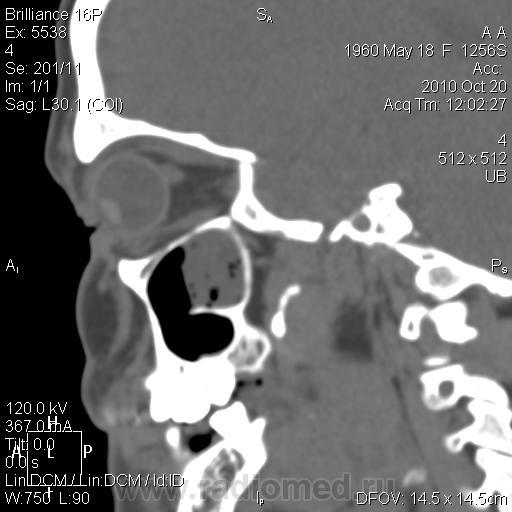
КТ. Нагноение кисты верхнечелюстной пазухи.

Пол пациента: 
Область исследования: 
Методы исследования: 

Женщина 30 лет, жалобы - головная боль, направлена для уточнения характера патологии ППН. Снимков пазух у меня нет.

  • https://radiomed.ru/sites/default/files/styles/case_slider_image/public/user/2841/nagnoenie_kisty0002.jpg?itok=zHTqI0Pq
  • https://radiomed.ru/sites/default/files/styles/case_slider_image/public/user/2841/nagnoenie_kisty0003.jpg?itok=i0kpfCx9
  • https://radiomed.ru/sites/default/files/styles/case_slider_image/public/user/2841/nagnoenie_kisty0004.jpg?itok=U4cDgWL0
  • https://radiomed.ru/sites/default/files/styles/case_slider_image/public/user/2841/nagnoenie_kisty0005.jpg?itok=88_7C-TK
  • https://radiomed.ru/sites/default/files/styles/case_slider_image/public/user/2841/nagnoenie_kisty0006.jpg?itok=yIILhANG
  • https://radiomed.ru/sites/default/files/styles/case_slider_image/public/user/2841/nagnoenie_kisty0007_0.jpg?itok=zdZGcCby
  • https://radiomed.ru/sites/default/files/styles/case_slider_image/public/user/2841/nagnoenie_kisty0008.jpg?itok=RGF_PF3v
  • https://radiomed.ru/sites/default/files/styles/case_slider_image/public/user/2841/nagnoenie_kisty0009.jpg?itok=PBtN2Nd_
  • https://radiomed.ru/sites/default/files/styles/case_slider_image/public/user/2841/nagnoenie_kisty0010_0.jpg?itok=1WvDraih
  • https://radiomed.ru/sites/default/files/styles/case_slider_image/public/user/2841/nagnoenie_kisty0011.jpg?itok=qrTjIauo
ID:9031
Катенёв Валентин Львович аватар
Не на сайте
Был на сайте: 7 лет 2 недели назад
Зарегистрирован: 22.03.2008 - 22:15
Публикации: 54876

Красивое наблюдение, очень впечатляет. На рентгенограммах никогда, по всей видимости, не увидеть такой вариант строения, когда гайморова состоит из двух, разделена костной перегородкой?

ЛГ аватар
Не на сайте
Был на сайте: 8 лет 10 месяцев назад
Зарегистрирован: 06.01.2010 - 12:31
Публикации: 3523

А на КТ несколько раз видела - и вдоль, и поперек перегородка, как правило, случайные находки.

Андрей Юрьевич аватар
Не на сайте
Был на сайте: 1 неделя 18 часов назад
Зарегистрирован: 16.11.2008 - 22:16
Публикации: 18098

А Вы уверены, что это нагноение? Может неоднородная структура обусловлена, пардон, соплями. Марио на радиографии публиковал подобный случай, чуть на операцию человека не взяли.

Андрей Юрьевич

Катенёв Валентин Львович аватар
Не на сайте
Был на сайте: 7 лет 2 недели назад
Зарегистрирован: 22.03.2008 - 22:15
Публикации: 54876

Андрей Юрьевич wrote:
А Вы уверены, что это нагноение? Может неоднородная структура обусловлена, пардон, соплями. Марио на радиографии публиковал подобный случай, чуть на операцию человека не взяли.

Здравствуйте Андрей Юрьевич!

А, что в данном случае говорит  "за сопли"?

Андрей Юрьевич аватар
Не на сайте
Был на сайте: 1 неделя 18 часов назад
Зарегистрирован: 16.11.2008 - 22:16
Публикации: 18098

Катенёв Валентин Львович wrote:

Андрей Юрьевич wrote:
А Вы уверены, что это нагноение? Может неоднородная структура обусловлена, пардон, соплями. Марио на радиографии публиковал подобный случай, чуть на операцию человека не взяли.

