КТ коленных суставов. Травма. Женщина 31г

Наша врач, травма была в понедельник, подскользнулась и подвернула ногу, "думала, что пройдёт". Предыдущая травма в ноябре. Сейчас шикарный кровоподтек по внутренней стороне голени.

 

 

 

  • https://radiomed.ru/sites/default/files/styles/case_slider_image/public/user/2841/31__zhen_travma_kolen0002_0.jpg?itok=bcZG9G6U
  • https://radiomed.ru/sites/default/files/styles/case_slider_image/public/user/2841/31__zhen_travma_kolen0003.jpg?itok=6odDvwXl
  • https://radiomed.ru/sites/default/files/styles/case_slider_image/public/user/2841/31__zhen_travma_kolen0004.jpg?itok=lHD1wXH0
  • https://radiomed.ru/sites/default/files/styles/case_slider_image/public/user/2841/31__zhen_travma_kolen0005.jpg?itok=Tffs3HKp
  • https://radiomed.ru/sites/default/files/styles/case_slider_image/public/user/2841/31__zhen_travma_kolen0006.jpg?itok=1ZEU35Qf
  • https://radiomed.ru/sites/default/files/styles/case_slider_image/public/user/2841/31__zhen_travma_kolen0007.jpg?itok=6CmqUezM
  • https://radiomed.ru/sites/default/files/styles/case_slider_image/public/user/2841/31__zhen_travma_kolen0008.jpg?itok=GmS5BLul
  • https://radiomed.ru/sites/default/files/styles/case_slider_image/public/user/2841/31__zhen_travma_kolen0009.jpg?itok=Di89lY3M
  • https://radiomed.ru/sites/default/files/styles/case_slider_image/public/user/2841/31__zhen_travma_kolen0010.jpg?itok=tiPMtANx
  • https://radiomed.ru/sites/default/files/styles/case_slider_image/public/user/2841/31__zhen_travma_kolen0011.jpg?itok=vNtAxlLq
  • https://radiomed.ru/sites/default/files/styles/case_slider_image/public/user/2841/31__zhen_travma_kolen0012.jpg?itok=ATRay2lt
  • https://radiomed.ru/sites/default/files/styles/case_slider_image/public/user/2841/31__zhen_travma_kolen0013.jpg?itok=fYfQW3Bo
  • https://radiomed.ru/sites/default/files/styles/case_slider_image/public/user/2841/31__zhen_travma_kolen0014.jpg?itok=pZD6GQWC
ID:53981
Vikkur аватар
Не на сайте
Был на сайте: 4 года 8 месяцев назад
Зарегистрирован: 24.09.2009 - 14:34
Публикации: 1749

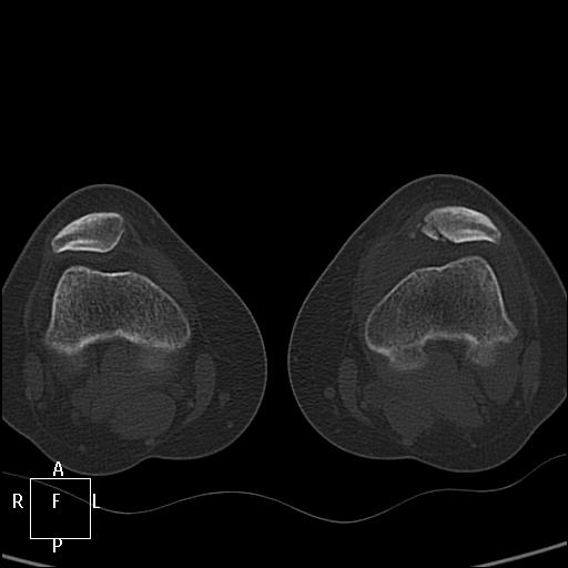
А не могёт это быть варианом строения надколенника, в том смысле не ужели можно подвернув ногу (без удара) разорвать надколенник , как мне увиделось только суставная поверхность повреждена..??А кровоподтек от разыва связок.. хотя скиалогически подумал бы о переломе.. Или это неполный перелом на фоне аномалии..

Виктор.

Zorg аватар
Не на сайте
Был на сайте: 14 лет 7 месяцев назад
Зарегистрирован: 14.03.2011 - 23:13
Публикации: 61

Особый вариант перелома – вертикальный, при котором линия перелома проходит сверху вниз. В подавляющем большинстве случаев такие переломы не смещаются, так как тяга мышцы направлена снизу вверх, то есть вдоль линии перелома.   ( http://travmaorto.ru/103.html )

Скорее всего при подвороте стопы произошел отрыв медиальной связки надколенника. http://www.sportmedicine.ru/knee_norm.php

Если были травмы в прошлом, то нужен архив, сравнить.

Zorg аватар
Не на сайте
Был на сайте: 14 лет 7 месяцев назад
Зарегистрирован: 14.03.2011 - 23:13
Публикации: 61

Гематома или что-то другое?

Приложения: 
31__zhen_travma_kolen0009chto_tut.jpg
Гриша Хата аватар
Не на сайте
Был на сайте: 10 лет 1 неделя назад
Зарегистрирован: 09.02.2011 - 20:40
Публикации: 665

При вывихе надколенника кнаружи происходит отрыв медиального связочного аппарата, иногда с фрагментом надколенника. А вывих вправляется самостоятельно.