- https://radiomed.ru/sites/default/files/styles/case_slider_image/public/user/2841/26let0002.jpg?itok=zsfV_0DQ
- https://radiomed.ru/sites/default/files/styles/case_slider_image/public/user/2841/26let0003.jpg?itok=f4LfRp3B
- https://radiomed.ru/sites/default/files/styles/case_slider_image/public/user/2841/26let0004.jpg?itok=RLxPT8b-
- https://radiomed.ru/sites/default/files/styles/case_slider_image/public/user/2841/26let0005.jpg?itok=fgRJ68im
- https://radiomed.ru/sites/default/files/styles/case_slider_image/public/user/2841/26let0006.jpg?itok=wVU6w7f3
- https://radiomed.ru/sites/default/files/styles/case_slider_image/public/user/2841/26let0007.jpg?itok=xYLvlYG-
- https://radiomed.ru/sites/default/files/styles/case_slider_image/public/user/2841/26let0008.jpg?itok=hZRExyVe
- https://radiomed.ru/sites/default/files/styles/case_slider_image/public/user/2841/26let0009.jpg?itok=Mr159hJY
- https://radiomed.ru/sites/default/files/styles/case_slider_image/public/user/2841/26let0010.jpg?itok=ebRP6u5l
- https://radiomed.ru/sites/default/files/styles/case_slider_image/public/user/2841/26let0011.jpg?itok=zTUPuUEi
- https://radiomed.ru/sites/default/files/styles/case_slider_image/public/user/2841/26let0012.jpg?itok=8I6NhPUK
- https://radiomed.ru/sites/default/files/styles/case_slider_image/public/user/2841/26let0013.jpg?itok=f84XRtsp
- https://radiomed.ru/sites/default/files/styles/case_slider_image/public/user/2841/26let0014.jpg?itok=GMWwkh2T
- https://radiomed.ru/sites/default/files/styles/case_slider_image/public/user/2841/26let0016.jpg?itok=w3KAammE
- https://radiomed.ru/sites/default/files/styles/case_slider_image/public/user/2841/26let0017.jpg?itok=789sHJuJ
ID:54704
А что- нормальные отношения.Я всегда за то чтобы инструмент не валялся гдепопало.
Кому попало: жене или сестре?
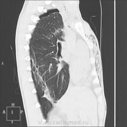
Правосторонний гемопневмоторакс .Подкожная эмфизема передней грудной стенки справа.
Жена брата ударила отвёрткой пациента. Наверное, не поздравил с приближающимся праздником... Или иная, не менее весомая причина ...для удара в спину)).
Раневой канал отвёртки интересный, раньше не встречалось, вот и выставила. Длина канала 12 см. Всё верно, малый гемопневмоторакс, пневмомедиастинум, межмышечная эмфизема.
Не совсем мне ясно, что с нижней долей справа - такой дисковидный ателектаз?
https://www.youtube.com/channel/UCBGxoBUOqUT_bFhSeUgtWEw
Из праздников пока имеем только Прощённое Воскресенье..., но женщины бывают непредсказуемы.
А раневой канал в спине на этих изображениях где-нибудь видно? Воздух весь спереди собрался, оттого что долго лежал на спине?
На дисковидный ателектаз как-то не похоже..., может преморбидный фиброз был? Неплохо бы ФлГ за прошлые годы запросить. Для ясности.
Неоднозначно всё
Не сильно рублю в КТ - покажите пневмомедиастинум.
Раневой канал в виде четкого округлого дефекта в правом легком, начинается от 4-го межреберья по паравертебральной линии справа, идёт кпереди и немного кверху, заканчивается слепо на уровне середины просвета трахеи (справа от неё).
Может, и фиброз.
Учитывая, что весь сагитальный размер грудной клетки на уровне раны 18 см (щуплый юноша), можно сказать, что пациент легко отделался...
https://www.youtube.com/channel/UCBGxoBUOqUT_bFhSeUgtWEw
Пневмомедиастинум. Воздух собирается, где ему вздумается, и пациент так и лежал на животе с поступления - на спине рана, обработка....
https://www.youtube.com/channel/UCBGxoBUOqUT_bFhSeUgtWEw
Трахея повреждена значит вероятен пневмомедиастинум.Ну совсем небольшой.
