://radiomed.ru/sites/default/files/styles/case_slider_image/public/user/2841/chelyust0005.jpg?itok=gbHW4qJD
  • https://radiomed.ru/sites/default/files/styles/case_slider_image/public/user/2841/chelyust0006.jpg?itok=Cdj8-0mw
  • https://radiomed.ru/sites/default/files/styles/case_slider_image/public/user/2841/chelyust0007.jpg?itok=J8BQdLGX
  • https://radiomed.ru/sites/default/files/styles/case_slider_image/public/user/2841/chelyust0008.jpg?itok=ZOnl6vRZ
  • https://radiomed.ru/sites/default/files/styles/case_slider_image/public/user/2841/chelyust0009.jpg?itok=sAlN-oAz
  • https://radiomed.ru/sites/default/files/styles/case_slider_image/public/user/2841/chelyust0010.jpg?itok=yviK4B6m
  • https://radiomed.ru/sites/default/files/styles/case_slider_image/public/user/2841/chelyust0011.jpg?itok=__vEWvk5
  • https://radiomed.ru/sites/default/files/styles/case_slider_image/public/user/2841/chelyust0012.jpg?itok=YfVjPKj1
  • https://radiomed.ru/sites/default/files/styles/case_slider_image/public/user/2841/chelyust0013.jpg?itok=7rYSsbRw
  • https://radiomed.ru/sites/default/files/styles/case_slider_image/public/user/2841/chelyust0014.jpg?itok=492eLNHy
  • https://radiomed.ru/sites/default/files/styles/case_slider_image/public/user/2841/chelyust0015.jpg?itok=pOy1Cj93
  • https://radiomed.ru/sites/default/files/styles/case_slider_image/public/user/2841/chelyust0016.jpg?itok=FAahqfqx
  • https://radiomed.ru/sites/default/files/styles/case_slider_image/public/user/2841/chelyust0017.jpg?itok=z1cjc1s1
ID:11295
v1tal аватар
Не на сайте
Был на сайте: 4 года 9 месяцев назад
Зарегистрирован: 07.06.2008 - 19:41
Публикации: 1779

Хронический остеомиелит верхней челюсти. А плотность содержимого?

 

Ой хочу поправиться, только анамнез прочитал blush, с учетом наличие злокачественного новообразования возможно наличие остеолитических очагов верхней челюсти. 

"Знаешь, у некоторых врачей есть комплекс мессии — им необходимо спасать мир. А у тебя комплекс Рубика — тебе необходимо решать головоломки."

ЛГ аватар
Не на сайте
Был на сайте: 8 лет 10 месяцев назад
Зарегистрирован: 06.01.2010 - 12:31
Публикации: 3523

Конечно, одно другому не мешает... Написала адамантиному под вопросом, рекомендовала консультацию стоматолога. На мтс вроде не очень похоже, на остеомиелит - тоже.  Мягкотканного компонента - нуль. Как найду что-нибудь... и с большими глазами сюда)).

Nela аватар
Не на сайте
Был на сайте: 6 лет 3 недели назад
Зарегистрирован: 12.05.2009 - 20:43
Публикации: 1847

По-моему на хр. воспалительный процесс похоже. А нельзя ли его стоматологу показать?

ЛГ аватар
Не на сайте
Был на сайте: 8 лет 10 месяцев назад
Зарегистрирован: 06.01.2010 - 12:31
Публикации: 3523

буду под дверью стоматолога стоять. 

Андрей Юрьевич аватар
Не на сайте
Был на сайте: 3 дня 13 часов назад
Зарегистрирован: 16.11.2008 - 22:16
Публикации: 18098

На мой взгляд процесс был, да прошел. Состояние после апикальной кисты удаленного зуба

Андрей Юрьевич

Popovpavel аватар
Не на сайте
Был на сайте: 7 лет 2 месяцев назад
Зарегистрирован: 08.06.2009 - 00:23
Публикации: 649

Я думаю, это радикулярная киста с вторичным гиперостозом стенок воспалительного характера. Не уверен, что это состояние можно назвать остеомиелитом.

На метастаз и адамантиному непохоже.

ЛГ аватар
Не на сайте
Был на сайте: 8 лет 10 месяцев назад
Зарегистрирован: 06.01.2010 - 12:31
Публикации: 3523

До кабинета стоматолога дело не дошло. Просто триллер получился... пациент отказался от осмотра, мол, выписывают, как заболит - пойду в поликлинику. А когда пришел за диском с DICOM, у меня в ординаторской была стоматолог. Ей-богу случайно!)) Осмотрели ротовую полость. Хоромlaugh. Слизистая совершенно нормальная. Потом мы тем же хором его анамнестически "пытали" - каждое слово вытягивая словно клещами. Затащить в стомат.кресло не удалось, но вывод стоматолога после просмотра КТ таков - вероятнее всего, киста с периодическим нагноением. 

Стоматолог в нужное время и в нужном месте порой является решающим фактором в постановке диагнозаdevil.

Спасибо всем высказавшим свое мнение!

Сергей Нагорный аватар
Не на сайте
Был на сайте: 9 лет 8 месяцев назад
Зарегистрирован: 13.07.2010 - 22:49
Публикации: 1370

Popovpavel wrote:

Я думаю, это радикулярная киста с вторичным гиперостозом стенок воспалительного характера. Не уверен, что это состояние можно назвать остеомиелитом.

На метастаз и адамантиному непохоже.

Полностью соглсасен.

С уважением, С.Н. Нагорный

Катенёв Валентин Львович аватар
Не на сайте
Был на сайте: 7 лет 2 недели назад
Зарегистрирован: 22.03.2008 - 22:15
Публикации: 54876

Случай в свое время прошел мимо. Интересный случай. Да, и в нижней челюсти, по всей видимости, имеет место патология.

Приложения: 
1._lyudmila_grigorevna..jpg