Пол пациента:
Тип патологии:
Область исследования:
Методы исследования:
- https://radiomed.ru/sites/default/files/styles/case_slider_image/public/user/1051/002_0.jpg?itok=hvuZeFuI
- https://radiomed.ru/sites/default/files/styles/case_slider_image/public/user/1051/003_0.jpg?itok=QcN9P76N
- https://radiomed.ru/sites/default/files/styles/case_slider_image/public/user/1051/004_0.jpg?itok=QGvrc6Ms
- https://radiomed.ru/sites/default/files/styles/case_slider_image/public/user/1051/005_0.jpg?itok=lgTbVBR6
- https://radiomed.ru/sites/default/files/styles/case_slider_image/public/user/1051/006_0.jpg?itok=GYRBXQvE
- https://radiomed.ru/sites/default/files/styles/case_slider_image/public/user/1051/007_0.jpg?itok=6TDBDqLu
- https://radiomed.ru/sites/default/files/styles/case_slider_image/public/user/1051/008_0.jpg?itok=TvSJoLZ6
- https://radiomed.ru/sites/default/files/styles/case_slider_image/public/user/1051/009_0.jpg?itok=InzxxGFc
- https://radiomed.ru/sites/default/files/styles/case_slider_image/public/user/1051/010_0.jpg?itok=a8HQ63M_
- https://radiomed.ru/sites/default/files/styles/case_slider_image/public/user/1051/011_0.jpg?itok=Q0kf_q_j
ID:23206
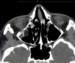
Перелом нижней стенки правой орбиты с проллабированием интра-орбитального жира в максилярный синус; на английском звучит как: "Tear drop fracture". При таких травмах может случится опущение глазного яблока, тогда необходимо оперативное вмешательство.
Nela: разрешите задать вопрос по техники сканирования; Вы сканируете орбиты (речь идёт о травме, где главное оценить костные структуры) на очень "мягком-soft" фильтре,и мне кажется что толщина среза немного "толстая". При таком протоколе, теряется резкость и чёткость изображений. Мы используем более "грубые-sharp" фильтры. Плюс, по сканам видно что у вас у вас СКТ или МДКТ, Вы всегда можете реконструировать срезы через Raw Data на любом фильтре. Например; представленые ниже сканы по 1.5 мм, реконструированые с рутинного исследования головного мозга (толщина изначального среза была 3 мм).
Let me see...
radiographia.ru
Д-р Марио, Вы абсолютно правы. На самом деле была High Resolution, но я сдалала срезы потолще и хотела показать мягкие ткани. Мы всегда орбиты делаем на High Resolution по 1 мм. Я даже завела протокол для головного мозга+орбиты, чтобы не делать реконструкции вручную.
Такой перелом еще называется orbital blow-out fracture, не помню перевод, кажется взрывной перелом.
Респект, blow-out orbit Fx, этот термин также применяется при такой травме! Спасибо за публикацию!
Let me see...
radiographia.ru