кт грудной клетки

Пол пациента: 
Методы исследования: 

Нужна помощь.Больной 77 лет госпит-н в хир отд. с диагнозом ЖКБ.Больному стало хуже стали беспокоять одышк. чувство нехватка воздуха.

  • https://radiomed.ru/sites/default/files/styles/case_slider_image/public/user/17529/img-0002-00001_5.jpg?itok=apLEagdV
  • https://radiomed.ru/sites/default/files/styles/case_slider_image/public/user/17529/img-0003-00001_6.jpg?itok=eoR9s92q
  • https://radiomed.ru/sites/default/files/styles/case_slider_image/public/user/17529/img-0004-00001_8.jpg?itok=SVYJoQuB
  • https://radiomed.ru/sites/default/files/styles/case_slider_image/public/user/17529/img-0005-00001_7.jpg?itok=d5aSuSYe
  • https://radiomed.ru/sites/default/files/styles/case_slider_image/public/user/17529/img-0006-00001_6.jpg?itok=BchDE7v-
  • https://radiomed.ru/sites/default/files/styles/case_slider_image/public/user/17529/img-0007-00001_7.jpg?itok=PSPRPADv
  • https://radiomed.ru/sites/default/files/styles/case_slider_image/public/user/17529/img-0008-00001_7.jpg?itok=iiNF5gax
  • https://radiomed.ru/sites/default/files/styles/case_slider_image/public/user/17529/img-0010-00001_7.jpg?itok=YQJlw3PK
  • https://radiomed.ru/sites/default/files/styles/case_slider_image/public/user/17529/img-0011-00001_7.jpg?itok=ov6T1-T1
  • https://radiomed.ru/sites/default/files/styles/case_slider_image/public/user/17529/img-0012-00001_5.jpg?itok=6fE8wPH9
  • https://radiomed.ru/sites/default/files/styles/case_slider_image/public/user/17529/img-0013-00001_7.jpg?itok=CMeaDxD_
  • https://radiomed.ru/sites/default/files/styles/case_slider_image/public/user/17529/img-0014-00001_7.jpg?itok=zlxKyAQJ
  • https://radiomed.ru/sites/default/files/styles/case_slider_image/public/user/17529/img-0015-00001_7.jpg?itok=mXHznTI0
  • https://radiomed.ru/sites/default/files/styles/case_slider_image/public/user/17529/img-0016-00001_7.jpg?itok=XTpo36i_
  • https://radiomed.ru/sites/default/files/styles/case_slider_image/public/user/17529/img-0017-00001_7.jpg?itok=z41swjwW
  • https://radiomed.ru/sites/default/files/styles/case_slider_image/public/user/17529/img-0018-00001_7.jpg?itok=drO3ryUJ
  • https://radiomed.ru/sites/default/files/styles/case_slider_image/public/user/17529/img-0019-00001_7.jpg?itok=5pvzXiy4
ID:30341
Асель аватар
Не на сайте
Был на сайте: 11 лет 1 месяц назад
Зарегистрирован: 13.12.2012 - 19:40
Публикации: 81

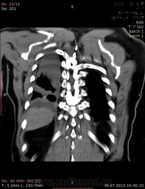
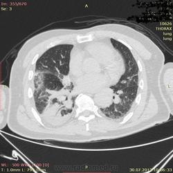
ОАК лейк 18.СОЭ 30 мм\ч.Ваше мнение.Терапвет зак Внеболь правсторон. пневмония.Торак .хирург Синдром средний доли ?Рек - но сдать анализ  на ТБС, КТ грудн.клетки.

Сан Саныч1 аватар
Не на сайте
Был на сайте: 11 месяцев 2 недели назад
Зарегистрирован: 07.06.2010 - 21:17
Публикации: 2114

Пневмония, гидроторакс. Почему не начали с рентгенографии?

Хочешь сделать что-то нормально - сделай это сам!

Асель аватар
Не на сайте
Был на сайте: 11 лет 1 месяц назад
Зарегистрирован: 13.12.2012 - 19:40
Публикации: 81

На Рентгене инфильтративная тень н/доли справа с четкими ровными контурами

Любовь С. аватар
Не на сайте
Был на сайте: 9 лет 5 месяцев назад
Зарегистрирован: 23.12.2010 - 01:58
Публикации: 2324

Инфаркт-пневмония при ТЭЛА в диф.ряд. Хотя ЛА и не показана, всё вполне подходит.

"Предоставляя весь смысл и совершенство в распоряжение одного только Бога, вы избавляете себя от бездны хлопот." Джон Уитборн.

Андрей Юрьевич аватар
Не на сайте
Был на сайте: 4 дня 2 минуты назад
Зарегистрирован: 16.11.2008 - 22:16
Публикации: 18098

Внезапно возникшая одышка в послеоперационном периоде всегда подозрительна на ТЭЛА плюс треугольная тень на рентгенограмме с ровными, четкими контурами. Надо искать эмболы в легочных артериях (кстати, оптимальная отсрочка после введения контраста - 20сек). Ясно также, что синдром средней доли тут никаким боком.

Андрей Юрьевич

А. Горюнов аватар
Не на сайте
Был на сайте: 1 месяц 1 час назад
Зарегистрирован: 07.10.2012 - 12:12
Публикации: 2744

Предположительно: ТЭЛА. Данные полного КТ-исследования с внутривенным болюсным контрастированием помогли бы в диагностике. 

Анатолий Петрович

Андрей Юрьевич аватар
Не на сайте
Был на сайте: 4 дня 2 минуты назад
Зарегистрирован: 16.11.2008 - 22:16
Публикации: 18098

Так есть же контрастирование.