Здравствуйте Андрей Юрьевич!

А, что в данном случае говорит  "за сопли"?

Добрый вечер, Валентин Львович! Я б не сказал "говорит", я бы сказал "не исключает". Этот вариант также следует иметь в виду. Тем более, что признаки абсцесса не стопроцентны: уровней нет.

Андрей Юрьевич

ЛГ аватар
Не на сайте
Был на сайте: 8 лет 10 месяцев назад
Зарегистрирован: 06.01.2010 - 12:31
Публикации: 3523

Отграничено, ровный контур, гнойная (30 ед.Н) плотность

Катенёв Валентин Львович аватар
Не на сайте
Был на сайте: 7 лет 2 недели назад
Зарегистрирован: 22.03.2008 - 22:15
Публикации: 54876

Я всегда с особым интересом "смотрю", что выставляют коллеги, занимающиеся КТ и МРТ, хотя хорошо понимаю, что "профессионально", мне это не понадобится, видать до конца дней своих - "пенсии" буду крутить "прялку классики". Конечно, "высокие технологии" открыли много нового, и благодаря КТ и МРТ пересмотрены многие "аналлы" в онкологии и фтизиатрии (просто эти разделы мне ближе с практической точки зрения). Возможно, я ошибаюсь, но локальность наличия "соплей", как-то, на мой взгляд не вяжется. Конечно, многие представители "классики" хотели-бы, чтобы такие исследования выставлялись, пусть с краткими, но пояснениями, картинки - то имеют свою специфику.

Впрочем, случаи, выставляемые уважаемой Людмилой Григорьевной, всегда отличались большим количеством комментов при обсуждении, и спасибо ей за это.

Спасибо Вам Андрей Юрьевич за поселение сомнений...

Катенёв Валентин Львович аватар
Не на сайте
Был на сайте: 7 лет 2 недели назад
Зарегистрирован: 22.03.2008 - 22:15
Публикации: 54876

goncharovakuraeva wrote:

А на КТ несколько раз видела - и вдоль, и поперек перегородка, как правило, случайные находки.

У меня вопрос к Вам уважаемая Людмила Григорьевна.

А, Вы не замечали, что, именно, в "вариантных" полостях, чаще возникал патологический процесс?

ЛГ аватар
Не на сайте
Был на сайте: 8 лет 10 месяцев назад
Зарегистрирован: 06.01.2010 - 12:31
Публикации: 3523

четких данных нет

Андрей Юрьевич аватар
Не на сайте
Был на сайте: 1 неделя 18 часов назад
Зарегистрирован: 16.11.2008 - 22:16
Публикации: 18098

Катенёв Валентин Львович wrote:

Я всегда с особым интересом "смотрю", что выставляют коллеги, занимающиеся КТ и МРТ, хотя хорошо понимаю, что "профессионально", мне это не понадобится, видать до конца дней своих - "пенсии" буду крутить "прялку классики". Конечно, "высокие технологии" открыли много нового, и благодаря КТ и МРТ пересмотрены многие "аналлы" в онкологии и фтизиатрии (просто эти разделы мне ближе с практической точки зрения). Возможно, я ошибаюсь, но локальность наличия "соплей", как-то, на мой взгляд не вяжется. Конечно, многие представители "классики" хотели-бы, чтобы такие исследования выставлялись, пусть с краткими, но пояснениями, картинки - то имеют свою специфику.

Впрочем, случаи, выставляемые уважаемой Людмилой Григорьевной, всегда отличались большим количеством комментов при обсуждении, и спасибо ей за это.

Спасибо Вам Андрей Юрьевич за поселение сомнений...

Валентин Львович, это не посевы сомнений, это уточнения. Мы все тут грешим краткостью. А все срезы выставить невозможно. Поэтому я уточнил у автора: уверена ли? Автор ответила, что уверена, и объяснила почему.

А, по поводу "пенсии" и "прялки классики", я ведь тоже на пенсии и два т.н. не предполагал заниматься КТ, но аппарат был "выделен по разнарядке", а дальше пошло-поехало.

Андрей Юрьевич

Катенёв Валентин Львович аватар
Не на сайте
Был на сайте: 7 лет 2 недели назад
Зарегистрирован: 22.03.2008 - 22:15
Публикации: 54876

Андрей Юрьевич!

