Кт головного мозга, травма.

Молодой человек 24 лет, вчера избит. Поступил в сознании, оринтирован, заторможен несколько.

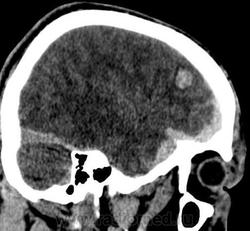
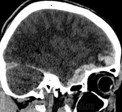
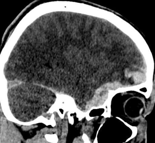
Уважаемые коллеги, как Вы считаете: помимо всего прочего, имеет ли место субдуральная гематома в передне-медиальном отделе средней черепной ямки справа или это проявление субарахноидального кровоизляиния? Мнения наших экспертов разошлись)). Спасибо!

 

  • https://radiomed.ru/sites/default/files/styles/case_slider_image/public/user/7926/chmt17.10_9.jpg?itok=J7WTjtYx
  • https://radiomed.ru/sites/default/files/styles/case_slider_image/public/user/7926/chmt17.10_10.jpg?itok=zWYWv0z7
  • https://radiomed.ru/sites/default/files/styles/case_slider_image/public/user/7926/chmt17.10_11.jpg?itok=BvTLk52n
  • https://radiomed.ru/sites/default/files/styles/case_slider_image/public/user/7926/chmt17.10_12.jpg?itok=WnBaBX8k
  • https://radiomed.ru/sites/default/files/styles/case_slider_image/public/user/7926/chmt17.10_13.jpg?itok=wrOv5tMF
  • https://radiomed.ru/sites/default/files/styles/case_slider_image/public/user/7926/chmt17.10_2.jpg?itok=p42FVTjj
  • https://radiomed.ru/sites/default/files/styles/case_slider_image/public/user/7926/chmt17.10_3.jpg?itok=SxYyicwg
  • https://radiomed.ru/sites/default/files/styles/case_slider_image/public/user/7926/chmt17.10_4.jpg?itok=j2wDCjl6
  • https://radiomed.ru/sites/default/files/styles/case_slider_image/public/user/7926/chmt17.10_5.jpg?itok=smCHej-v
  • https://radiomed.ru/sites/default/files/styles/case_slider_image/public/user/7926/chmt17.10_6.jpg?itok=rRle1Ayo
  • https://radiomed.ru/sites/default/files/styles/case_slider_image/public/user/7926/chmt17.10_7.jpg?itok=m2MJJXav
ID:51731
Сергей Нагорный аватар
Не на сайте
Был на сайте: 9 лет 10 месяцев назад
Зарегистрирован: 13.07.2010 - 22:49
Публикации: 1370

Склоняюсь к тому, что имеет место.

С уважением, С.Н. Нагорный

Popovpavel аватар
Не на сайте
Был на сайте: 7 лет 4 месяцев назад
Зарегистрирован: 08.06.2009 - 00:23
Публикации: 649

Я думаю, это ЭПИдуральная гематома. Перелома там точно нет?

Сергей Нагорный аватар
Не на сайте
Был на сайте: 9 лет 10 месяцев назад
Зарегистрирован: 13.07.2010 - 22:49
Публикации: 1370

Popovpavel wrote:

Я думаю, это ЭПИдуральная гематома. Перелома там точно нет?

Так было бы слишком просто smiley Если бы был, то этой темы не родилось бы, думаю.

С уважением, С.Н. Нагорный

nnemo аватар
Не на сайте
Был на сайте: 11 лет 3 месяцев назад
Зарегистрирован: 13.09.2011 - 18:32
Публикации: 561

я - за субдуралку... но кости пересмотреть не помешало бы...

И.Бондаренко аватар
Не на сайте
Был на сайте: 1 час 51 минут назад
Зарегистрирован: 13.09.2011 - 22:55
Публикации: 9208

По моему присутствует контузионный очаг в лобной доле справа, субдуральная гематома и САК.

И.Бондаренко аватар
Не на сайте
Был на сайте: 1 час 51 минут назад
Зарегистрирован: 13.09.2011 - 22:55
Публикации: 9208

Заодно и перелом затылочной кости слева.

Любовь С. аватар
Не на сайте
Был на сайте: 9 лет 7 месяцев назад
Зарегистрирован: 23.12.2010 - 01:58
Публикации: 2324

Когда парня били, он упал и ударился затылком. Кроме линейного перелома затылочной кости слева, других переломов нет, искала очень тщательно.

Спасибо за мнения! Выставила ушибы лобной и височной доли справа, плащевидную субдуральную гематому лобно-теменно-височной области до 3 мм толщиной с переходом на основание черепа, где в передне-медиальном отделе ср.черепной ямки гематома до 10 мм толщиной, + САК; периорбитальные ушибы мягких тканей. Пока нейрохирурги приняли решение вести пациента консервативно.

"Предоставляя весь смысл и совершенство в распоряжение одного только Бога, вы избавляете себя от бездны хлопот." Джон Уитборн.