Андрей Юрьевич

Любовь С. аватар
Не на сайте
Был на сайте: 9 лет 5 месяцев назад
Зарегистрирован: 23.12.2010 - 01:58
Публикации: 2324

КТ тут и с контрастом есть, только легочные артерии не показаны.

P.S. Синхронно как))

"Предоставляя весь смысл и совершенство в распоряжение одного только Бога, вы избавляете себя от бездны хлопот." Джон Уитборн.

А. Горюнов аватар
Не на сайте
Был на сайте: 1 месяц 1 час назад
Зарегистрирован: 07.10.2012 - 12:12
Публикации: 2744

Любовь С. wrote:

КТ тут и с контрастом есть, только легочные артерии не показаны.

P.S. Синхронно как))

Поэтому и просил ПОЛНОГО (полноценного) контрастного КТ-исследования, по которому возможна профессиональная диагностика ТЭЛА. А Вы синхронно отметили, что я, возможно,  не увидел фрагмент контрастного исследования.    

Анатолий Петрович

Андрей Юрьевич аватар
Не на сайте
Был на сайте: 4 дня 2 минуты назад
Зарегистрирован: 16.11.2008 - 22:16
Публикации: 18098

Видите, коллега, значитца  обои мы тут такие непонятливые. Хотя до сих пор не понял, что это

А. Горюнов wrote:
...просил ПОЛНОГО (полноценного) контрастного КТ-исследования..

то ли Вы рекомендуете новое исследование сделать, то ли все срезы данного показать?

Андрей Юрьевич

А. Горюнов аватар
Не на сайте
Был на сайте: 1 месяц 1 час назад
Зарегистрирован: 07.10.2012 - 12:12
Публикации: 2744

Уважаемый, Андрей Юрьевич! Представлены несколько КТ-изображений, среди которых два с не вполне внятным контрастированием. Разве этого достаточно для диагностики ТЭЛА? Или есть Дайком-формат, которого у меня нет?

Анатолий Петрович

Андрей Юрьевич аватар
Не на сайте
Был на сайте: 4 дня 2 минуты назад
Зарегистрирован: 16.11.2008 - 22:16
Публикации: 18098

Андрей Юрьевич wrote:

......Хотя до сих пор не понял, что это

А. Горюнов wrote:
...просил ПОЛНОГО (полноценного) контрастного КТ-исследования..

то ли Вы рекомендуете новое исследование сделать, то ли все срезы данного показать?

А. Горюнов wrote:

..... Разве этого достаточно для диагностики ТЭЛА? Или есть Дайком-формат, которого у меня нет?

Вопросом на вопрос? Теперь, вроде бы, понял.

Андрей Юрьевич

Асель аватар
Не на сайте
Был на сайте: 11 лет 1 месяц назад
Зарегистрирован: 13.12.2012 - 19:40
Публикации: 81

До операций не дошли , готовили на операцию.Терапевты слушают хрипы справа.Инфильтративная тень контрастировалось с плотностью 123 ед.Н. При пневмоний  контрастируется?

Андрей Юрьевич аватар
Не на сайте
Был на сайте: 4 дня 2 минуты назад
Зарегистрирован: 16.11.2008 - 22:16
Публикации: 18098

При пневмонии - да, как при любом воспалении (при обтурационном пневмоните, если выо раке ведете речь, тоже) конкретные цифры значения не имеют значения. С какой отсрочкой от введения контраста проводили исследование?

Андрей Юрьевич

Асель аватар
Не на сайте
Был на сайте: 11 лет 1 месяц назад
Зарегистрирован: 13.12.2012 - 19:40
Публикации: 81

Мы пользовались программой специально для ТЭЛА, отсроченный не делали(КТ Филипс ).Подскажите пожалуйста какие фазы пользуется  для дифференцировки патологий грудной клетки?Карандаш, трейкер куда ставить?

Андрей Юрьевич аватар
Не на сайте
Был на сайте: 4 дня 2 минуты назад
Зарегистрирован: 16.11.2008 - 22:16
Публикации: 18098

Нет-нет-нет, давайте разбираться, так не бывает, отсрочка есть всегда. Хоть самая минимальная, но есть. На одних аппаратах 8 секунд, на других 5. Вот давайте и выясним: с какой отсрочкой написана ваша программа на ТЭЛА? И от чего? От начала введения контраста или от появления контраста на болюс трекере?

Андрей Юрьевич

Асель аватар
Не на сайте
Был на сайте: 11 лет 1 месяц назад
Зарегистрирован: 13.12.2012 - 19:40
Публикации: 81

Мы трайкер ставим ниже бифуркаций трахей, карандаш метку делаем легочный ствол и дальше автоматический идет контрастирование , и все ветвей ЛС  четко видны.В этой программе нет отсрочка.Когда приезжал апликейшн , он ни разу не показал контрастирование  грудной клетки...

Андрей Юрьевич аватар
Не на сайте
Был на сайте: 4 дня 2 минуты назад
Зарегистрирован: 16.11.2008 - 22:16
Публикации: 18098

Хорошо. Раз "...все ветвей ЛС четко видны...", значт у вас все отработано и не надо ничего менять. Это и есть протокол "...контрастирования грудной клетки..."

Андрей Юрьевич

Сан Саныч1 аватар
Не на сайте
Был на сайте: 11 месяцев 2 недели назад
Зарегистрирован: 07.06.2010 - 21:17
Публикации: 2114

У нас томограф Тошиба Активион 16 срезов, стандартная программа на ТЭЛА - отсрочка 5 секунд от начала введения инжектором КВ.

Хочешь сделать что-то нормально - сделай это сам!

Асель аватар
Не на сайте
Был на сайте: 11 лет 1 месяц назад
Зарегистрирован: 13.12.2012 - 19:40
Публикации: 81

спасибо за информаций.