Я как-то писал Вам, когда узнал, что Вы занимаетесь КТ, что рад за Вас. Мы работаем в разных регионах, на Вас распространяется "малиновый звон" столицы. У нас, на мой взгляд. уже всю разнорядку, широко "похавали" на областной центр, так, что в нашей ЦРБ-ушке этого никогда не будет. Дай Бог, чтобы ЦРБ - ушка уцелела.

Катенёв Валентин Львович аватар
Не на сайте
Был на сайте: 7 лет 2 недели назад
Зарегистрирован: 22.03.2008 - 22:15
Публикации: 54876

Да, надо признать, что уважаемая Людмила Григорьевна всегда старается объяснить, что не понятно коллегам. Но, я порассуждал с точки зрения «банальной эрудиции». Эта перегородка, в гайморовой полости, о чем свидетельствуют сканы, не полностью разделяет гайморову пазуху на две «изолированные полости», и сообщение между «разделениями» весьма не хилое есть, и если, предположить, что «то» сопли, то сопли, как всякая жидкая или полужидкая субстанция обязательно с учетом силы тяжести протекли вниз, чего не произошло, а, следовательно, процесс является, чем – то ограниченным, и имеющим определенную оболочку.

[[wysiwyg_imageupload:566:]][[wysiwyg_imageupload:567:]][[wysiwyg_imageupload:568:]]

ЛГ аватар
Не на сайте
Был на сайте: 8 лет 10 месяцев назад
Зарегистрирован: 06.01.2010 - 12:31
Публикации: 3523

данное исследование выполнялось лежа на спине (можно по-разному, но так удобнее, да и с оценкой затруднений нет). Поэтому боковые реконструкции выставляются как в рентгенологии, хотя правильнее было бы смотреть так:

Приложения: 
nagnoenie_kisty0003a.jpg
Катенёв Валентин Львович аватар
Не на сайте
Был на сайте: 7 лет 2 недели назад
Зарегистрирован: 22.03.2008 - 22:15
Публикации: 54876

Я понимаю, что исследование проведено в положении лежа на спине. У нас в соседнем районе стоит СКТ, я частенько езжу к коллегам с познавательной целью, но если "г" затекло вниз положении стоя или сидя, то в положении лежа "оно" там и останется.

ЛГ аватар
Не на сайте
Был на сайте: 8 лет 10 месяцев назад
Зарегистрирован: 06.01.2010 - 12:31
Публикации: 3523

плотность. Есть серая шкала, от черного (воздух) до белого (кость). Остальное - оттенки серого. Я подобрала режим для демонстрации, чтоб наиболее выигрышно показать и пазуху, и ее содержимое. В данном случае больше вероятность за нагноение кисты: пузырьки газа, гнойная плотность патологического содержимого. Более жидкая субстанция растеклась бы, а полип имеет большую плотность (40-60 единиц). Было бы интересно проследить динамику, но пациентка категорически отказалась от пункции, так что вероятнее всего, что история на этом и закончится. А ППН можно и на животе делать с запрокидыванием головы назад - только для пациента не очень удобно, а при шейном остеохондрозе иногда и невозможно.

Катенёв Валентин Львович аватар
Не на сайте
Был на сайте: 7 лет 2 недели назад
Зарегистрирован: 22.03.2008 - 22:15
Публикации: 54876

Красивый случай, хочется видеть их чаще, но, увы, не всегда можно отважиться комментировать.

Петрович аватар
Не на сайте
Был на сайте: 7 лет 2 месяцев назад
Зарегистрирован: 22.03.2009 - 01:13
Публикации: 3908

 

Если «пузырики» – газ, то почему НЕ всплывают?! Может и правда, здесь – "сопли"?

Неоднозначно всё

ЛГ аватар
Не на сайте
Был на сайте: 8 лет 10 месяцев назад
Зарегистрирован: 06.01.2010 - 12:31
Публикации: 3523

КТ-шники, за исключением Андрея Юрьевича,  не активны, а контроль скорее всего не грозит. 

лунёва татьяна аватар
Не на сайте
Был на сайте: 9 лет 5 дней назад
Зарегистрирован: 02.05.2009 - 22:39
Публикации: 12

Без сомнений это острый процесс (гайморит), слизистая  клеток решетчатой кости тоже  неравномерно утолщена.

Мышь.

Катенёв Валентин Львович аватар
Не на сайте
Был на сайте: 7 лет 2 недели назад
Зарегистрирован: 22.03.2008 - 22:15
Публикации: 54876

лунёва татьяна wrote:

Без сомнений это острый процесс (гайморит), слизистая  клеток решетчатой кости тоже  неравномерно утолщена.

А подробнее, почему гайморит можно?