Нет, Евгений. Трахея не повреждена, вохдух из плевральной полости в средостение поступает при травмах очень часто. Необязательно повреждение верхних дыхательных путей.
https://www.youtube.com/channel/UCBGxoBUOqUT_bFhSeUgtWEw
Смотрите внимательней.. раневой канал не заканчивается слепо. Он заканчивается точно в просвете трахеи.И воздух в средостении будет увеличиваться.распространится на шею.
Интересный случай. Спасибо Людмила Григорьевна, с наступающим Вас праздником!
Евгений, перед лицом своих товарищей торжественно клянусь: раневой канал заканчивается слепо в 1 см от правой боковой стенки трахеи
https://www.youtube.com/channel/UCBGxoBUOqUT_bFhSeUgtWEw
Спасибо, Валентин Львович!
https://www.youtube.com/channel/UCBGxoBUOqUT_bFhSeUgtWEw
"Воздух собирается, где ему вздумается".
Однако, законы физики НЕ нарушаемы, в отличие от «законов», придуманных людьми. Всё же непонятно: как воздух (тот, что вышел за пределы плевральной полости) распространился в основном на переднюю грудную стенку и по ней до уровня ниже купола диафрагмы, если только раненый не лежал на спине и долго.
Неоднозначно всё
Верю верю ..Не понятно -что процесс пустили на самотёк.Авось рассосётся-помазали зелёнкой и всё.Где ревизия раневого канала.дренирование плевральной полости.
Про физику ничего не могу сказать - не знаю, сужу только со слов пациента.
ПХО сделана, по мнению травматолога, сейчас необходимости в дренировании нет - наблюдение.
https://www.youtube.com/channel/UCBGxoBUOqUT_bFhSeUgtWEw
Если ревизию и обработку не делали, значит верят в Чудо. В этом случае сможем увидеть и продолжение истории. А дренирование плевральной полости пожалуй не требуется: воздуха в ней немного.
Неоднозначно всё
Если всё-таки ПХО(зелёнка). Будем надеяться на бога и заботливый уход истицы.
Это кто ж истица? Убийца неудачливая?
Неоднозначно всё
Невестки просто так на деверей не нападают. Небось домогался. См. к/ф "Интердевочка".
Андрей Юрьевич
В зависимости от исхода и наказание разное.Так-что невестка кровно заинтересована в благоприятном исходе.А торакальным хирургам помоему всё равно.Своим созерцанием могут обречь девочку на срок.
Людмила Гргорьевна, а объем жидкости каков? А всегда определяю, чтобы не отвечать на вопрос - на каком ребре уровень (это при горизонтальном-то расположении пациента.
Андрей Юрьевич
Объем 200 мл, плотность 60-68 ед.Н.
Андрей Юрьевич, подскажите, какая функция определяет объем на рабочей станции КТ, а то по формуле немалая погрешность да и время тратится.
9-10 марта, надеюсь, получится выставить рентгенограммы в динамике.
https://www.youtube.com/channel/UCBGxoBUOqUT_bFhSeUgtWEw
"У каждого Абрама своя программа" (с). У нас это Volume Calculation, но считать все равно приходится по срезам. Время действительно тратится, но оно этого стоит. А что подсчет грубоват, так и классификация гидроторакса такая же: "плюс-минус стакан" :)))
Андрей Юрьевич
На счет стаканов верно)). Поэтому и считаю по формуле V=(максимальные высота х ширина х глубина):2 .
https://www.youtube.com/channel/UCBGxoBUOqUT_bFhSeUgtWEw
Ну, это уж очень грубо. Поточнее - сумма площадей в см2, измеренных через каждый 1см; или через 2см, умноженаая на 2. Но, на Вашем навороченном аппарате, должна быть более современная функция. А как Вы считаете объемы субдуральных гематом/внутримозговых кровоизлияний?
Андрей Юрьевич
Подсчет гидроторакса (полуобъем наклонной призмы) с погрешностью до 100-200 мл при больших гидротораксах. Почти такая же формула используется для подсчета объема вилочковой железы у детей (по Воеводину V = произведение максимальных 3-х размеров х 0,504).
Сферические гематомы головного мозга расчитываю по формуле объема шара V=4,19 х радиус3. Неправильной формы V=сумма площадей каждый см (самая трудоемкая и самая неточная). Если внутримозговая гематома маленькая, менее 2 см в диаметре, то не считаю, просто указываю размеры. Субдуралки и эпидуралки - тут указываю максимальную толщину, длину полудуги в сагитальной и фронтальной плоскости.
Томограф у нас по современным меркам не очень-то навороченный, Filips brilliance 16-Slice. Надо поискать, может, есть Volume Calculation
https://www.youtube.com/channel/UCBGxoBUOqUT_bFhSeUgtWEw
1. Самая трудоемкая - согласен, а почему самая неточная.
2. Л.Г., у Вас же школа Склифа, как же без объема-то?
3. Volume Calculation - на нашем КТ это тоже по площадям (т.е. достаточно трудоемко, см. п.1)
Андрей Юрьевич
1. Площадь неправильной фигуры на срезе считаю как произведение максимальной длины и ширины - а фигура далека от прямоугольника)). С V.calc., наверное, гораздо точнее выходит.
2. Склиф - школа хорошая, преподавали КТ-травму Бармина и Забавская. И убеждали, что совпадение объемов при подсчете на компьютере и во время операции - крайне редки, много факторов, влияющих на это несовпадение. Одно дело взяли в операционную через 5 мин после КТ (статичная сиюминутная картинка ведь...). Другое дело - когда больше, чем через час. А у нас торопливость в вопросах оперативной нейрохирургии не приветствуется...
Дали там же, в Склифе, 2 варианта подсчета любых гематом: 1)сумма площадей срезов каждый см; 2) Вы будете смеяться, но... половина произведения максимальных 3-х размеров.
Реальность несколько отличается. Я поначалу считала по обоим вариантам, практически результаты совпадали. НО! За прошедшие 1,5 года работы на КТ в нашей ЦРБ были единичные операции по поводу гематом (ВМГ, СДГ,ЭДГ), и всегда разница была, в пользу большего или меньшего размера на операции. Тут дело не столько в объеме, сколько в дислокации - нет её или начальная до 4 мм - не оперируют, даже насчитай я 100 мл субдуралку.
Вычисления в итоге оказались, мягко говоря, ненужными нейрохирургам. Так что сейчас я считаю объем оболочечных гематом только при дислокации или локализации в ЗЧЯ.
https://www.youtube.com/channel/UCBGxoBUOqUT_bFhSeUgtWEw
Я не верю в благоприятный исход.Завтра инфицированная кровь превратится в эмпиему.А это-Кикоз.Раневой канал зияет .Завтра это гнойный медиастенит.Где находится ваше богоугодное зпведение?
Людмила Григорьевна, с Праздником! Надеюсь, что я Вас ничем не обидел :))). Я ведь тоже учился в Склифе, но (т.к. креатива у меня ни на грош)продолжаю тупо считать и все ВКК, и объемы. Еще раз с Праздником!
Андрей Юрьевич
Спасибо, Андрей Юрьевич! Никаких обид!
https://www.youtube.com/channel/UCBGxoBUOqUT_bFhSeUgtWEw
Евгений, наше богоугодное заведение находится в Тверской области.
https://www.youtube.com/channel/UCBGxoBUOqUT_bFhSeUgtWEw
Что не помешало ему вызвать обширную подкожную эмфизему.
К подкожной эмфизме пневмомедиастинум не имеет никакого анатомического отношения. Пока не имеет.
Хотелось бы знать чем закончился семейный междусобойчик....
Завтра отрапортую, чесслово)), выходной у меня сегодня.
https://www.youtube.com/channel/UCBGxoBUOqUT_bFhSeUgtWEw
вчера в удовлетворительном состоянии. Находился в стационаре 9 дней. Рентгенография ОГК при поступлении, контроль и перед выпиской. Извините за качество снимков.
https://www.youtube.com/channel/UCBGxoBUOqUT_bFhSeUgtWEw
Так грустно...
Неоднозначно всё
Одинокий Леопард, не надо грустить, у Вас всё будет хорошо. Хотите яблочка?
https://www.youtube.com/channel/UCBGxoBUOqUT_bFhSeUgtWEw
Да. Пусть оно будет гарниром. К Вам, Прекрасная Л.Г.))
Неоднозначно всё
Клинический диагноз: Карма наверное такая у этой отвертки.
Петрович, я мало съедобна)), да и пост вроде не закончился...
Но спасибо на добром слове!))
Михаил Анатольевич, я и сама часто ставлю диагноз кармы, только как же он патанотомически выглядит
? С верификацией будут проблемы... А тут - хорошо, что хорошо закончилось.
https://www.youtube.com/channel/UCBGxoBUOqUT_bFhSeUgtWEw
Ну, вот! Л.Г. сняла траур, а заодно Лягушачью кожу сбросила. И вновь она – Прекрасная Людмила. Теперь ещё больше кушать хочется)).
Неоднозначно всё